| UNIPROT | P19007 |
| Иммуноген | RPA817Rb02-Recombinant Haptoglobin (Hpt) |
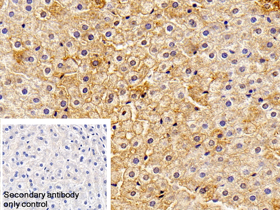
Polyclonal Antibody to Haptoglobin (Hpt) (PAA817Rb52)
Реактивность подтвержденная:
кролик
Источник (хозяин):
морская свинка
Валидировано для:
IHC
WB
Характеристики
Техническое описание
| Русское название | PAA817Rb52 Поликлональное антитело к Hpt (кролик) <Cloud-Clone,Китай> |
| Каталожный номер | PAA817Rb52 |
| Название антигена | Haptoglobin (Hpt) |
| UNIPROT | P19007 |
| Иммуноген | RPA817Rb02-Recombinant Haptoglobin (Hpt) |
| Английские синонимы | HP, Hp2-Alpha, Alpha-2-Macroglobulin |
Реактивность подтвержденная Нужна другая реактивность? |
кролик |
| Источник (хозяин) | морская свинка |
| Клональность | поликлональное |
| Рекомбинантное | нет |
| Готовое к использованию | нет |
| Концентрация | 0.5 мг/мл |
| Конъюгат | По запросу: HRP, biotin, PerCP, PE, Cy3, FITC, Cy7, Cy5.5, PE-Cy5, PE-Cy7, PerCp-Cy5.5, APC, Cy5, PE-Cy3, PE-Cy5.5, APC-Cy7, Biotin-APC, FITC-Biotin, TRITC, APC-Cy5, AF488, AF594, AF405, AF555, AF700, AF647, AF750 |
| Валидировано для | IHC WB Иммуногистохимия; Вестерн-блоттинг |
| Рекомендуемые разведения | WB: 0.5-2 мкг/мл; IHC: 5-20 мкг/мл; ICC: 5-20 мкг/мл; Оптимальное разведение определяется конечным потребителем |
| Метод очистки | Антигенспецифическая аффинная хроматография с последующей аффинной хроматографией с белком А |
| Состав буфера | 0.01M PBS, pH7.4, 0.05% Proclin-300, 50% глицерин |
| Условия доставки | термобокс с аккумуляторами холода |
| Условия хранения | Сразу после получения аликвотировать и хранить при -20ºС до 24 месяцев. Для частого использования хранить при +4ºС не более 2 недель. Избегать повторения циклов замерзания/оттаивания |
| Срок хранения | 24 месяца |
| Производитель | Cloud-Clone Corp. |
| Ссылка на страницу товара на сайте производителя | http://www.cloud-clone.com/products/PAA817Rb52.html |
|
Артикул
|
Наименование |
Производитель
|
|---|
|
Артикул
|
Наименование |
Производитель
|
|---|
|
Артикул
|
Наименование |
Производитель
|
|---|
|
Артикул
|
Наименование |
Производитель
|
|---|
|
Артикул
|
Наименование |
Производитель
|
|---|
|
Артикул
|
Наименование |
Производитель
|
|---|
|
Артикул
|
Наименование |
Производитель
|
|---|
|
Артикул
|
Наименование |
Производитель
|
|---|
|
Артикул
|
Наименование |
Производитель
|
|---|
|
Артикул
|
Наименование |
Производитель
|
|---|
|
Артикул
|
Наименование |
Производитель
|
|---|
|
Артикул
|
Наименование |
Производитель
|
|---|
Акции и предложения
Популярные продукты:
Recombinant SARS-CoV-2 (SARS-CoV-2) S protein RBD (C-mFc-6His tag) (PKSV030276)
Источник (хозяин): HEK293
Организм: вирусы
Фрагмент: Arg319-Phe541
Теги: C-mFc-His
Биоактивность: нет
Организм: вирусы
Фрагмент: Arg319-Phe541
Теги: C-mFc-His
Биоактивность: нет
ELISA Kit DIY Materials for Hexokinase 1 (HK1) (KSA775Hu01)
Организм: человек
Диапазон определения: 62.5-4000 пг/мл
Чувствительность: 21.5 пг/мл
Диапазон определения: 62.5-4000 пг/мл
Чувствительность: 21.5 пг/мл
Sheep Malic Acid ELISA Kit (E14M0534)
Организм: овца
Rabbit Malic Acid ELISA Kit (E04M0534)
Организм: кролик

