| Иммуноген | NPA546Hu01-Native Immunoglobulin A (IgA) |
Polyclonal Antibody to Immunoglobulin A (IgA) (PAA546Hu05)
Реактивность подтвержденная:
человек
Источник (хозяин):
кролик
Валидировано для:
IHC
WB
Характеристики
Техническое описание
| Русское название | PAA546Hu05 Поликлональное антитело к IgA (человек) <Cloud-Clone,Китай> |
| Каталожный номер | PAA546Hu05 |
| Название антигена | Immunoglobulin A (IgA) |
| Иммуноген | NPA546Hu01-Native Immunoglobulin A (IgA) |
Реактивность подтвержденная Нужна другая реактивность? |
человек |
| Источник (хозяин) | кролик |
| Клональность | поликлональное |
| Рекомбинантное | нет |
| Готовое к использованию | нет |
| Концентрация | 500 мкг/мл |
| Конъюгат | По запросу: HRP, biotin, PerCP, PE, Cy3, FITC, Cy7, Cy5.5, PE-Cy5, PE-Cy7, PerCp-Cy5.5, APC, Cy5, PE-Cy3, PE-Cy5.5, APC-Cy7, Biotin-APC, FITC-Biotin, TRITC, APC-Cy5, AF488, AF594, AF405, AF555, AF700, AF647, AF750 |
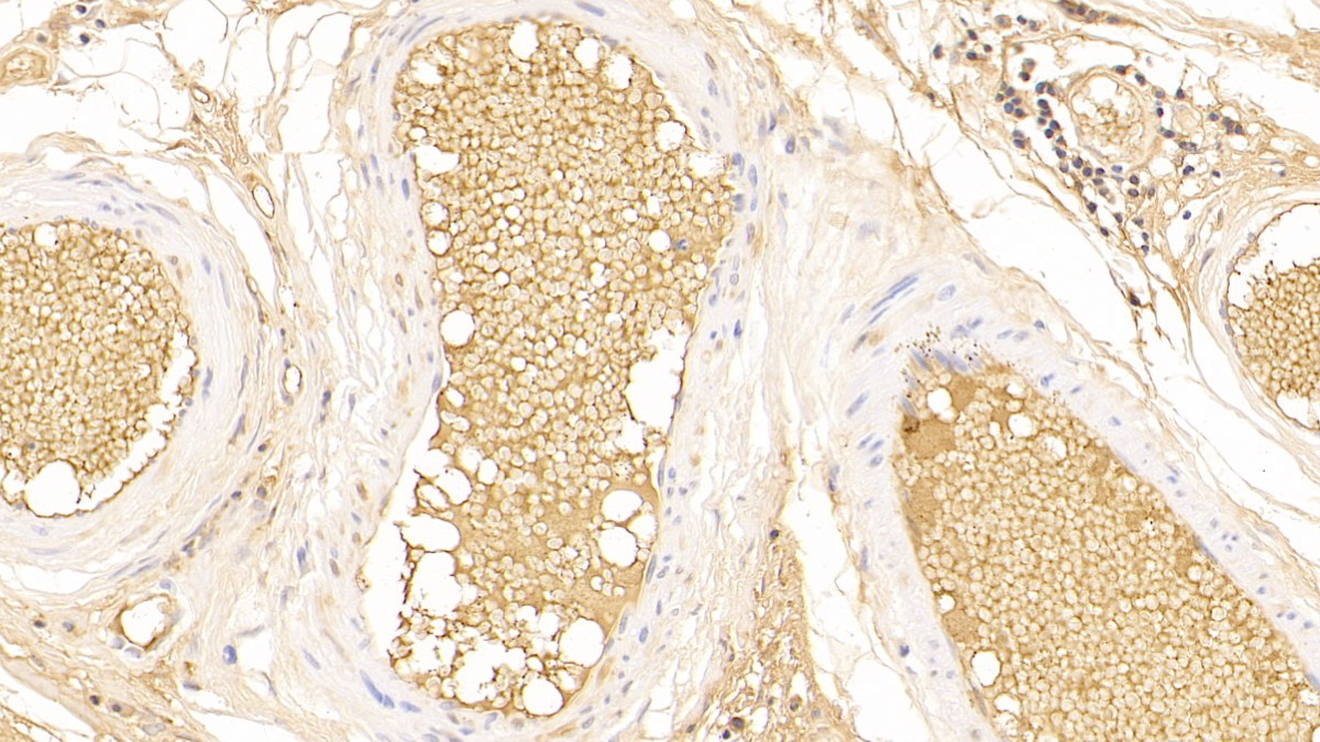
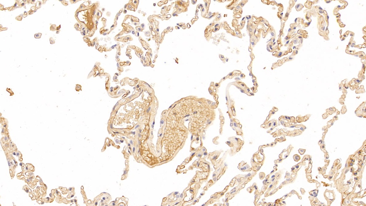
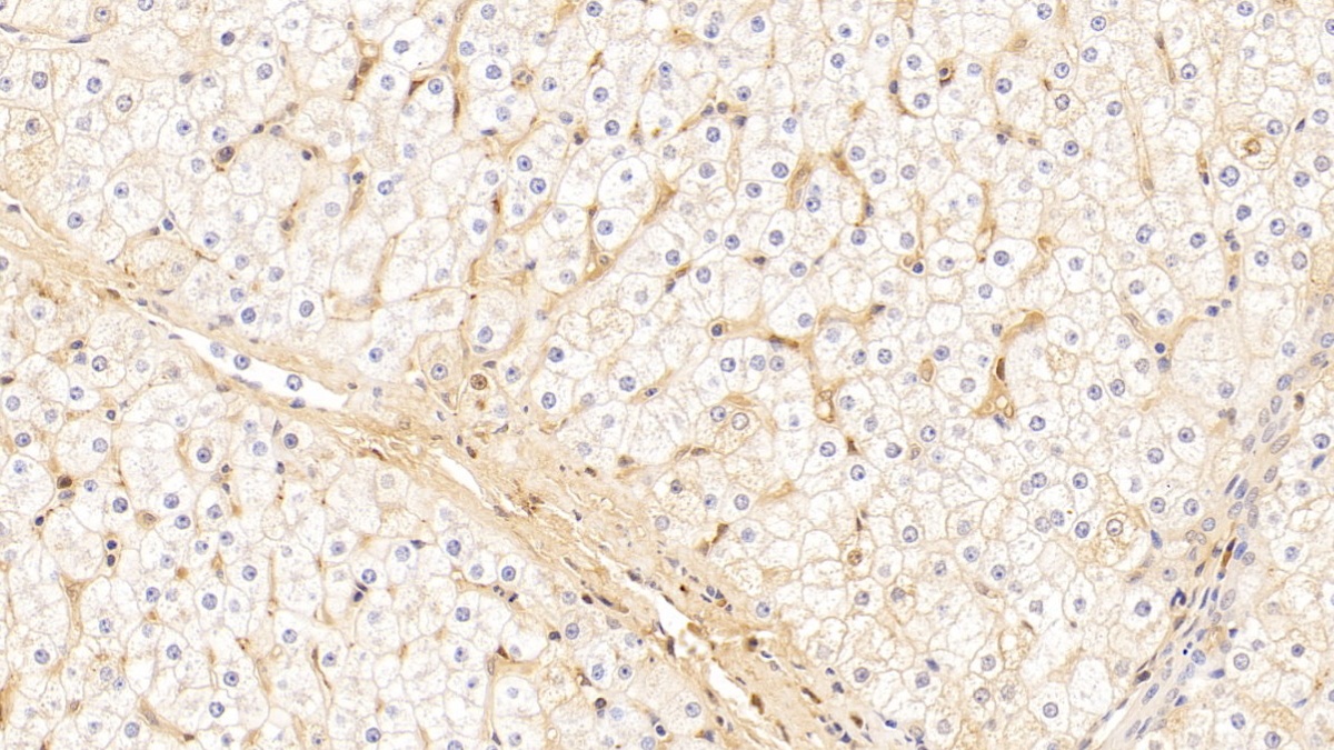
