| UNIPROT | P28798 |
| Иммуноген | RPC513Mu01-Recombinant Granulin (GRN) |
Polyclonal Antibody to Granulin (GRN) (PAC513Mu01)
Реактивность подтвержденная:
мышь
Источник (хозяин):
кролик
Валидировано для:
IHC
WB
Характеристики
Техническое описание
| Русское название | PAC513Mu01 Поликлональное антитело к GRN (мышь) <Cloud-Clone,Китай> |
| Каталожный номер | PAC513Mu01 |
| Название антигена | Granulin (GRN) |
| UNIPROT | P28798 |
| Иммуноген | RPC513Mu01-Recombinant Granulin (GRN) |
| Английские синонимы | GEP, GP88, PCDGF, PEPI, PGRN, Proepithelin, Acrogranin, Glycoprotein of 88 Kda, Paragranulin |
Реактивность подтвержденная Нужна другая реактивность? |
мышь |
| Реактивность предсказываемая | человек, крыса |
| Источник (хозяин) | кролик |
| Клональность | поликлональное |
| Рекомбинантное | нет |
| Готовое к использованию | нет |
| Концентрация | 1 мг/мл |
| Конъюгат | По запросу: HRP, biotin, PerCP, PE, Cy3, FITC, Cy7, Cy5.5, PE-Cy5, PE-Cy7, PerCp-Cy5.5, APC, Cy5, PE-Cy3, PE-Cy5.5, APC-Cy7, Biotin-APC, FITC-Biotin, TRITC, APC-Cy5, AF488, AF594, AF405, AF555, AF700, AF647, AF750 |
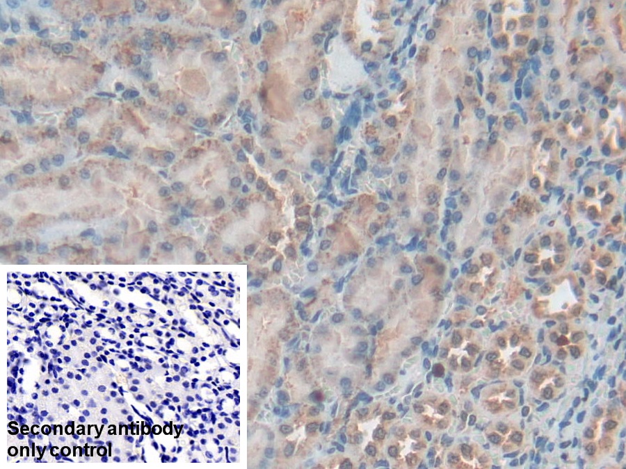
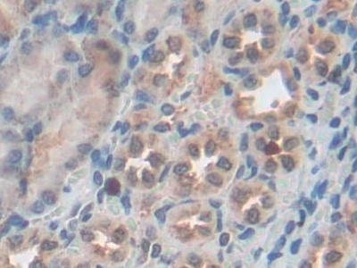
| Валидировано для | IHC WB Иммуногистохимия; Вестерн-блоттинг |
| Рекомендуемые разведения | WB: 0.5-2 мкг/мл; 1:500-2000; IHC: 5-20 мкг/мл; 1:50-200; ICC: 5-20 мкг/мл; 1:50-200; Оптимальное разведение определяется конечным потребителем |
| Метод очистки | Антигенспецифическая аффинная хроматография с последующей аффинной хроматографией с белком А |
| Состав буфера | PBS, pH7.4, 0.02% NaN3, 50% глицерин |
| Условия доставки | термобокс с аккумуляторами холода |
| Условия хранения | Сразу после получения аликвотировать и хранить при -20ºС до 24 месяцев. Для частого использования хранить при +4ºС не более 2 недель. Избегать повторения циклов замерзания/оттаивания |
| Срок хранения | 24 месяца |
| Производитель | Cloud-Clone Corp. |
| Ссылка на страницу товара на сайте производителя | http://www.cloud-clone.com/products/PAC513Mu01.html |
|
Артикул
|
Наименование |
Производитель
|
|---|
|
Артикул
|
Наименование |
Производитель
|
|---|
|
Артикул
|
Наименование |
Производитель
|
|---|
|
Артикул
|
Наименование |
Производитель
|
|---|
Акции и предложения
Популярные продукты:
Anti-Chemerin (CHEM) Monoclonal Antibody (FAA945Hu02)
Источник (хозяин): мышь
Реактивность подтвержденная: человек
Валидировано для: FCM
Реактивность подтвержденная: человек
Валидировано для: FCM
ELISA Kit DIY Materials for Glycogen Phosphorylase, Liver (PYGL) (KSA849Hu01)
Организм: человек
Диапазон определения: 0.312-20 нг/мл
Чувствительность: 0.114 нг/мл
Диапазон определения: 0.312-20 нг/мл
Чувствительность: 0.114 нг/мл
ELISA Kit for Netrin 4 (Ntn4) (SEB835Mu)
Организм: мышь
Диапазон определения: 0.156-10 нг/мл
Чувствительность: 0.054 нг/мл
Диапазон определения: 0.156-10 нг/мл
Чувствительность: 0.054 нг/мл
Goat 14 3 3 protein zeta/delta(YWHAZ) ELISA kit (E06P0216)
Организм: коза
Monkey 26S protease regulatory subunit 6B ELISA kit (E09P0913)
Организм: обезьяна
Chicken Spastin(SPAST) ELISA kit (E12S0395)
Организм: курица

