| UNIPROT | Q08890 |
| Иммуноген | RPH833Mu01-Recombinant Iduronate-2-Sulfatase (IDS) |
Polyclonal Antibody to Iduronate-2-Sulfatase (IDS) (PAH833Mu01)
Реактивность подтвержденная:
мышь
Источник (хозяин):
кролик
Валидировано для:
IHC
Характеристики
Техническое описание
| Русское название | PAH833Mu01 Поликлональное антитело к IDS (мышь) <Cloud-Clone,Китай> |
| Каталожный номер | PAH833Mu01 |
| Название антигена | Iduronate-2-Sulfatase (IDS) |
| UNIPROT | Q08890 |
| Иммуноген | RPH833Mu01-Recombinant Iduronate-2-Sulfatase (IDS) |
| Английские синонимы | MPS2, SIDS, Hunter Syndrome, Idursulfase, Alpha-L-iduronate sulfate sulfatase |
Реактивность подтвержденная Нужна другая реактивность? |
мышь |
| Источник (хозяин) | кролик |
| Клональность | поликлональное |
| Рекомбинантное | нет |
| Готовое к использованию | нет |
| Концентрация | 500 мкг/мл |
| Конъюгат | По запросу: HRP, biotin, PerCP, PE, Cy3, FITC, Cy7, Cy5.5, PE-Cy5, PE-Cy7, PerCp-Cy5.5, APC, Cy5, PE-Cy3, PE-Cy5.5, APC-Cy7, Biotin-APC, FITC-Biotin, TRITC, APC-Cy5, AF488, AF594, AF405, AF555, AF700, AF647, AF750 |
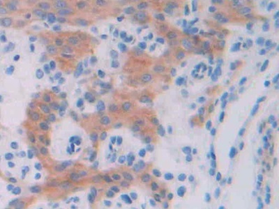
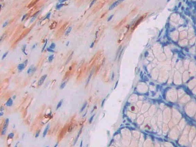
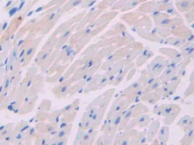
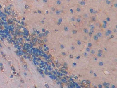
| Валидировано для | IHC Иммуногистохимия |
| Рекомендуемые разведения | WB: 0.2-2 мкг/мл; 1:250-2500; IHC: 5-20 мкг/мл; 1:25-100; ICC: 5-20 мкг/мл; 1:25-100; Оптимальное разведение определяется конечным потребителем |
| Метод очистки | Антигенспецифическая аффинная хроматография с последующей аффинной хроматографией с белком А |
| Состав буфера | 0.01M PBS, pH7.4, 0.05% Proclin-300, 50% глицерин |
| Условия доставки | термобокс с аккумуляторами холода |
| Условия хранения | Сразу после получения аликвотировать и хранить при -20ºС до 24 месяцев. Для частого использования хранить при +4ºС не более 2 недель. Избегать повторения циклов замерзания/оттаивания |
| Срок хранения | 24 месяца |
| Производитель | Cloud-Clone Corp. |
| Ссылка на страницу товара на сайте производителя | http://www.cloud-clone.com/products/PAH833Mu01.html |
|
Артикул
|
Наименование |
Производитель
|
|---|
|
Артикул
|
Наименование |
Производитель
|
|---|
|
Артикул
|
Наименование |
Производитель
|
|---|
|
Артикул
|
Наименование |
Производитель
|
|---|
Акции и предложения
Популярные продукты:
Anti-Interleukin 7 (IL7) Monoclonal Antibody (FAA662Hu04)
Источник (хозяин): мышь
Реактивность подтвержденная: человек
Валидировано для: FCM
Реактивность подтвержденная: человек
Валидировано для: FCM
Canine UMP CMP kinase(CMPK1) ELISA kit (E08U0036)
Организм: собака
Chicken Cartilage matrix protein ELISA kit (E12C0070)
Организм: курица
Human cytochrome c 1 (CYC1) ELISA kit (E01C2214)
Организм: человек
Bovine Optineurin ELISA kit (E11O0025)
Организм: корова

