Ваш браузер устарел и не обеспечивает полноценную и безопасную работу с сайтом. Пожалуйста обновите браузер чтобы улучшить взаимодействие с сайтом.
Мы обновили сайт, попробуйте новые функции в личном кабинете!

+7 (495) 798-02-48

Polyclonal Antibody to Hydroxyacyl Coenzyme A Dehydrogenase (HADH) (PAD682Mu01)

Реактивность подтвержденная: мышь
Источник (хозяин): кролик
Валидировано для:
IHC
WB
18420
18420
Western Blot; Sample: Lane1: Mouse Heart lysate; Lane2: Mouse Liver lysate; Lane3: Mouse Kidney lysate Primary Ab: 1μg/mL Rabbit Anti-Mouse HADH Antibody Second Ab: 0.2μg/mL HRP-Linked Caprine Anti-Rabbit IgG Polyclonal Antibody (Catalog: SAA544Rb19)
21892
21892
DAB staining on IHC-P; Samples: Mouse Kidney Tissue; Primary Ab: 10μg/ml Rabbit Anti-Mouse HADH Antibody Second Ab: 2μg/mL HRP-Linked Caprine Anti-Rabbit IgG Polyclonal Antibody (Catalog: SAA544Rb19)
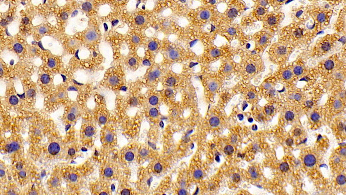
21893
21893
DAB staining on IHC-P; Samples: Mouse Liver Tissue; Primary Ab: 10μg/ml Rabbit Anti-Mouse HADH Antibody Second Ab: 2μg/mL HRP-Linked Caprine Anti-Rabbit IgG Polyclonal Antibody (Catalog: SAA544Rb19)
30562
30562
DAB staining on IHC-P; Sample: Mouse Cardiac Muscle Tissue Primary Ab: 10μg/ml Rabbit Anti-Mouse HADH Antibody Control: Used PBS instead of primary antibody Second Ab: 2μg/ml HRP-Linked Caprine Anti-Rabbit IgG Polyclonal Antibody (Catalog: SAA544Rb19)
30563
30563
DAB staining on IHC-P; Sample: Mouse Liver Tissue Primary Ab: 10μg/ml Rabbit Anti-Mouse HADH Antibody Control: Used PBS instead of primary antibody Second Ab: 2μg/ml HRP-Linked Caprine Anti-Rabbit IgG Polyclonal Antibody (Catalog: SAA544Rb19)
30565
30565
DAB staining on IHC-P; Sample: Mouse Kidney Tissue Primary Ab: 10μg/ml Rabbit Anti-Mouse HADH Antibody Control: Used PBS instead of primary antibody Second Ab: 2μg/ml HRP-Linked Caprine Anti-Rabbit IgG Polyclonal Antibody (Catalog: SAA544Rb19)
59702
59702
Figure. Western Blot; Sample: Recombinant HADH, Mouse.
18420
21892
21893
30562
30563
30565
59702
Ближайшая поставка
29.05.26
Характеристики
Техническое описание
Русское название PAD682Mu01 Поликлональное антитело к HADH (мышь) <Cloud-Clone,Китай>
Каталожный номер PAD682Mu01
Название антигена Hydroxyacyl Coenzyme A Dehydrogenase (HADH)
UNIPROT Q61425
Иммуноген RPD682Mu01-Recombinant Hydroxyacyl Coenzyme A Dehydrogenase (HADH)
Английские синонимы HADHSC, HADH1, SCHAD, L-3-Hydroxyacyl-Coenzyme A Dehydrogenase,Short Chain, Medium and short-chain L-3-hydroxyacyl-coenzyme A dehydrogenase
Реактивность подтвержденная
Нужна другая реактивность?
мышь
Реактивность предсказываемая человек, крыса
Источник (хозяин) кролик
Клональность поликлональное
Рекомбинантное нет
Готовое к использованию нет
Концентрация 0.5 мг/мл
Конъюгат По запросу: HRP, biotin, PerCP, PE, Cy3, FITC, Cy7, Cy5.5, PE-Cy5, PE-Cy7, PerCp-Cy5.5, APC, Cy5, PE-Cy3, PE-Cy5.5, APC-Cy7, Biotin-APC, FITC-Biotin, TRITC, APC-Cy5, AF488, AF594, AF405, AF555, AF700, AF647, AF750
Валидировано для
IHC
WB
Иммуногистохимия; Вестерн-блоттинг
Рекомендуемые разведения WB: 0.01-2 мкг/мл; IHC: 5-20 мкг/мл; ICC: 5-20 мкг/мл; Оптимальное разведение определяется конечным потребителем
Метод очистки Антигенспецифическая аффинная хроматография с последующей аффинной хроматографией с белком А
Состав буфера 0.01M PBS, pH7.4, 0.05% Proclin-300, 50% глицерин
Условия доставки термобокс с аккумуляторами холода
Условия хранения Сразу после получения аликвотировать и хранить при -20ºС до 24 месяцев. Для частого использования хранить при +4ºС не более 2 недель. Избегать повторения циклов замерзания/оттаивания
Срок хранения 24 месяца
Производитель Cloud-Clone Corp.
Ссылка на страницу товара на сайте производителя http://www.cloud-clone.com/products/PAD682Mu01.html

