| UNIPROT | O35969 |
| Иммуноген | RPC495Mu01-Recombinant Guanidinoacetate-N-Methyltransferase (GAMT) |
Polyclonal Antibody to Guanidinoacetate-N-Methyltransferase (GAMT) (PAC495Mu01)
Реактивность подтвержденная:
мышь
Источник (хозяин):
кролик
Валидировано для:
IHC
WB
Характеристики
Техническое описание
| Русское название | PAC495Mu01 Поликлональное антитело к GAMT (мышь) <Cloud-Clone,Китай> |
| Каталожный номер | PAC495Mu01 |
| Название антигена | Guanidinoacetate-N-Methyltransferase (GAMT) |
| UNIPROT | O35969 |
| Иммуноген | RPC495Mu01-Recombinant Guanidinoacetate-N-Methyltransferase (GAMT) |
| Английские синонимы | PIG2, TP53I2, Guanidinoacetate Methyltransferase, Guanidinoacetate Transmethylase, Methionine-Guanidinoacetic Transmethylase, Guanidoacetate Methyltransferase |
Реактивность подтвержденная Нужна другая реактивность? |
мышь |
| Реактивность предсказываемая | человек, крыса |
| Источник (хозяин) | кролик |
| Клональность | поликлональное |
| Рекомбинантное | нет |
| Готовое к использованию | нет |
| Концентрация | 500 мкг/мл |
| Конъюгат | По запросу: HRP, biotin, PerCP, PE, Cy3, FITC, Cy7, Cy5.5, PE-Cy5, PE-Cy7, PerCp-Cy5.5, APC, Cy5, PE-Cy3, PE-Cy5.5, APC-Cy7, Biotin-APC, FITC-Biotin, TRITC, APC-Cy5, AF488, AF594, AF405, AF555, AF700, AF647, AF750 |
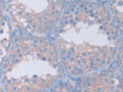
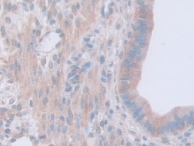
| Валидировано для | IHC WB Иммуногистохимия; Вестерн-блоттинг |
| Рекомендуемые разведения | WB: 0.01-2 мкг/мл; IHC: 5-20 мкг/мл; ICC: 5-20 мкг/мл; Оптимальное разведение определяется конечным потребителем |
| Метод очистки | Антигенспецифическая аффинная хроматография с последующей аффинной хроматографией с белком А |
| Состав буфера | PBS, pH7.4, 0.02% NaN3, 50% глицерин |
| Условия доставки | термобокс с аккумуляторами холода |
| Условия хранения | Сразу после получения аликвотировать и хранить при -20ºС до 24 месяцев. Для частого использования хранить при +4ºС не более 2 недель. Избегать повторения циклов замерзания/оттаивания |
| Срок хранения | 24 месяца |
| Производитель | Cloud-Clone Corp. |
| Ссылка на страницу товара на сайте производителя | http://www.cloud-clone.com/products/PAC495Mu01.html |
|
Артикул
|
Наименование |
Производитель
|
|---|
|
Артикул
|
Наименование |
Производитель
|
|---|
|
Артикул
|
Наименование |
Производитель
|
|---|
|
Артикул
|
Наименование |
Производитель
|
|---|
Акции и предложения
Популярные продукты:
Canine Sex Determining Region Y Box Protein 6 ELISA kit (E08S0151)
Организм: собака
Mouse Purinergic Receptor P2Y, G Protein Coupled 1 ELISA kit (E03P1109)
Организм: мышь
Диапазон определения: 5000 пг/мл
Диапазон определения: 5000 пг/мл
Human Tetraspanin-7 ELISA kit (E01T0951)
Организм: человек
Porcine Caprin 2(CAPRIN2) ELISA kit (E07C1369)
Организм: свинья

