| UNIPROT | Q9Y251 |
| Иммуноген | RPA711Hu04-Recombinant Heparanase (HPSE) |
Polyclonal Antibody to Heparanase (HPSE) (PAA711Hu04)
Реактивность подтвержденная:
человек
Источник (хозяин):
кролик
Валидировано для:
IHC
Характеристики
Техническое описание
| Русское название | PAA711Hu04 Поликлональное антитело к HPSE (человек) <Cloud-Clone,Китай> |
| Каталожный номер | PAA711Hu04 |
| Название антигена | Heparanase (HPA) |
| UNIPROT | Q9Y251 |
| Иммуноген | RPA711Hu04-Recombinant Heparanase (HPSE) |
| Английские синонимы | HPSE, HPR1, HPSE1, HSE1, Endo-glucoronidase |
Реактивность подтвержденная Нужна другая реактивность? |
человек |
| Реактивность предсказываемая | свинья |
| Источник (хозяин) | кролик |
| Клональность | поликлональное |
| Рекомбинантное | нет |
| Готовое к использованию | нет |
| Концентрация | 500 мкг/мл |
| Конъюгат | По запросу: HRP, biotin, PerCP, PE, Cy3, FITC, Cy7, Cy5.5, PE-Cy5, PE-Cy7, PerCp-Cy5.5, APC, Cy5, PE-Cy3, PE-Cy5.5, APC-Cy7, Biotin-APC, FITC-Biotin, TRITC, APC-Cy5, AF488, AF594, AF405, AF555, AF700, AF647, AF750 |
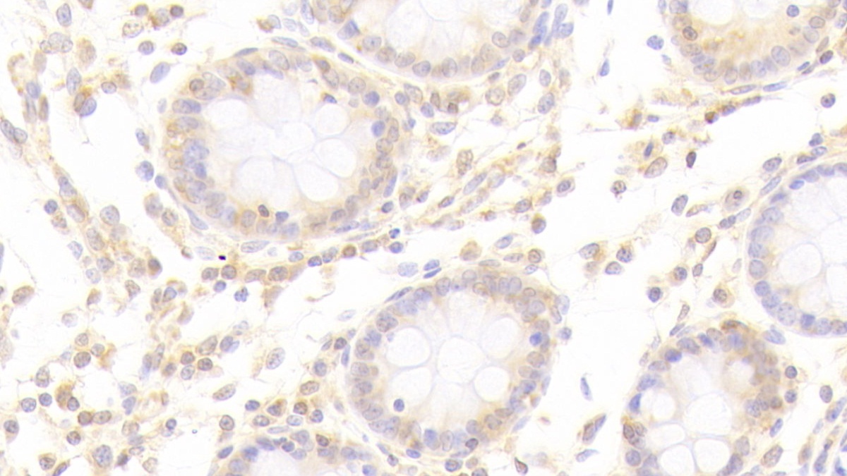
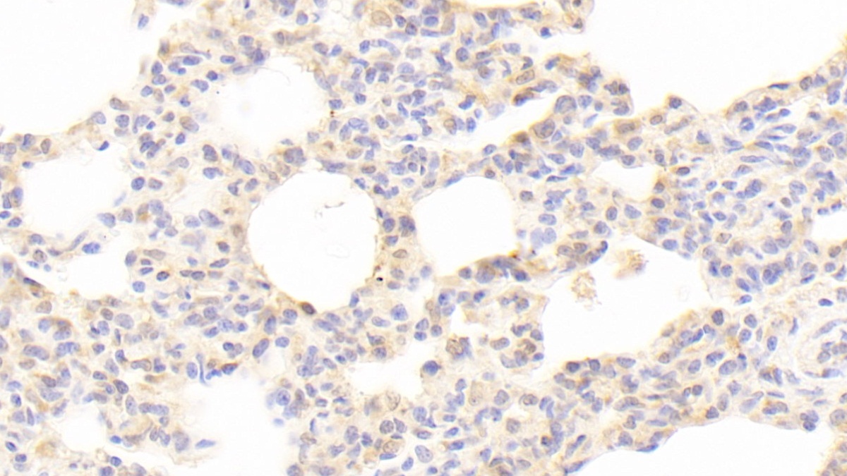
| Валидировано для | IHC Иммуногистохимия |
| Рекомендуемые разведения | WB: 0.2-2 мкг/мл; 1:250-2500; IHC: 5-20 мкг/мл; 1:25-100; ICC: 5-20 мкг/мл; 1:25-100; Оптимальное разведение определяется конечным потребителем |
| Метод очистки | Антигенспецифическая аффинная хроматография с последующей аффинной хроматографией с белком А |
| Состав буфера | 0.01M PBS, pH7.4, 0.05% Proclin-300, 50% глицерин |
| Условия доставки | термобокс с аккумуляторами холода |
| Условия хранения | Сразу после получения аликвотировать и хранить при -20ºС до 24 месяцев. Для частого использования хранить при +4ºС не более 2 недель. Избегать повторения циклов замерзания/оттаивания |
| Срок хранения | 24 месяца |
| Производитель | Cloud-Clone Corp. |
| Ссылка на страницу товара на сайте производителя | http://www.cloud-clone.com/products/PAA711Hu04.html |
|
Артикул
|
Наименование |
Производитель
|
|---|
|
Артикул
|
Наименование |
Производитель
|
|---|
|
Артикул
|
Наименование |
Производитель
|
|---|
|
Артикул
|
Наименование |
Производитель
|
|---|
|
Артикул
|
Наименование |
Производитель
|
|---|
Акции и предложения
Популярные продукты:
Anti-Heparanase (HPSE) Polyclonal Antibody (FAA711Hu03)
Источник (хозяин): кролик
Реактивность подтвержденная: человек
Валидировано для: FCM
Реактивность подтвержденная: человек
Валидировано для: FCM
Goat Transcription factor HES 1(HES1) ELISA kit (E06T0619)
Организм: коза
Bovine Claudin 5(CLDN5) ELISA kit (E11C0988)
Организм: корова
Bovine Claudin 4 (CLDN4) ELISA kit (E11C0970)
Организм: корова
Rabbit Myosin 11(MYH11) ELISA kit (E04M0414)
Организм: кролик
Monkey Myosin 7(MYH7) ELISA kit (E09M0417)
Организм: обезьяна

