| UNIPROT | P63038 |
| Иммуноген | RPA822Mu01-Recombinant Heat Shock Protein 60 (Hsp60) |
Polyclonal Antibody to Heat Shock Protein 60 (Hsp60) (PAA822Mu01)
Реактивность подтвержденная:
мышь
Источник (хозяин):
кролик
Валидировано для:
IHC
WB
Характеристики
Техническое описание
| Русское название | PAA822Mu01 Поликлональное антитело к Hsp60 (мышь) <Cloud-Clone,Китай> |
| Каталожный номер | PAA822Mu01 |
| Название антигена | Heat Shock 60kD Protein 1, Chaperonin (HSPD1) |
| UNIPROT | P63038 |
| Иммуноген | RPA822Mu01-Recombinant Heat Shock Protein 60 (Hsp60) |
| Английские синонимы | HSP60, GROEL, CPN60, HuCHA60, Heat Shock Protein 60, Spastic Paraplegia 13,Autosomal Dominant, 60 kDa chaperonin, Mitochondrial matrix protein P1, P60 lymphocyte protein |
Реактивность подтвержденная Нужна другая реактивность? |
мышь |
| Реактивность предсказываемая | человек, крыса |
| Источник (хозяин) | кролик |
| Клональность | поликлональное |
| Рекомбинантное | нет |
| Готовое к использованию | нет |
| Концентрация | 0.38 мг/мл |
| Конъюгат | По запросу: HRP, biotin, PerCP, PE, Cy3, FITC, Cy7, Cy5.5, PE-Cy5, PE-Cy7, PerCp-Cy5.5, APC, Cy5, PE-Cy3, PE-Cy5.5, APC-Cy7, Biotin-APC, FITC-Biotin, TRITC, APC-Cy5, AF488, AF594, AF405, AF555, AF700, AF647, AF750 |
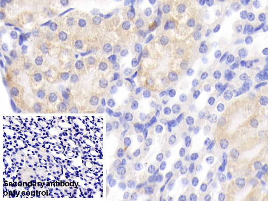
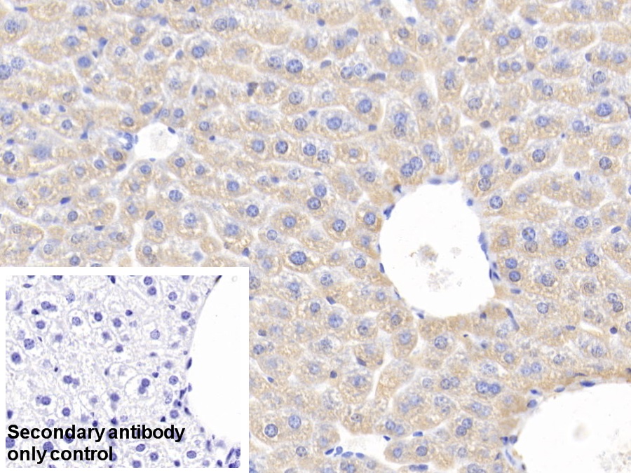
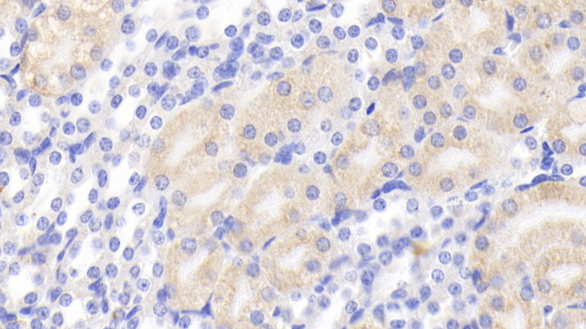
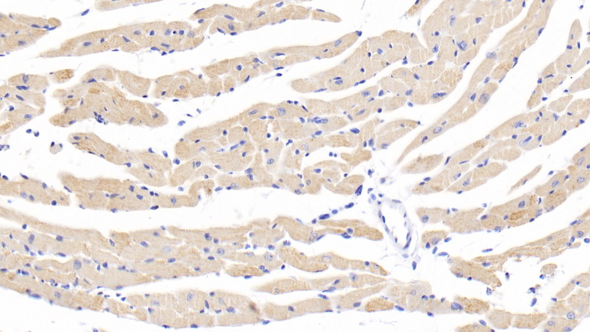
| Валидировано для | IHC WB Иммуногистохимия; Вестерн-блоттинг |
| Рекомендуемые разведения | WB: 0.5-2 мкг/мл; IHC: 5-20 мкг/мл; ICC: 5-20 мкг/мл; Оптимальное разведение определяется конечным потребителем |
| Метод очистки | Антигенспецифическая аффинная хроматография с последующей аффинной хроматографией с белком А |
| Состав буфера | 0.01M PBS, pH7.4, 0.05% Proclin-300, 50% глицерин |
| Условия доставки | термобокс с аккумуляторами холода |
| Условия хранения | Сразу после получения аликвотировать и хранить при -20ºС до 24 месяцев. Для частого использования хранить при +4ºС не более 2 недель. Избегать повторения циклов замерзания/оттаивания |
