Polyclonal Antibody to Heterogeneous Nuclear Ribonucleoprotein A1 (HNRNPA1) (PAC252Mu01)
Реактивность подтвержденная:
мышь
Источник (хозяин):
кролик
Валидировано для:
IHC
WB
Характеристики
Техническое описание
| Русское название | PAC252Mu01 Поликлональное антитело к HNRNPA1 (мышь) <Cloud-Clone,Китай> |
| Каталожный номер | PAC252Mu01 |
| Название антигена | Heterogeneous Nuclear Ribonucleoprotein A1 (HNRPA1) |
| UNIPROT | P49312 |
| Иммуноген | RPC252Mu01-Recombinant Heterogeneous Nuclear Ribonucleoprotein A1 (HNRNPA1) |
| Английские синонимы | HNRNPA1, hnRNP-A1, Helix-destabilizing protein, Single-strand RNA-binding protein, hnRNP core protein A1, Heterogeneous nuclear ribonucleoprotein A1, N-terminally processed |
Реактивность подтвержденная Нужна другая реактивность? |
мышь |
| Реактивность предсказываемая | человек, крыса |
| Источник (хозяин) | кролик |
| Клональность | поликлональное |
| Рекомбинантное | нет |
| Готовое к использованию | нет |
| Концентрация | 1 мг/мл |
| Конъюгат | По запросу: HRP, biotin, PerCP, PE, Cy3, FITC, Cy7, Cy5.5, PE-Cy5, PE-Cy7, PerCp-Cy5.5, APC, Cy5, PE-Cy3, PE-Cy5.5, APC-Cy7, Biotin-APC, FITC-Biotin, TRITC, APC-Cy5, AF488, AF594, AF405, AF555, AF700, AF647, AF750 |
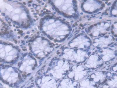
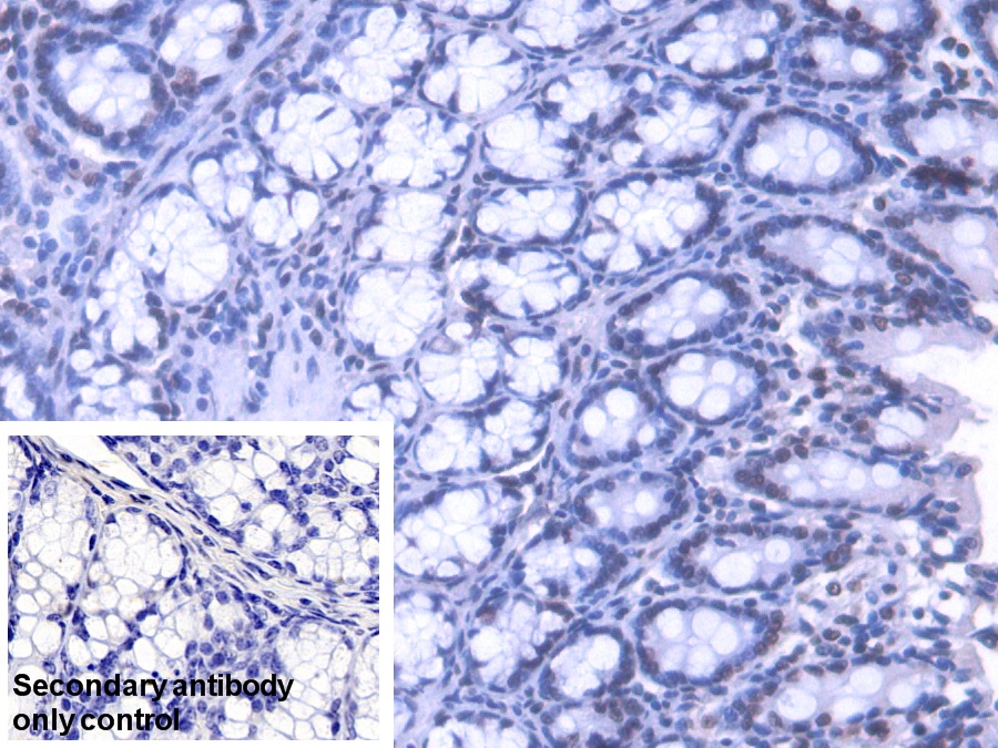
| Валидировано для | IHC WB Иммуногистохимия; Вестерн-блоттинг |
| Рекомендуемые разведения | WB: 0.5-2 мкг/мл; IHC: 5-20 мкг/мл; ICC: 5-20 мкг/мл; Оптимальное разведение определяется конечным потребителем |
| Метод очистки | Антигенспецифическая аффинная хроматография с последующей аффинной хроматографией с белком А |
| Состав буфера | 0.01M PBS, pH7.4, 0.05% Proclin-300, 50% глицерин |
| Условия доставки | термобокс с аккумуляторами холода |
| Условия хранения | Сразу после получения аликвотировать и хранить при -20ºС до 24 месяцев. Для частого использования хранить при +4ºС не более 2 недель. Избегать повторения циклов замерзания/оттаивания |
| Срок хранения | 24 месяца |
| Производитель | Cloud-Clone Corp. |
| Ссылка на страницу товара на сайте производителя | http://www.cloud-clone.com/products/PAC252Mu01.html |
|
Артикул
|
Наименование |
Производитель
|
|---|
|
Артикул
|
Наименование |
Производитель
|
|---|
|
Артикул
|
Наименование |
Производитель
|
|---|
|
Артикул
|
Наименование |
Производитель
|
|---|
Акции и предложения
Популярные продукты:
Enhanced Cell Malondialdehyde (MDA) Colorimetric Assay Kit (E-BC-K814-M)
Организм: для всех
Диапазон определения: 0.19 нмоль/мл
Чувствительность: 0.19-100.00 нмоль/мл
Диапазон определения: 0.19 нмоль/мл
Чувствительность: 0.19-100.00 нмоль/мл
Multiplex Assay Kit for Extracellular Signal Regulated Kinase 2 (ERK2) (LMA930Ra)
Организм: крыса
Диапазон определения: 0.01-10 нг/мл
Чувствительность: 0.003 нг/мл
Диапазон определения: 0.01-10 нг/мл
Чувствительность: 0.003 нг/мл
Human ADP ribosylation factor like protein 6(ARL6) ELISA kit (E01A1020)
Организм: человек
Диапазон определения: 250-5000 пг/мл
Чувствительность: 1 пг/мл
Диапазон определения: 250-5000 пг/мл
Чувствительность: 1 пг/мл
Canine Amyloid like protein 1(APLP1) ELISA kit (E08A1594)
Организм: собака
Canine Alpha B Crystallin ELISA kit (E08C0343)
Организм: собака
Диапазон определения: 1-25 нг/мл
Чувствительность: 0.1 нг/мл
Диапазон определения: 1-25 нг/мл
Чувствительность: 0.1 нг/мл
Porcine Outer dense fiber protein 1(ODF1) ELISA kit (E07O0741)
Организм: свинья

