| UNIPROT | Q61646 |
| Иммуноген | RPA817Mu01-Recombinant Haptoglobin (Hpt) |
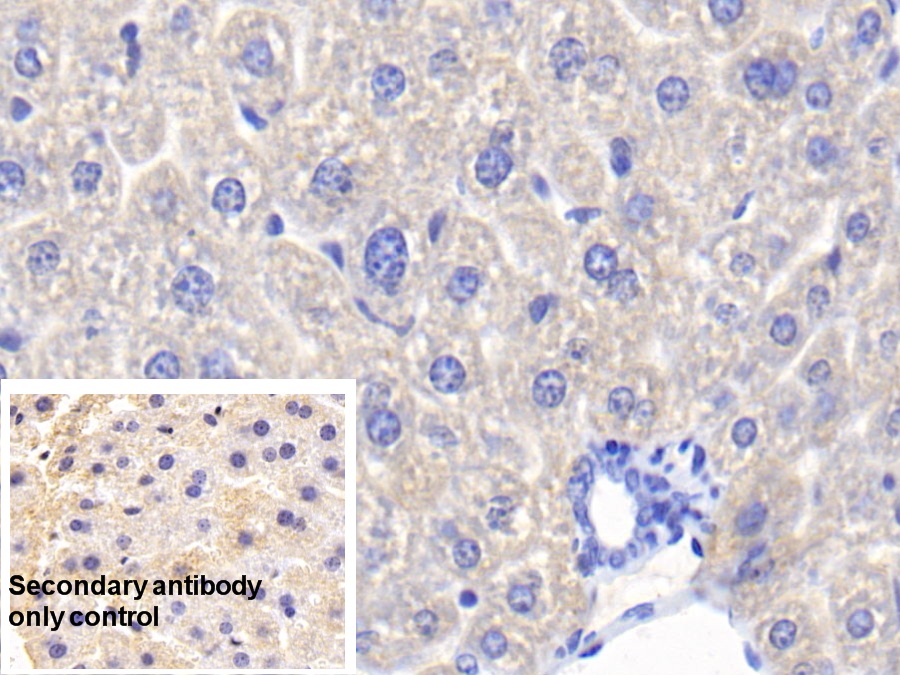
Polyclonal Antibody to Haptoglobin (Hpt) (PAA817Mu01)
Реактивность подтвержденная:
мышь
Источник (хозяин):
кролик
Валидировано для:
IHC
WB
Характеристики
Техническое описание
| Русское название | PAA817Mu01 Поликлональное антитело к Hpt (мышь) <Cloud-Clone,Китай> |
| Каталожный номер | PAA817Mu01 |
| Название антигена | Haptoglobin (Hpt) |
| UNIPROT | Q61646 |
| Иммуноген | RPA817Mu01-Recombinant Haptoglobin (Hpt) |
| Английские синонимы | HP, Hp2-Alpha, Alpha-2-Macroglobulin |
Реактивность подтвержденная Нужна другая реактивность? |
мышь |
| Реактивность предсказываемая | мышь, крыса, свинья |
| Источник (хозяин) | кролик |
| Клональность | поликлональное |
| Рекомбинантное | нет |
| Готовое к использованию | нет |
| Концентрация | 0.27 мг/мл |
| Конъюгат | По запросу: HRP, biotin, PerCP, PE, Cy3, FITC, Cy7, Cy5.5, PE-Cy5, PE-Cy7, PerCp-Cy5.5, APC, Cy5, PE-Cy3, PE-Cy5.5, APC-Cy7, Biotin-APC, FITC-Biotin, TRITC, APC-Cy5, AF488, AF594, AF405, AF555, AF700, AF647, AF750 |
| Валидировано для | IHC WB Иммуногистохимия; Вестерн-блоттинг |
| Рекомендуемые разведения | WB: 0.01-2 мкг/мл; IHC: 5-20 мкг/мл; ICC: 5-20 мкг/мл; Оптимальное разведение определяется конечным потребителем |
| Метод очистки | Антигенспецифическая аффинная хроматография с последующей аффинной хроматографией с белком А |
| Состав буфера | 0.01M PBS, pH7.4, 0.05% Proclin-300, 50% глицерин |
| Условия доставки | термобокс с аккумуляторами холода |
| Условия хранения | Сразу после получения аликвотировать и хранить при -20ºС до 24 месяцев. Для частого использования хранить при +4ºС не более 2 недель. Избегать повторения циклов замерзания/оттаивания |
| Срок хранения | 24 месяца |
| Производитель | Cloud-Clone Corp. |
| Ссылка на страницу товара на сайте производителя | http://www.cloud-clone.com/products/PAA817Mu01.html |
|
Артикул
|
Наименование |
Производитель
|
|---|
|
Артикул
|
Наименование |
Производитель
|
|---|
|
Артикул
|
Наименование |
Производитель
|
|---|
|
Артикул
|
Наименование |
Производитель
|
|---|
|
Артикул
|
Наименование |
Производитель
|
|---|
|
Артикул
|
Наименование |
Производитель
|
|---|
|
Артикул
|
Наименование |
Производитель
|
|---|
|
Артикул
|
Наименование |
Производитель
|
|---|
|
Артикул
|
Наименование |
Производитель
|
|---|
|
Артикул
|
Наименование |
Производитель
|
|---|
|
Артикул
|
Наименование |
Производитель
|
|---|
|
Артикул
|
Наименование |
Производитель
|
|---|
Акции и предложения
Популярные продукты:
Recombinant Mouse Chitinase 3-like 1 Protein(Fc Tag) (PDMM100152)
Источник (хозяин): клетки млекопитающих
Организм: мышь
Фрагмент: Tyr30-Ala389
Теги: C-Fc
Биоактивность: нет
Организм: мышь
Фрагмент: Tyr30-Ala389
Теги: C-Fc
Биоактивность: нет
ELISA Kit DIY Materials for Elastin (ELN) (KSB337Hu01)
Организм: человек
Диапазон определения: 4.7-300 нг/мл
Чувствительность: 0.18 нг/мл
Диапазон определения: 4.7-300 нг/мл
Чувствительность: 0.18 нг/мл
Polyclonal Antibody to Haptoglobin (Hpt) (PAA817Mu01)
Источник (хозяин): кролик
Реактивность подтвержденная: мышь
Валидировано для: IHC, WB
Реактивность подтвержденная: мышь
Валидировано для: IHC, WB
Eukaryotic Elastin (ELN) (EPB337Hu61)
Источник (хозяин): 293F
Организм: человек
Фрагмент: Gly392-Ala645
Теги: N-концевой His-Tag
Биоактивность: нет
Организм: человек
Фрагмент: Gly392-Ala645
Теги: N-концевой His-Tag
Биоактивность: нет
Rabbit Anti-NeuN Antibody (SAA2241) (RHA00601)
Источник (хозяин): кролик
Реактивность подтвержденная: человек, мышь, крыса
Валидировано для: FCM, ICC, IF, IHC, WB
Реактивность подтвержденная: человек, мышь, крыса
Валидировано для: FCM, ICC, IF, IHC, WB
Mouse Anti-SARS-CoV-2 S/Spike glycoprotein IgA Antibody (SAA2227) (RVV00326)
Источник (хозяин): мышь
Реактивность подтвержденная: вирусы
Валидировано для: ELISA
Реактивность подтвержденная: вирусы
Валидировано для: ELISA

