| UNIPROT | P14602 |
| Иммуноген | RPA693Mu01-Recombinant Heat Shock Protein 27 (Hsp27) |
Polyclonal Antibody to Heat Shock Protein 27 (Hsp27) (PAA693Mu01)
Реактивность подтвержденная:
мышь
Источник (хозяин):
кролик
Валидировано для:
IHC
WB
Характеристики
Публикации
Техническое описание
| Русское название | PAA693Mu01 Поликлональное антитело к Hsp27 (мышь) <Cloud-Clone,Китай> |
| Каталожный номер | PAA693Mu01 |
| Название антигена | Heat Shock 27kDa Protein 1 (HSPB1) |
| UNIPROT | P14602 |
| Иммуноген | RPA693Mu01-Recombinant Heat Shock Protein 27 (Hsp27) |
| Английские синонимы | HSP27, HSP-B1, CMT2F, HSP28, Hsp25, Heat Shock Protein 27, 28 kDa heat shock protein, Heat shock protein beta-1, Estrogen-regulated 24 kDa protein |
Реактивность подтвержденная Нужна другая реактивность? |
мышь |
| Источник (хозяин) | кролик |
| Клональность | поликлональное |
| Рекомбинантное | нет |
| Готовое к использованию | нет |
| Концентрация | 0.5 мг/мл |
| Конъюгат | По запросу: HRP, biotin, PerCP, PE, Cy3, FITC, Cy7, Cy5.5, PE-Cy5, PE-Cy7, PerCp-Cy5.5, APC, Cy5, PE-Cy3, PE-Cy5.5, APC-Cy7, Biotin-APC, FITC-Biotin, TRITC, APC-Cy5, AF488, AF594, AF405, AF555, AF700, AF647, AF750 |
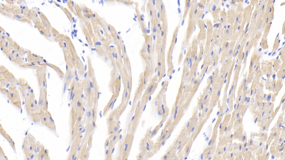
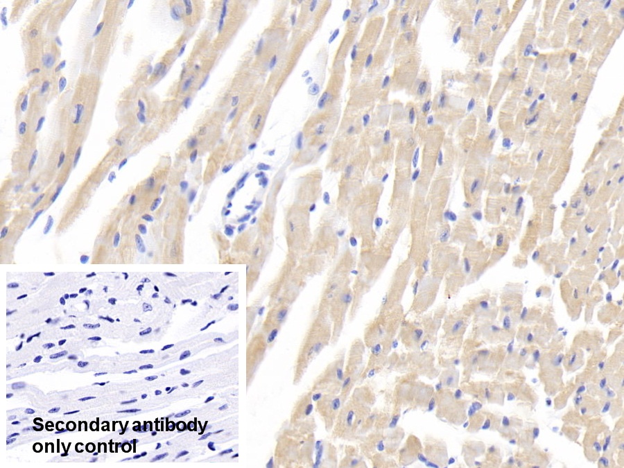
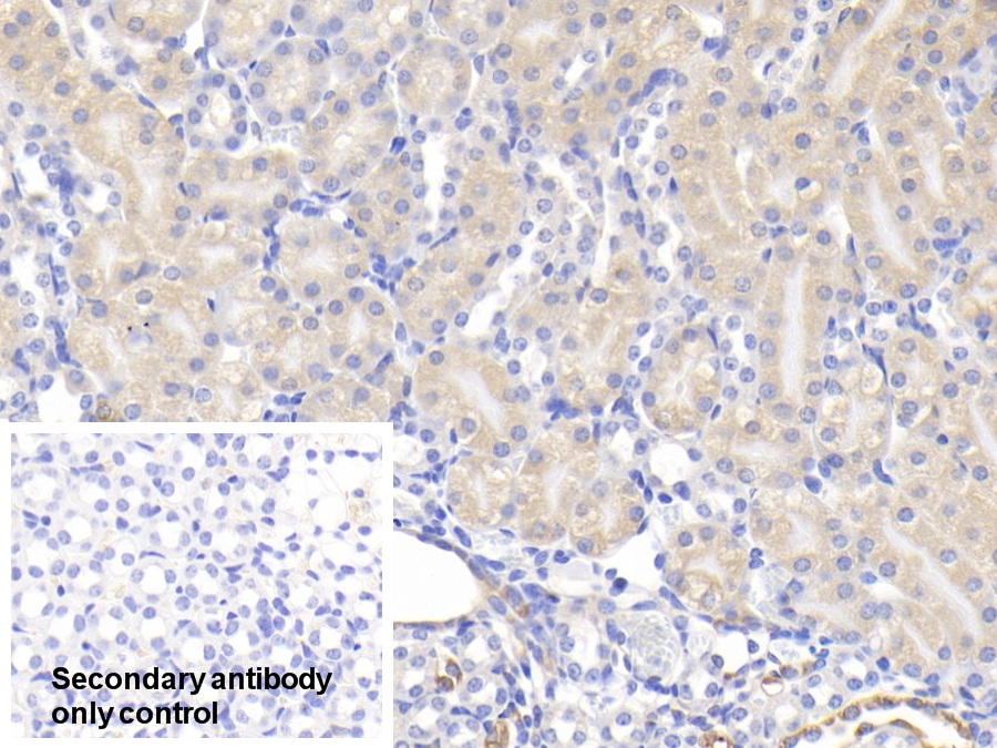
| Валидировано для | IHC WB Иммуногистохимия; Вестерн-блоттинг |
| Рекомендуемые разведения | WB: 0.01-2 мкг/мл; IHC: 5-20 мкг/мл; ICC: 5-20 мкг/мл; Оптимальное разведение определяется конечным потребителем |
| Метод очистки | Антигенспецифическая аффинная хроматография с последующей аффинной хроматографией с белком А |
| Состав буфера | PBS, pH7.4, 0.02% NaN3, 50% глицерин |
| Условия доставки | термобокс с аккумуляторами холода |
