Polyclonal Antibody to Hypoxanthine Phosphoribosyltransferase 1 (HPRT1) (PAA717Hu01)
Реактивность подтвержденная:
человек
Источник (хозяин):
кролик
Валидировано для:
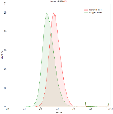
FCM
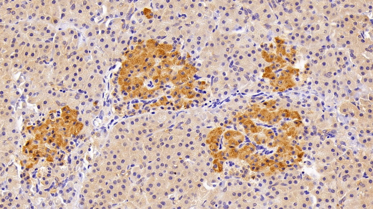
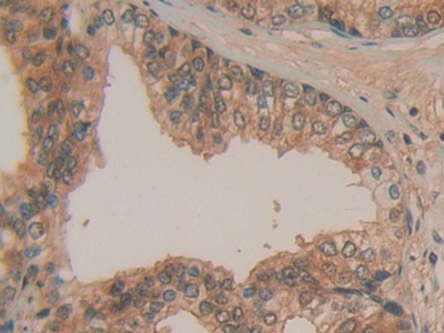
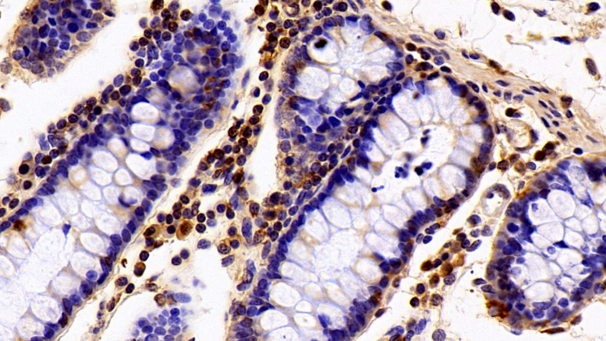
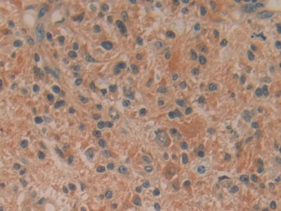
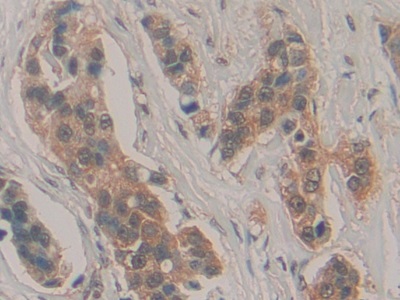
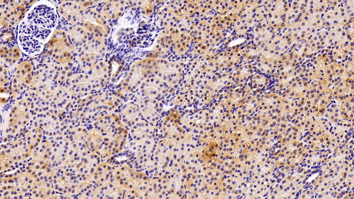
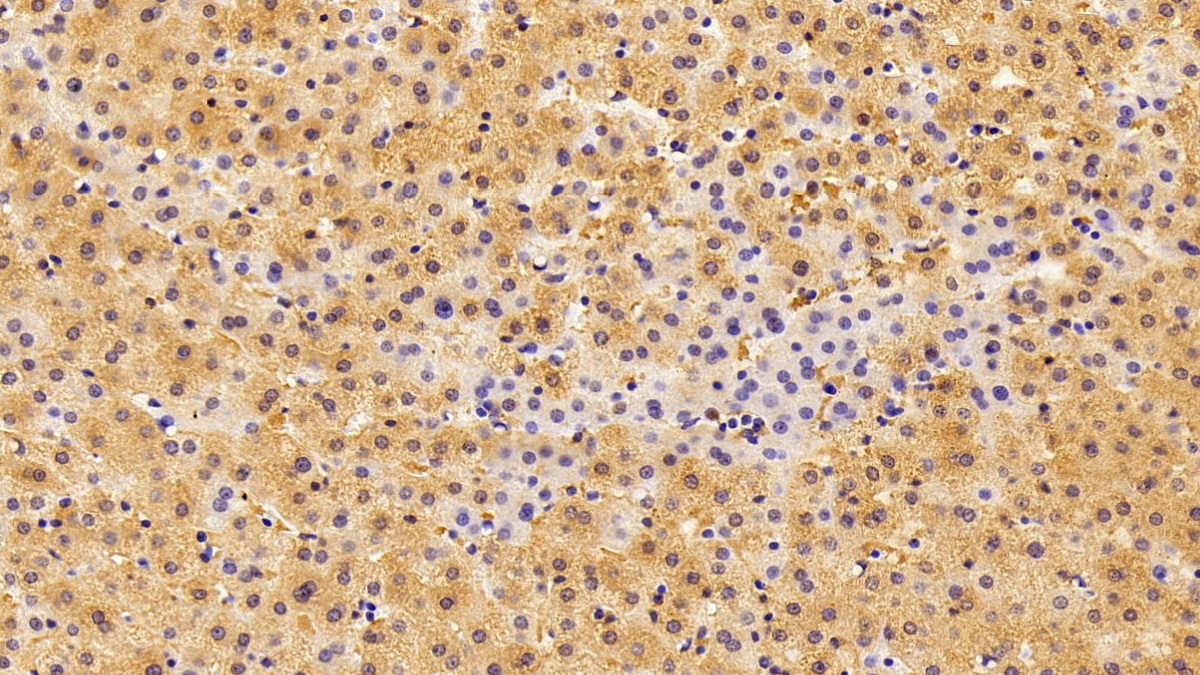
IHC
WB
Характеристики
Техническое описание
| Русское название | PAA717Hu01 Поликлональное антитело к HPRT1 (человек) <Cloud-Clone,Китай> |
| Каталожный номер | PAA717Hu01 |
| Название антигена | Hypoxanthine Phosphoribosyltransferase 1 (HPRT1) |
| UNIPROT | P00492 |
| Иммуноген | RPA717Hu01-Recombinant Hypoxanthine Phosphoribosyltransferase 1 (HPRT1) |
| Английские синонимы | HGPRT, HGPRTase, HPRT, Lesch-Nyhan Syndrome, Hypoxanthine-guanine phosphoribosyltransferase |
| Русские синонимы | ГГФТ |
Реактивность подтвержденная Нужна другая реактивность? |
человек |
| Реактивность предсказываемая | крыса, свинья |
| Источник (хозяин) | кролик |
| Клональность | поликлональное |
| Рекомбинантное | нет |
| Готовое к использованию | нет |
| Концентрация | 500 мкг/мл |
| Конъюгат | По запросу: HRP, biotin, PerCP, PE, Cy3, FITC, Cy7, Cy5.5, PE-Cy5, PE-Cy7, PerCp-Cy5.5, APC, Cy5, PE-Cy3, PE-Cy5.5, APC-Cy7, Biotin-APC, FITC-Biotin, TRITC, APC-Cy5, AF488, AF594, AF405, AF555, AF700, AF647, AF750 |
| Валидировано для | FCM IHC WB Проточная цитометрия; Иммуногистохимия; Вестерн-блоттинг |
