| UNIPROT | P08631 |
| Иммуноген | RPC522Hu01-Recombinant Hemopoietic Cell Kinase (HCK) |
Polyclonal Antibody to Hemopoietic Cell Kinase (HCK) (PAC522Hu01)
Реактивность подтвержденная:
человек
Источник (хозяин):
кролик
Валидировано для:
FCM
IHC
WB
Характеристики
Техническое описание
| Русское название | PAC522Hu01 Поликлональное антитело к HCK (человек) <Cloud-Clone,Китай> |
| Каталожный номер | PAC522Hu01 |
| Название антигена | Hemopoietic Cell Kinase (HCK) |
| UNIPROT | P08631 |
| Иммуноген | RPC522Hu01-Recombinant Hemopoietic Cell Kinase (HCK) |
| Английские синонимы | JTK9, Hematopoietic cell kinase, p59-HCK/p60-HCK |
Реактивность подтвержденная Нужна другая реактивность? |
человек |
| Реактивность предсказываемая | мышь, крыса, свинья |
| Источник (хозяин) | кролик |
| Клональность | поликлональное |
| Рекомбинантное | нет |
| Готовое к использованию | нет |
| Концентрация | 1 мг/мл |
| Конъюгат | По запросу: HRP, biotin, PerCP, PE, Cy3, FITC, Cy7, Cy5.5, PE-Cy5, PE-Cy7, PerCp-Cy5.5, APC, Cy5, PE-Cy3, PE-Cy5.5, APC-Cy7, Biotin-APC, FITC-Biotin, TRITC, APC-Cy5, AF488, AF594, AF405, AF555, AF700, AF647, AF750 |
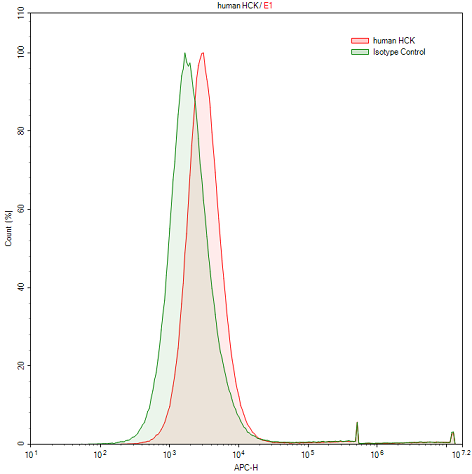
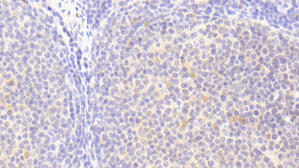
| Валидировано для | FCM IHC WB Проточная цитометрия; Иммуногистохимия; Вестерн-блоттинг |
| Рекомендуемые разведения | WB: 0.5-2 мкг/мл; IHC: 5-20 мкг/мл; ICC: 5-20 мкг/мл; Оптимальное разведение определяется конечным потребителем |
| Метод очистки | Антигенспецифическая аффинная хроматография с последующей аффинной хроматографией с белком А |
| Состав буфера | PBS, pH7.4, 0.02% NaN3, 50% глицерин |
| Условия доставки | термобокс с аккумуляторами холода |
| Условия хранения | Сразу после получения аликвотировать и хранить при -20ºС до 24 месяцев. Для частого использования хранить при +4ºС не более 2 недель. Избегать повторения циклов замерзания/оттаивания |
| Срок хранения | 24 месяца |
| Производитель | Cloud-Clone Corp. |
| Ссылка на страницу товара на сайте производителя | http://www.cloud-clone.com/products/PAC522Hu01.html |
|
Артикул
|
Наименование |
Производитель
|
|---|
|
Артикул
|
Наименование |
Производитель
|
|---|
|
Артикул
|
Наименование |
Производитель
|
|---|
|
Артикул
|
Наименование |
Производитель
|
|---|
Акции и предложения
Популярные продукты:
ELISA Kit DIY Materials for Agrin (AGRN) (KSB303Hu01)
Организм: человек
Диапазон определения: 0.312-20 нг/мл
Чувствительность: 0.112 нг/мл
Диапазон определения: 0.312-20 нг/мл
Чувствительность: 0.112 нг/мл
Anti-Aconitase 1 (ACO1) Polyclonal Antibody (FAJ683Mu03)
Источник (хозяин): кролик
Реактивность подтвержденная: мышь
Валидировано для: FCM
Реактивность подтвержденная: мышь
Валидировано для: FCM
ELISA Kit DIY Materials for Leukocyte Cell Derived Chemotaxin 2 (LECT2) (KSF541Mu01)
Организм: мышь
Диапазон определения: 78-5000 пг/мл
Чувствительность: 33 пг/мл
Диапазон определения: 78-5000 пг/мл
Чувствительность: 33 пг/мл
Monoclonal Antibody to Aspartate Aminotransferase 2 (AST2) (MAD853Hu26)
Источник (хозяин): мышь
Реактивность подтвержденная: человек
Валидировано для: ICC, IF
Реактивность подтвержденная: человек
Валидировано для: ICC, IF
ELISA Kit for Programmed Cell Death Protein 4 (PDCD4) (SEL108Hu)
Организм: человек
Диапазон определения: 0.156-10 нг/мл
Чувствительность: 0.061 нг/мл
Диапазон определения: 0.156-10 нг/мл
Чувствительность: 0.061 нг/мл
ELISA Kit for ATP Binding Cassette Transporter G1 (ABCG1) (SEB288Mu)
Организм: мышь
Диапазон определения: 0.156-10 нг/мл
Чувствительность: 5.05 пг/мл
Диапазон определения: 0.156-10 нг/мл
Чувствительность: 5.05 пг/мл