| Условия хранения | Сразу после получения аликвотировать и хранить при -20ºС до 24 месяцев. Для частого использования хранить при +4ºС не более 2 недель. Избегать повторения циклов замерзания/оттаивания |
| Срок хранения | 24 месяца |
| Производитель | Cloud-Clone Corp. |
| Ссылка на страницу товара на сайте производителя | http://www.cloud-clone.com/products/PAA693Mu01.html |
|
Артикул
|
Наименование |
Производитель
|
|---|
|
Артикул
|
Наименование |
Производитель
|
|---|
|
Артикул
|
Наименование |
Производитель
|
|---|
|
Артикул
|
Наименование |
Производитель
|
|---|
|
Артикул
|
Наименование |
Производитель
|
|---|
|
Артикул
|
Наименование |
Производитель
|
|---|
|
Артикул
|
Наименование |
Производитель
|
|---|
Акции и предложения
Популярные продукты:
Monoclonal Antibody to Cathepsin B (CTSB) (MAC964Hu28)
Источник (хозяин): мышь
Реактивность подтвержденная: человек
Валидировано для: WB
Реактивность подтвержденная: человек
Валидировано для: WB
Porcine Hexokinase 3 ELISA kit (E07H0252)
Организм: свинья
Anti-Human PDK1 Antibody (SAA1680) (RHH02301)
Источник (хозяин): мышь
Реактивность подтвержденная: человек
Валидировано для: ELISA
Реактивность подтвержденная: человек
Валидировано для: ELISA
Recombinant Human WDHD1 Protein, N-His (YHB29601)
Источник (хозяин): E.coli
Организм: человек
Фрагмент: Met1-Cys304
Теги: N-His
Биоактивность: нет
Организм: человек
Фрагмент: Met1-Cys304
Теги: N-His
Биоактивность: нет
Recombinant Human AKAP11 Protein, N-His (YHJ78602)
Источник (хозяин): E.coli
Организм: человек
Фрагмент: Ala13-Asp170
Теги: N-His
Биоактивность: нет
Организм: человек
Фрагмент: Ala13-Asp170
Теги: N-His
Биоактивность: нет
Recombinant Human AKAP11 Protein, N-His (YHJ78601)
Источник (хозяин): E.coli
Организм: человек
Фрагмент: Leu1650-Ala1901
Теги: N-His
Биоактивность: нет
Организм: человек
Фрагмент: Leu1650-Ala1901
Теги: N-His
Биоактивность: нет

