| UNIPROT | O35205 |
| Иммуноген | RPB209Mu01-Recombinant Granzyme K (GZMK) |
Polyclonal Antibody to Granzyme K (GZMK) (PAB209Mu01)
Реактивность подтвержденная:
мышь
Источник (хозяин):
кролик
Валидировано для:
IHC
WB
Характеристики
Техническое описание
| Русское название | PAB209Mu01 Поликлональное антитело к GZMK (мышь) <Cloud-Clone,Китай> |
| Каталожный номер | PAB209Mu01 |
| Название антигена | Granzyme K (GZMK) |
| UNIPROT | O35205 |
| Иммуноген | RPB209Mu01-Recombinant Granzyme K (GZMK) |
| Английские синонимы | GZM-K, TRYP2, PRSS, Serine Protease,Granzyme 3, Tryptase II, Fragmentin-3, Granzyme-3, NK-tryptase-2 |
Реактивность подтвержденная Нужна другая реактивность? |
мышь |
| Источник (хозяин) | кролик |
| Клональность | поликлональное |
| Рекомбинантное | нет |
| Готовое к использованию | нет |
| Концентрация | 0.5 мг/мл |
| Конъюгат | По запросу: HRP, biotin, PerCP, PE, Cy3, FITC, Cy7, Cy5.5, PE-Cy5, PE-Cy7, PerCp-Cy5.5, APC, Cy5, PE-Cy3, PE-Cy5.5, APC-Cy7, Biotin-APC, FITC-Biotin, TRITC, APC-Cy5, AF488, AF594, AF405, AF555, AF700, AF647, AF750 |
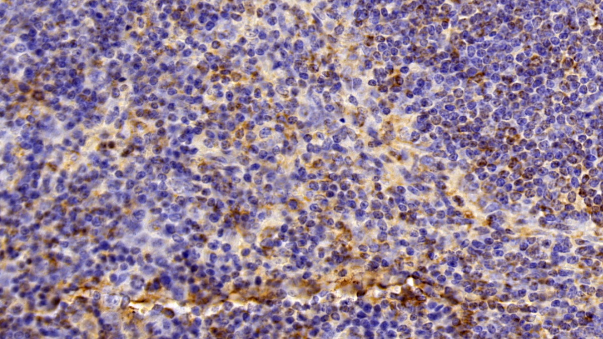
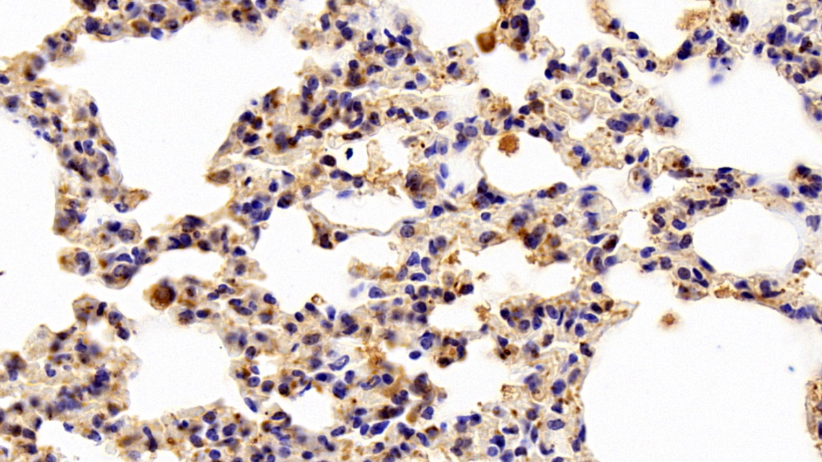
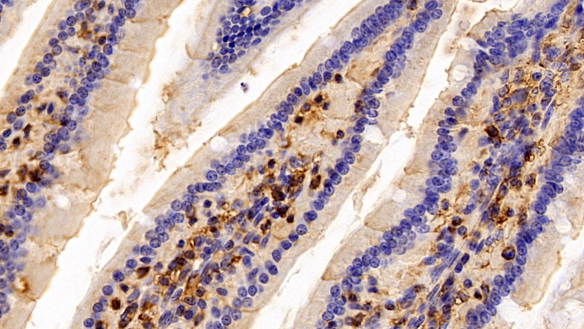
| Валидировано для | IHC WB Иммуногистохимия; Вестерн-блоттинг |
| Рекомендуемые разведения | WB: 0.01-2 мкг/мл; IHC: 5-20 мкг/мл; ICC: 5-20 мкг/мл; Оптимальное разведение определяется конечным потребителем |
| Метод очистки | Антигенспецифическая аффинная хроматография с последующей аффинной хроматографией с белком А |
| Состав буфера | 0.01M PBS, pH7.4, 0.05% Proclin-300, 50% глицерин |
| Условия доставки | термобокс с аккумуляторами холода |
| Условия хранения | Сразу после получения аликвотировать и хранить при -20ºС до 24 месяцев. Для частого использования хранить при +4ºС не более 2 недель. Избегать повторения циклов замерзания/оттаивания |
| Срок хранения | 24 месяца |
| Производитель | Cloud-Clone Corp. |
| Ссылка на страницу товара на сайте производителя | http://www.cloud-clone.com/products/PAB209Mu01.html |
|
Артикул
|
Наименование |
Производитель
|
|---|
|
Артикул
|
Наименование |
Производитель
|
|---|
|
Артикул
|
Наименование |
Производитель
|
|---|
|
Артикул
|
Наименование |
Производитель
|
|---|
Акции и предложения
Популярные продукты:
Anti-Streptococcus pneumoniae Pneumolysin/PLY Antibody (Fs0360) (RXX23601)
Источник (хозяин): человек
Реактивность подтвержденная: бактерии
Валидировано для: ELISA, NEUT
Реактивность подтвержденная: бактерии
Валидировано для: ELISA, NEUT
Anti-Human CD4 Antibody (HIT4a), PE (FHB95943)
Источник (хозяин): мышь
Реактивность подтвержденная: человек
Валидировано для: FCM
Реактивность подтвержденная: человек
Валидировано для: FCM
Human 15 hydroxyprostaglandin dehydrogenase [NAD+](HPGD) ELISA kit (E01H0149)
Организм: человек
Диапазон определения: 1-25 нг/мл
Чувствительность: 0.1 нг/мл
Диапазон определения: 1-25 нг/мл
Чувствительность: 0.1 нг/мл
Rat Lymphocyte Antigen 96 ELISA kit (E02L0307)
Организм: крыса
Human CHRNA7 FAM7A fusion protein(CHRFAM7A) ELISA kit (E01C1702)
Организм: человек
Диапазон определения: 2.5-50 нг/мл
Чувствительность: 0.1 нг/мл
Диапазон определения: 2.5-50 нг/мл
Чувствительность: 0.1 нг/мл

