| UNIPROT | Q76HN1 |
| Иммуноген | RPS092Ra01-Recombinant Hyaluronoglucosaminidase 1 (HYAL1) |
Polyclonal Antibody to Hyaluronoglucosaminidase 1 (HYAL1) (PAS092Ra01)
Реактивность подтвержденная:
крыса
Источник (хозяин):
кролик
Валидировано для:
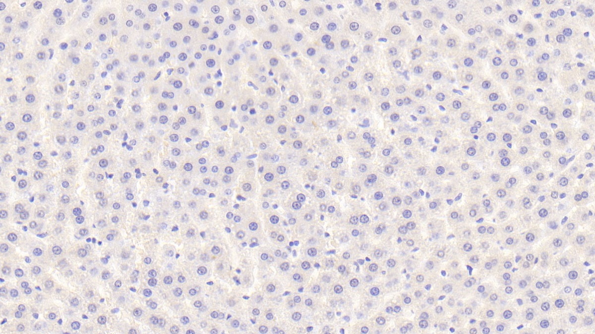
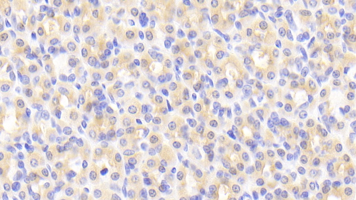
IHC
Характеристики
Техническое описание
| Русское название | PAS092Ra01 Поликлональное антитело к HYAL1 (крыса) <Cloud-Clone,Китай> |
| Каталожный номер | PAS092Ra01 |
| Название антигена | Hyaluronoglucosaminidase 1 (HYAL1) |
| UNIPROT | Q76HN1 |
| Иммуноген | RPS092Ra01-Recombinant Hyaluronoglucosaminidase 1 (HYAL1) |
| Английские синонимы | LUCA1, NAT6, Hyaluronidase-1, Lung carcinoma protein 1 |
Реактивность подтвержденная Нужна другая реактивность? |
крыса |
| Реактивность предсказываемая | мышь |
| Источник (хозяин) | кролик |
| Клональность | поликлональное |
| Рекомбинантное | нет |
| Готовое к использованию | нет |
| Концентрация | 500 мкг/мл |
| Конъюгат | По запросу: HRP, biotin, PerCP, PE, Cy3, FITC, Cy7, Cy5.5, PE-Cy5, PE-Cy7, PerCp-Cy5.5, APC, Cy5, PE-Cy3, PE-Cy5.5, APC-Cy7, Biotin-APC, FITC-Biotin, TRITC, APC-Cy5, AF488, AF594, AF405, AF555, AF700, AF647, AF750 |
| Валидировано для | IHC Иммуногистохимия |
| Рекомендуемые разведения | WB: 0.2-2 мкг/мл; 1:250-2500; IHC: 5-20 мкг/мл; 1:25-100; ICC: 5-20 мкг/мл; 1:25-100; Оптимальное разведение определяется конечным потребителем |
| Метод очистки | Антигенспецифическая аффинная хроматография с последующей аффинной хроматографией с белком А |
| Состав буфера | 0.01M PBS, pH7.4, 0.05% Proclin-300, 50% глицерин |
| Условия доставки | термобокс с аккумуляторами холода |
| Условия хранения | Сразу после получения аликвотировать и хранить при -20ºС до 24 месяцев. Для частого использования хранить при +4ºС не более 2 недель. Избегать повторения циклов замерзания/оттаивания |
| Срок хранения | 24 месяца |
| Производитель | Cloud-Clone Corp. |
| Ссылка на страницу товара на сайте производителя | http://www.cloud-clone.com/products/PAS092Ra01.html |
|
Артикул
|
Наименование |
Производитель
|
|---|
|
Артикул
|
Наименование |
Производитель
|
|---|
|
Артикул
|
Наименование |
Производитель
|
|---|
|
Артикул
|
Наименование |
Производитель
|
|---|
Акции и предложения
Популярные продукты:
Anti-Heat Shock Protein 27 (Hsp27) Polyclonal Antibody (FAA693Mu01)
Источник (хозяин): кролик
Реактивность подтвержденная: мышь
Валидировано для: FCM
Реактивность подтвержденная: мышь
Валидировано для: FCM
Anti-Myxovirus Resistance 1 (MX1) Polyclonal Antibody (FAL763Hu01)
Источник (хозяин): кролик
Реактивность подтвержденная: человек
Валидировано для: FCM
Реактивность подтвержденная: человек
Валидировано для: FCM
Monoclonal Antibody to Cyclin Dependent Kinase Inhibitor 2A (CDKN2A) (MAA794Hu26)
Источник (хозяин): мышь
Реактивность подтвержденная: человек
Валидировано для: WB
Реактивность подтвержденная: человек
Валидировано для: WB
Monoclonal Antibody to A Disintegrin And Metalloprotease 17 (ADAM17) (MAB555Hu25)
Источник (хозяин): мышь
Реактивность подтвержденная: человек
Валидировано для: WB
Реактивность подтвержденная: человек
Валидировано для: WB
Bovine 14-3-3 protein gamma(YWHAG) ELISA kit (E11Y0006)
Организм: корова
Monkey 14-3-3 protein gamma(YWHAG) ELISA kit (E09Y0006)
Организм: обезьяна