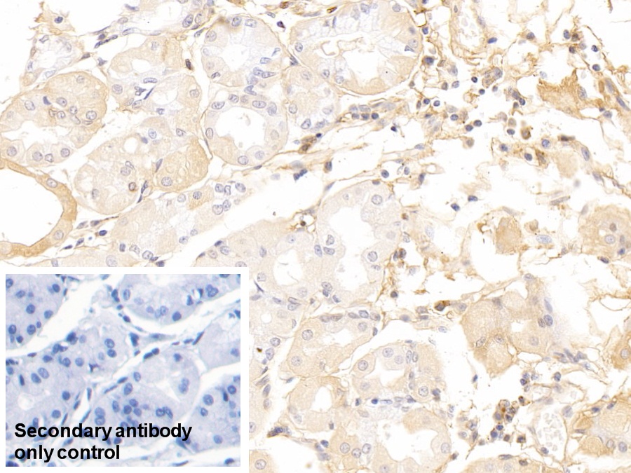
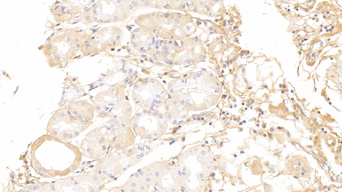
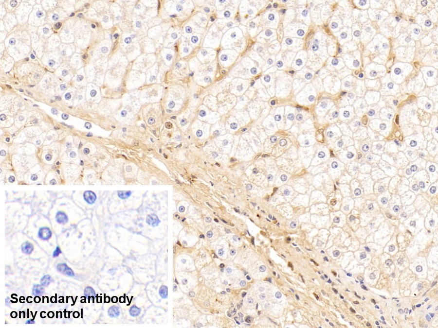
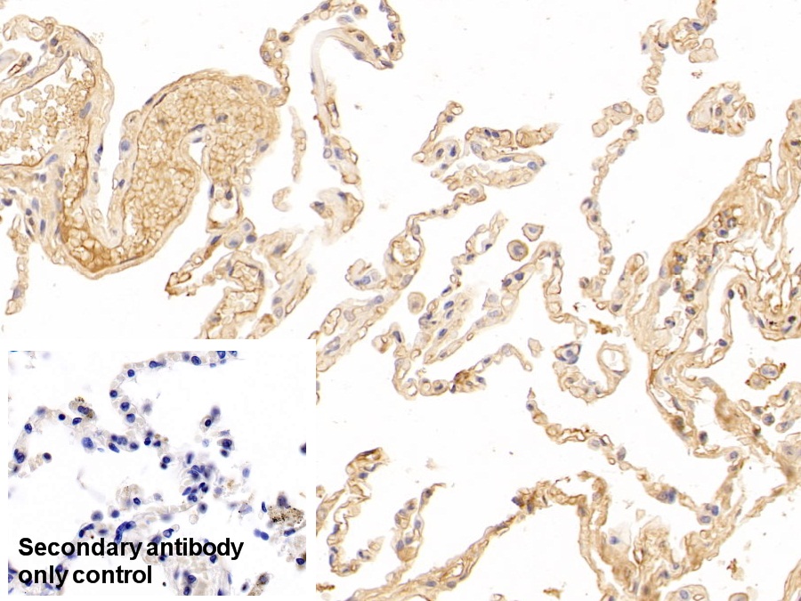
| Валидировано для | IHC WB Иммуногистохимия; Вестерн-блоттинг |
| Рекомендуемые разведения | WB: 0.5-2 мкг/мл; IHC: 5-20 мкг/мл; ICC: 5-20 мкг/мл; Оптимальное разведение определяется конечным потребителем |
| Метод очистки | Антигенспецифическая аффинная хроматография с последующей аффинной хроматографией с белком А |
| Состав буфера | 0.01M PBS, pH7.4, 0.05% Proclin-300, 50% глицерин |
| Условия доставки | термобокс с аккумуляторами холода |
| Условия хранения | Сразу после получения аликвотировать и хранить при -20ºС до 24 месяцев. Для частого использования хранить при +4ºС не более 2 недель. Избегать повторения циклов замерзания/оттаивания |
| Срок хранения | 24 месяца |
| Производитель | Cloud-Clone Corp. |
| Ссылка на страницу товара на сайте производителя | http://www.cloud-clone.com/products/PAA546Hu05.html |
|
Артикул
|
Наименование |
Производитель
|
