| UNIPROT | P01876 |
| Иммуноген | NPE778Hu01-Native Immunoglobulin A1 (IgA1) |
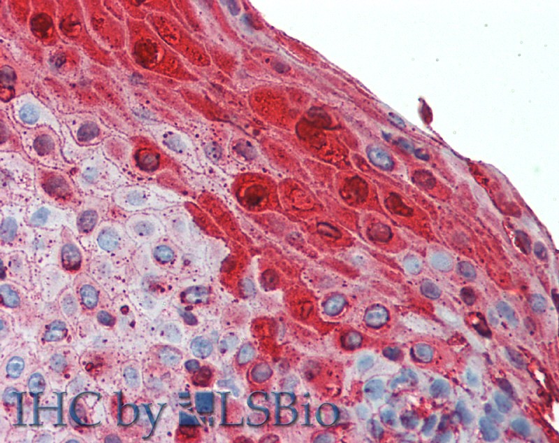
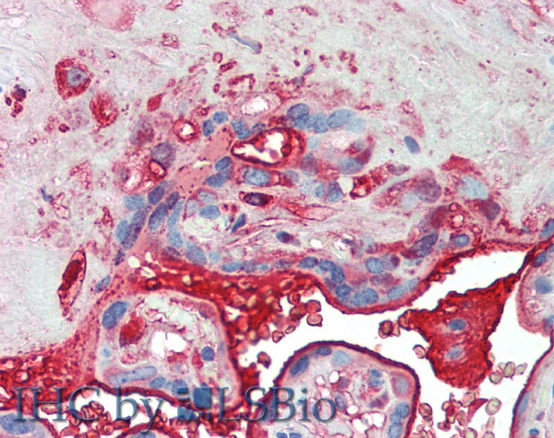
Polyclonal Antibody to Immunoglobulin A1 (IgA1) (PAE778Hu05)
Реактивность подтвержденная:
человек
Источник (хозяин):
кролик
Валидировано для:
IHC
WB
Характеристики
Техническое описание
| Русское название | PAE778Hu05 Поликлональное антитело к IgA1 (человек) <Cloud-Clone,Китай> |
| Каталожный номер | PAE778Hu05 |
| Название антигена | Immunoglobulin A1 (IgA1) |
| UNIPROT | P01876 |
| Иммуноген | NPE778Hu01-Native Immunoglobulin A1 (IgA1) |
| Английские синонимы | IGHA1, Immunoglobulin heavy constant alpha 1, Ig alpha-1 chain C region |
Реактивность подтвержденная Нужна другая реактивность? |
человек |
| Реактивность предсказываемая | свинья |
| Источник (хозяин) | кролик |
| Клональность | поликлональное |
| Рекомбинантное | нет |
| Готовое к использованию | нет |
| Концентрация | 500 мкг/мл |
| Конъюгат | По запросу: HRP, biotin, PerCP, PE, Cy3, FITC, Cy7, Cy5.5, PE-Cy5, PE-Cy7, PerCp-Cy5.5, APC, Cy5, PE-Cy3, PE-Cy5.5, APC-Cy7, Biotin-APC, FITC-Biotin, TRITC, APC-Cy5, AF488, AF594, AF405, AF555, AF700, AF647, AF750 |
| Валидировано для | IHC WB Иммуногистохимия; Вестерн-блоттинг |
| Рекомендуемые разведения | WB: 0.5-2 мкг/мл; IHC: 5-20 мкг/мл; ICC: 5-20 мкг/мл; Оптимальное разведение определяется конечным потребителем |
| Метод очистки | Антигенспецифическая аффинная хроматография с последующей аффинной хроматографией с белком А |
| Состав буфера | PBS, pH7.4, 0.02% NaN3, 50% глицерин |
| Условия доставки | термобокс с аккумуляторами холода |
| Условия хранения | Сразу после получения аликвотировать и хранить при -20ºС до 24 месяцев. Для частого использования хранить при +4ºС не более 2 недель. Избегать повторения циклов замерзания/оттаивания |
| Срок хранения | 24 месяца |
| Производитель | Cloud-Clone Corp. |
| Ссылка на страницу товара на сайте производителя | http://www.cloud-clone.com/products/PAE778Hu05.html |
|
Артикул
|
Наименование |
Производитель
|
|---|
|
Артикул
|
Наименование |
Производитель
|
|---|
|
Артикул
|
Наименование |
Производитель
|
|---|
|
Артикул
|
Наименование |
Производитель
|
|---|
Акции и предложения
Популярные продукты:
Polyclonal Antibody to Hypoxia Inducible Factor 1 Alpha (HIF1a) (PAA798Ga01)
Источник (хозяин): кролик
Реактивность подтвержденная: курица
Валидировано для: ICC, IHC, WB
Реактивность подтвержденная: курица
Валидировано для: ICC, IHC, WB
Anti-Coactosin Like Protein 1 (COTL1) Polyclonal Antibody (FAJ353Hu01)
Источник (хозяин): кролик
Реактивность подтвержденная: человек
Валидировано для: FCM
Реактивность подтвержденная: человек
Валидировано для: FCM
Monoclonal Antibody to Karyopherin Alpha 2 (KPNa2) (MAE748Hu28)
Источник (хозяин): мышь
Реактивность подтвержденная: человек
Валидировано для: ICC, IF
Реактивность подтвержденная: человек
Валидировано для: ICC, IF
Monoclonal Antibody to Sialic Acid Binding Ig Like Lectin 2 (CD22) (MAB144Hu28)
Источник (хозяин): мышь
Реактивность подтвержденная: человек
Валидировано для: WB
Реактивность подтвержденная: человек
Валидировано для: WB
Monoclonal Antibody to Sialic Acid Binding Ig Like Lectin 2 (CD22) (MAB144Hu26)
Источник (хозяин): мышь
Реактивность подтвержденная: человек
Валидировано для: WB
Реактивность подтвержденная: человек
Валидировано для: WB
Monoclonal Antibody to Motility Related Protein (MRP1) (MAB097Hu27)
Источник (хозяин): мышь
Реактивность подтвержденная: человек
Валидировано для: WB
Реактивность подтвержденная: человек
Валидировано для: WB