Назначение

поликлональное антитело от производителя Cloud-Clone Corp. к Hydroxyacyl Coenzyme A Dehydrogenase (HADH) источник — кролик предназначено для детекции целевого антигена в биологических образцах. Продукт характеризуется подтвержденной реактивностью к мышь.

Преимущества

  • Высокая специфичность и аффинность
  • Концентрация: 0.5 мг/мл
  • Оптимизированный состав буфера: 0.01M PBS, pH7.4, 0.05% Proclin-300, 50% глицерин
  • Стабильность: 24 месяца

Применение в исследованиях

Антитело валидировано для методов: IHC, WB. Подходит для научных исследований в области иммунологии, клеточной биологии и молекулярной диагностики.

Условия хранения

Срок годности: 24 месяца. Сразу после получения аликвотировать и хранить при -20ºС до 24 месяцев. Для частого использования хранить при +4ºС не более 2 недель. Избегать повторения циклов замерзания/оттаивания. Рекомендуется соблюдать температурный режим при транспортировке и хранении.
Артикул
Наименование
Производитель
Артикул
Наименование
Производитель
Артикул
Наименование
Производитель

С нами успешно сотрудничают:

Московский государственный университет им. Ломоносова
Московский государственный университет им. Ломоносова
Московский государственный университет им. Ломоносова
МФТИ
МФТИ
МФТИ
Центр вирусологии и биотехнологии „Вектор“
Центр вирусологии и биотехнологии „Вектор“
Центр вирусологии и биотехнологии „Вектор“
Институт физиологии имени Павлова
Институт физиологии имени Павлова
Институт физиологии имени Павлова
Сеченовский университет
Сеченовский университет
Сеченовский университет
Исследовательский центр им. Алмазова
Исследовательский центр им. Алмазова
Исследовательский центр им. Алмазова
BIOCAD
BIOCAD
BIOCAD
Университет Сириус
Университет Сириус
Университет Сириус
Р-Фарм
Р-Фарм
Р-Фарм
Сколтех
Сколтех
Сколтех
Курчатовский институт
Курчатовский институт
Курчатовский институт
ИБХ РАН
ИБХ РАН
ИБХ РАН
НИЦ эпидемиологии и микробиологии им. Н.Ф.Гамалеи
НИЦ эпидемиологии и микробиологии им. Н.Ф.Гамалеи
НИЦ эпидемиологии и микробиологии им. Н.Ф.Гамалеи
Томский НИМЦ
Томский НИМЦ
Томский НИМЦ
ФИЦ ВИЖ имени Л.К. Эрнста
ФИЦ ВИЖ имени Л.К. Эрнста
ФИЦ ВИЖ имени Л.К. Эрнста
Фонд "Наука - Детям"
Фонд "Наука - Детям"
Фонд "Наука - Детям"
Институт цитологии и генетики СО РАН
Институт цитологии и генетики СО РАН
Институт цитологии и генетики СО РАН
Генериум
Генериум
Генериум

Новости

0
0
0