|---|
|
Артикул
|
Наименование |
Производитель
|
|---|
|
Артикул
|
Наименование |
Производитель
|
|---|
|
Артикул
|
Наименование |
Производитель
|
|---|
|
Артикул
|
Наименование |
Производитель
|
|---|
|
Артикул
|
Наименование |
Производитель
|
|---|
|
Артикул
|
Наименование |
Производитель
|
|---|
Акции и предложения
Популярные продукты:
Guinea Pig Methylglyoxal ELISA kit (E05M0040)
Организм: морская свинка
Anti-Phospho-RIPK3 (pS227) Antibody (SAA0297) (RHJ88703)
Источник (хозяин): мышь
Реактивность подтвержденная: человек
Валидировано для: IHC, IP, WB
Реактивность подтвержденная: человек
Валидировано для: IHC, IP, WB
Anti-Human IFNAR2 Antibody (SAA1733) (RHE59001)
Источник (хозяин): мышь
Реактивность подтвержденная: человек
Валидировано для: ELISA
Реактивность подтвержденная: человек
Валидировано для: ELISA
Recombinant Human HBEGF Protein, N-His (YHJ42901)
Источник (хозяин): E.coli
Организм: человек
Фрагмент: Val21-Thr160
Теги: N-His
Биоактивность: нет
Организм: человек
Фрагмент: Val21-Thr160
Теги: N-His
Биоактивность: нет