| Срок хранения | 24 месяца |
| Производитель | Cloud-Clone Corp. |
| Ссылка на страницу товара на сайте производителя | http://www.cloud-clone.com/products/PAA822Mu01.html |
|
Артикул
|
Наименование |
Производитель
|
|---|
|
Артикул
|
Наименование |
Производитель
|
|---|
|
Артикул
|
Наименование |
Производитель
|
|---|
|
Артикул
|
Наименование |
Производитель
|
|---|
|
Артикул
|
Наименование |
Производитель
|
|---|
|
Артикул
|
Наименование |
Производитель
|
|---|
|
Артикул
|
Наименование |
Производитель
|
|---|
|
Артикул
|
Наименование |
Производитель
|
|---|
Акции и предложения
Популярные продукты:
InVivoMAb Anti-Mouse CD19 Antibody (1D3) (VMD10804)
Источник (хозяин): мышь
Реактивность подтвержденная: мышь
Валидировано для: ELISA, FCM, FuncS
Реактивность подтвержденная: мышь
Валидировано для: ELISA, FCM, FuncS
InVivoMAb Anti-Human/Mouse CD49d/VLA-4 Antibody (PS/2) (VMC98801)
Источник (хозяин): крыса
Реактивность подтвержденная: человек, мышь
Валидировано для: ELISA, FuncS
Реактивность подтвержденная: человек, мышь
Валидировано для: ELISA, FuncS
Anti-Human CD37/TSPAN26 Antibody (Fs0323), APC (FHC85132)
Источник (хозяин): мышь
Реактивность подтвержденная: человек
Валидировано для: ELISA, FCM, NEUT
Реактивность подтвержденная: человек
Валидировано для: ELISA, FCM, NEUT
Anti-Human CD269/BCMA Antibody (Fs0352) (RHF92403)
Источник (хозяин): человек
Реактивность подтвержденная: человек
Валидировано для: ELISA, FCM, NEUT
Реактивность подтвержденная: человек
Валидировано для: ELISA, FCM, NEUT
ELISA Kit DIY Materials for Hydroxymethylglutaryl Coenzyme A Synthase (HMGCS) (KSB759Hu01)
Организм: человек
Диапазон определения: 0.156-10 нг/мл
Чувствительность: 0.055 нг/мл
Диапазон определения: 0.156-10 нг/мл
Чувствительность: 0.055 нг/мл
ELISA Kit DIY Materials for Trefoil Factor 1 (TFF1) (KSB049Hu01)
Организм: человек
Диапазон определения: 0.156-10 нг/мл
Чувствительность: 0.056 нг/мл
Диапазон определения: 0.156-10 нг/мл
Чувствительность: 0.056 нг/мл

