| UNIPROT | P12081 |
| Иммуноген | RPC999Hu01-Recombinant Histidyl tRNA Synthetase (HARS) |
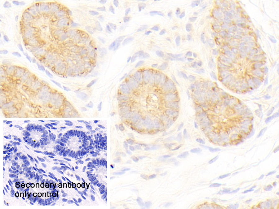
Polyclonal Antibody to Histidyl tRNA Synthetase (HARS) (PAC999Hu01)
Реактивность подтвержденная:
человек
Источник (хозяин):
кролик
Валидировано для:
IHC
WB
Характеристики
Техническое описание
| Русское название | PAC999Hu01 Поликлональное антитело к HARS (человек) <Cloud-Clone,Китай> |
| Каталожный номер | PAC999Hu01 |
| Название антигена | Histidyl tRNA Synthetase (HARS) |
| UNIPROT | P12081 |
| Иммуноген | RPC999Hu01-Recombinant Histidyl tRNA Synthetase (HARS) |
| Английские синонимы | HRS, Jo1, Jo-1, HisRS, Histidine tRNA Ligase 1,Cytoplasmic |
Реактивность подтвержденная Нужна другая реактивность? |
человек |
| Реактивность предсказываемая | мышь, крыса, свинья |
| Источник (хозяин) | кролик |
| Клональность | поликлональное |
| Рекомбинантное | нет |
| Готовое к использованию | нет |
| Концентрация | 500 мкг/мл |
| Конъюгат | По запросу: HRP, biotin, PerCP, PE, Cy3, FITC, Cy7, Cy5.5, PE-Cy5, PE-Cy7, PerCp-Cy5.5, APC, Cy5, PE-Cy3, PE-Cy5.5, APC-Cy7, Biotin-APC, FITC-Biotin, TRITC, APC-Cy5, AF488, AF594, AF405, AF555, AF700, AF647, AF750 |
| Валидировано для | IHC WB Иммуногистохимия; Вестерн-блоттинг |
| Рекомендуемые разведения | WB: 0.2-2 мкг/мл; 1:250-2500; IHC: 5-20 мкг/мл; 1:25-100; ICC: 5-20 мкг/мл; 1:25-100; Оптимальное разведение определяется конечным потребителем |
| Метод очистки | Антигенспецифическая аффинная хроматография с последующей аффинной хроматографией с белком А |
| Состав буфера | 0.01M PBS, pH7.4, 0.05% Proclin-300, 50% глицерин |
| Условия доставки | термобокс с аккумуляторами холода |
| Условия хранения | Сразу после получения аликвотировать и хранить при -20ºС до 24 месяцев. Для частого использования хранить при +4ºС не более 2 недель. Избегать повторения циклов замерзания/оттаивания |
| Срок хранения | 24 месяца |
| Производитель | Cloud-Clone Corp. |
| Ссылка на страницу товара на сайте производителя | http://www.cloud-clone.com/products/PAC999Hu01.html |
|
Артикул
|
Наименование |
Производитель
|
|---|
|
Артикул
|
Наименование |
Производитель
|
|---|
|
Артикул
|
Наименование |
Производитель
|
|---|
Акции и предложения
Популярные продукты:
Anti-Human CD4 Antibody (HIT4a) (FHB95940)
Источник (хозяин): мышь
Реактивность подтвержденная: человек
Валидировано для: ELISA, FCM
Реактивность подтвержденная: человек
Валидировано для: ELISA, FCM
Anti-Ganglioside GM1 mIgM Antibody (WO1) (RGK28707)
Источник (хозяин): мышь
Реактивность подтвержденная: мышь
Валидировано для: ELISA
Реактивность подтвержденная: мышь
Валидировано для: ELISA
ELISA Kit DIY Materials for Poly ADP Ribose Polymerase (PARP) (KSA279Hu01)
Организм: человек
Диапазон определения: 0.78-50 нг/мл
Чувствительность: 0.28 нг/мл
Диапазон определения: 0.78-50 нг/мл
Чувствительность: 0.28 нг/мл
ELISA Kit DIY Materials for Fibroblast Growth Factor Receptor 2 (FGFR2) (KSB794Hu01)
Организм: человек
Диапазон определения: 62.5-4000 пг/мл
Чувствительность: 22.1 пг/мл
Диапазон определения: 62.5-4000 пг/мл
Чувствительность: 22.1 пг/мл
ELISA Kit for Ninjurin 1 (NINJ1) (SEH541Hu)
Организм: человек
Диапазон определения: 0.156-10 нг/мл
Чувствительность: 0.055 нг/мл
Диапазон определения: 0.156-10 нг/мл
Чувствительность: 0.055 нг/мл