| Рекомендуемые разведения | WB: 0.5-5 мкг/мл; IHC: 5-20 мкг/мл; ICC: 5-20 мкг/мл; Оптимальное разведение определяется конечным потребителем |
| Метод очистки | Антигенспецифическая аффинная хроматография с последующей аффинной хроматографией с белком А |
| Состав буфера | 0.01M PBS, pH7.4, 0.05% Proclin-300, 50% глицерин |
| Условия доставки | термобокс с аккумуляторами холода |
| Условия хранения | Сразу после получения аликвотировать и хранить при -20ºС до 24 месяцев. Для частого использования хранить при +4ºС не более 2 недель. Избегать повторения циклов замерзания/оттаивания |
| Срок хранения | 24 месяца |
| Производитель | Cloud-Clone Corp. |
| Ссылка на страницу товара на сайте производителя | http://www.cloud-clone.com/products/PAA717Hu01.html |
|
Артикул
|
Наименование |
Производитель
|
|---|
|
Артикул
|
Наименование |
Производитель
|
|---|
|
Артикул
|
Наименование |
Производитель
|
|---|
Акции и предложения
Популярные продукты:
Human Amiloride sensitive cation channel 2, neuronal(ACCN2) ELISA kit (E01A1184)
Организм: человек
Диапазон определения: 0.5-10 нг/мл
Чувствительность: 0.1 нг/мл
Диапазон определения: 0.5-10 нг/мл
Чувствительность: 0.1 нг/мл
Guinea Pig Fibroblast Growth Factor Receptor SubstRate 2 ELISA kit (E05F0125)
Организм: морская свинка
Human Beta-type platelet-derived growth factor receptor ELISA kit (E01B0960)
Организм: человек
Диапазон определения: 0.5-10 нг/мл
Чувствительность: 0.1 нг/мл
Диапазон определения: 0.5-10 нг/мл
Чувствительность: 0.1 нг/мл

