| UNIPROT | P28676 |
| Иммуноген | RPC496Hu01-Recombinant Grancalcin (GCA) |
Polyclonal Antibody to Grancalcin (GCA) (PAC496Hu01)
Реактивность подтвержденная:
человек
Источник (хозяин):
кролик
Валидировано для:
IHC
WB
Характеристики
Техническое описание
| Русское название | PAC496Hu01 Поликлональное антитело к GCA (человек) <Cloud-Clone,Китай> |
| Каталожный номер | PAC496Hu01 |
| Название антигена | Grancalcin (GCA) |
| UNIPROT | P28676 |
| Иммуноген | RPC496Hu01-Recombinant Grancalcin (GCA) |
| Английские синонимы | GCL, EF Hand Calcium Binding Protein |
Реактивность подтвержденная Нужна другая реактивность? |
человек |
| Реактивность предсказываемая | мышь, крыса |
| Источник (хозяин) | кролик |
| Клональность | поликлональное |
| Рекомбинантное | нет |
| Готовое к использованию | нет |
| Концентрация | 0.5 мг/мл |
| Конъюгат | По запросу: HRP, biotin, PerCP, PE, Cy3, FITC, Cy7, Cy5.5, PE-Cy5, PE-Cy7, PerCp-Cy5.5, APC, Cy5, PE-Cy3, PE-Cy5.5, APC-Cy7, Biotin-APC, FITC-Biotin, TRITC, APC-Cy5, AF488, AF594, AF405, AF555, AF700, AF647, AF750 |
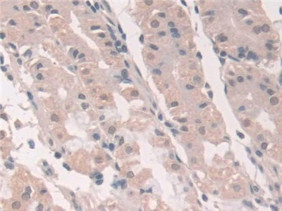
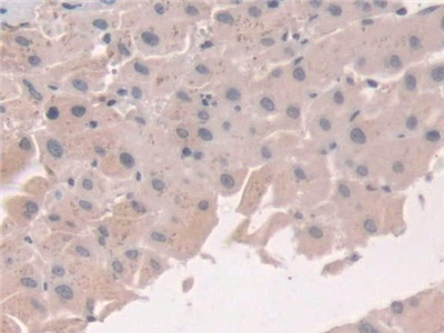
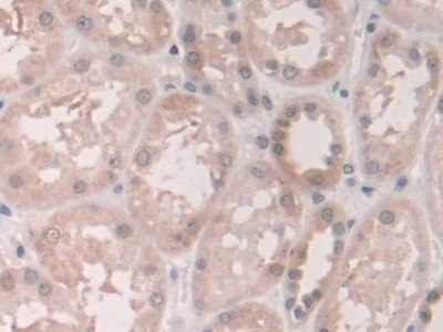
| Валидировано для | IHC WB Иммуногистохимия; Вестерн-блоттинг |
| Рекомендуемые разведения | WB: 0.01-2 мкг/мл; IHC: 5-20 мкг/мл; Оптимальное разведение определяется конечным потребителем |
| Метод очистки | Антигенспецифическая аффинная хроматография с последующей аффинной хроматографией с белком А |
| Состав буфера | 0.01M PBS, pH7.4, 0.05% Proclin-300, 50% глицерин |
| Условия доставки | термобокс с аккумуляторами холода |
| Условия хранения | Сразу после получения аликвотировать и хранить при -20ºС до 24 месяцев. Для частого использования хранить при +4ºС не более 2 недель. Избегать повторения циклов замерзания/оттаивания |
| Срок хранения | 24 месяца |
| Производитель | Cloud-Clone Corp. |
| Ссылка на страницу товара на сайте производителя | http://www.cloud-clone.com/products/PAC496Hu01.html |
|
Артикул
|
Наименование |
Производитель
|
|---|
|
Артикул
|
Наименование |
Производитель
|
|---|
Акции и предложения
Популярные продукты:
Anti-Cathepsin K (CTSK) Polyclonal Antibody (FAA267Hu01)
Источник (хозяин): кролик
Реактивность подтвержденная: человек
Валидировано для: FCM
Реактивность подтвержденная: человек
Валидировано для: FCM
Human F box/LRR repeat protein 3(FBXL3) ELISA kit (E01F0324)
Организм: человек
Диапазон определения: 50-1000 пг/мл
Чувствительность: 1 пг/мл
Диапазон определения: 50-1000 пг/мл
Чувствительность: 1 пг/мл
Mouse Jun Dimerization Protein 2 ELISA kit (E03J0010)
Организм: мышь
Sheep β crystallin B1(CRYBB1) ELISA kit (E14B0891)
Организм: овца
Rat Caprin 2(CAPRIN2) ELISA kit (E02C1369)
Организм: крыса
Human Selenoprotein W(SEPW1) ELISA kit (E01S0359)
Организм: человек

