| UNIPROT | Q14520 |
| Иммуноген | RPC517Hu01-Recombinant Hyaluronan Binding Protein 2 (HABP2) |
Polyclonal Antibody to Hyaluronan Binding Protein 2 (HABP2) (PAC517Hu01)
Реактивность подтвержденная:
человек
Источник (хозяин):
кролик
Валидировано для:
IHC
WB
Характеристики
Техническое описание
| Русское название | PAC517Hu01 Поликлональное антитело к HABP2 (человек) <Cloud-Clone,Китай> |
| Каталожный номер | PAC517Hu01 |
| Название антигена | Hyaluronan Binding Protein 2 (HABP2) |
| UNIPROT | Q14520 |
| Иммуноген | RPC517Hu01-Recombinant Hyaluronan Binding Protein 2 (HABP2) |
| Английские синонимы | FSAP, HABP, HGFAL, PHBP, Plasma Hyaluronan Binding Protein, Factor VII Activating Protein, Factor seven-activating protease, Hepatocyte growth factor activator-like protein |
Реактивность подтвержденная Нужна другая реактивность? |
человек |
| Реактивность предсказываемая | свинья |
| Источник (хозяин) | кролик |
| Клональность | поликлональное |
| Рекомбинантное | нет |
| Готовое к использованию | нет |
| Концентрация | 0.5 мг/мл |
| Конъюгат | По запросу: HRP, biotin, PerCP, PE, Cy3, FITC, Cy7, Cy5.5, PE-Cy5, PE-Cy7, PerCp-Cy5.5, APC, Cy5, PE-Cy3, PE-Cy5.5, APC-Cy7, Biotin-APC, FITC-Biotin, TRITC, APC-Cy5, AF488, AF594, AF405, AF555, AF700, AF647, AF750 |
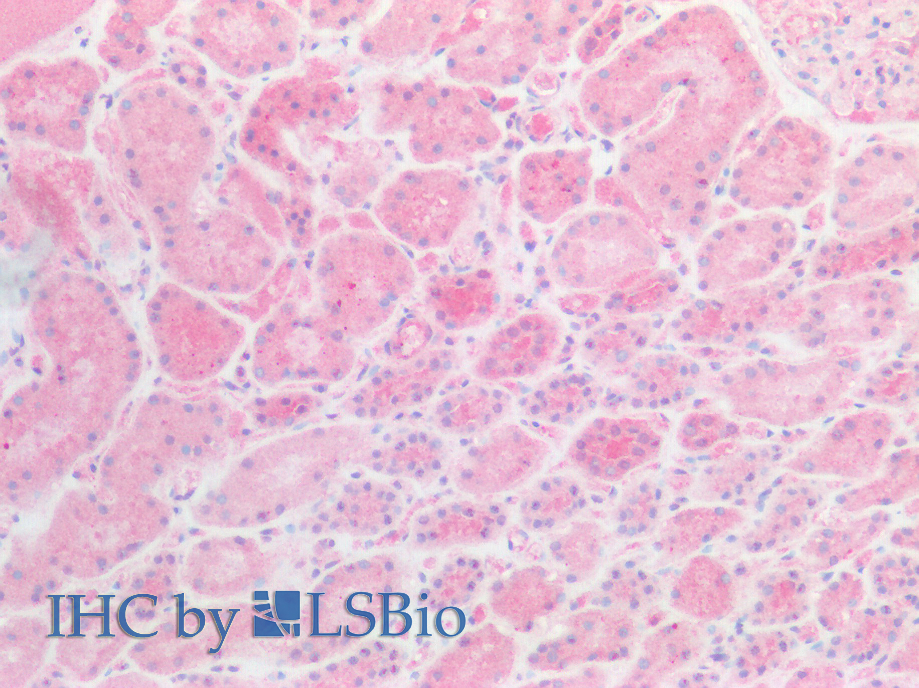
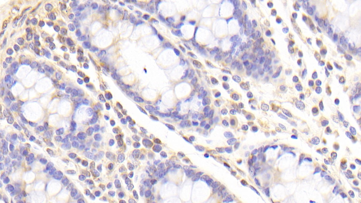
| Валидировано для | IHC WB Иммуногистохимия; Вестерн-блоттинг |
| Рекомендуемые разведения | WB: 0.01-2 мкг/мл; IHC: 5-20 мкг/мл; ICC: 5-20 мкг/мл; Оптимальное разведение определяется конечным потребителем |
| Метод очистки | Антигенспецифическая аффинная хроматография с последующей аффинной хроматографией с белком А |
| Состав буфера | 0.01M PBS, pH7.4, 0.05% Proclin-300, 50% глицерин |
| Условия доставки | термобокс с аккумуляторами холода |
| Условия хранения | Сразу после получения аликвотировать и хранить при -20ºС до 24 месяцев. Для частого использования хранить при +4ºС не более 2 недель. Избегать повторения циклов замерзания/оттаивания |
| Срок хранения | 24 месяца |
| Производитель | Cloud-Clone Corp. |
| Ссылка на страницу товара на сайте производителя | http://www.cloud-clone.com/products/PAC517Hu01.html |
|
Артикул
|
Наименование |
Производитель
|
|---|
|
Артикул
|
Наименование |
Производитель
|
|---|
|
Артикул
|
Наименование |
Производитель
|
|---|
Акции и предложения
Популярные продукты:
Eukaryotic Immunoglobulin Lambda (Igl) (EPG160Hu61)
Источник (хозяин): 293F
Организм: человек
Фрагмент: Met1-Ser235
Теги: N-концевой His-Tag
Биоактивность: нет
Организм: человек
Фрагмент: Met1-Ser235
Теги: N-концевой His-Tag
Биоактивность: нет
Anti-Human EPHA2 Antibody (SHM16), FITC (FHD82421)
Источник (хозяин): мышь
Реактивность подтвержденная: человек
Валидировано для: FCM
Реактивность подтвержденная: человек
Валидировано для: FCM
Anti-Prolactin (PRL) Monoclonal Antibody (FAA846Hu04)
Источник (хозяин): мышь
Реактивность подтвержденная: человек
Валидировано для: FCM
Реактивность подтвержденная: человек
Валидировано для: FCM
Anti-Prolactin (PRL) Monoclonal Antibody (FAA846Hu06)
Источник (хозяин): мышь
Реактивность подтвержденная: человек
Валидировано для: FCM
Реактивность подтвержденная: человек
Валидировано для: FCM
Monoclonal Antibody to Tubulin Beta 3 (TUBb3) (MAE711Hu23)
Источник (хозяин): мышь
Реактивность подтвержденная: человек
Валидировано для: IHC, WB
Реактивность подтвержденная: человек
Валидировано для: IHC, WB
Polyclonal Antibody to Semaglutide (SMG) (PAX303Ge01)
Источник (хозяин): кролик
Реактивность подтвержденная: для всех
Валидировано для: ELISA, ICC
Реактивность подтвержденная: для всех
Валидировано для: ELISA, ICC

