| UNIPROT | P01861 |
| Иммуноген | RPA234Hu01-Recombinant Immunoglobulin G4 (IgG4) |
Polyclonal Antibody to Immunoglobulin G4 (IgG4) (PAA234Hu02)
Реактивность подтвержденная:
человек
Источник (хозяин):
кролик
Валидировано для:
IHC
WB
Характеристики
Техническое описание
| Русское название | PAA234Hu02 Поликлональное антитело к IgG4 (человек) <Cloud-Clone,Китай> |
| Каталожный номер | PAA234Hu02 |
| Название антигена | Immunoglobulin G4 (IgG4) |
| UNIPROT | P01861 |
| Иммуноген | RPA234Hu01-Recombinant Immunoglobulin G4 (IgG4) |
| Английские синонимы | IGHG4, Ig Gamma-4 Chain C Region, Immunoglobulin Heavy Constant Gamma 4, G4m Marker, Immunoglobulin Gm4, Ig G4 |
Реактивность подтвержденная Нужна другая реактивность? |
человек |
| Реактивность предсказываемая | мышь, свинья |
| Источник (хозяин) | кролик |
| Клональность | поликлональное |
| Рекомбинантное | нет |
| Готовое к использованию | нет |
| Концентрация | 0.5 мг/мл |
| Конъюгат | По запросу: HRP, biotin, PerCP, PE, Cy3, FITC, Cy7, Cy5.5, PE-Cy5, PE-Cy7, PerCp-Cy5.5, APC, Cy5, PE-Cy3, PE-Cy5.5, APC-Cy7, Biotin-APC, FITC-Biotin, TRITC, APC-Cy5, AF488, AF594, AF405, AF555, AF700, AF647, AF750 |
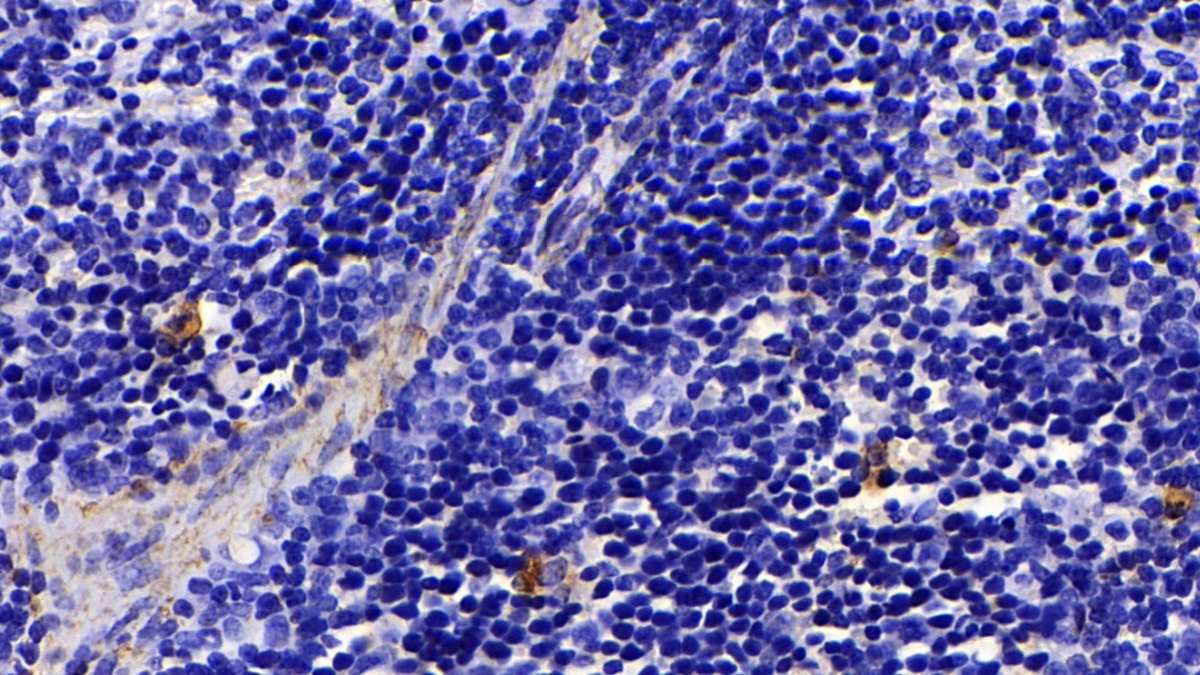
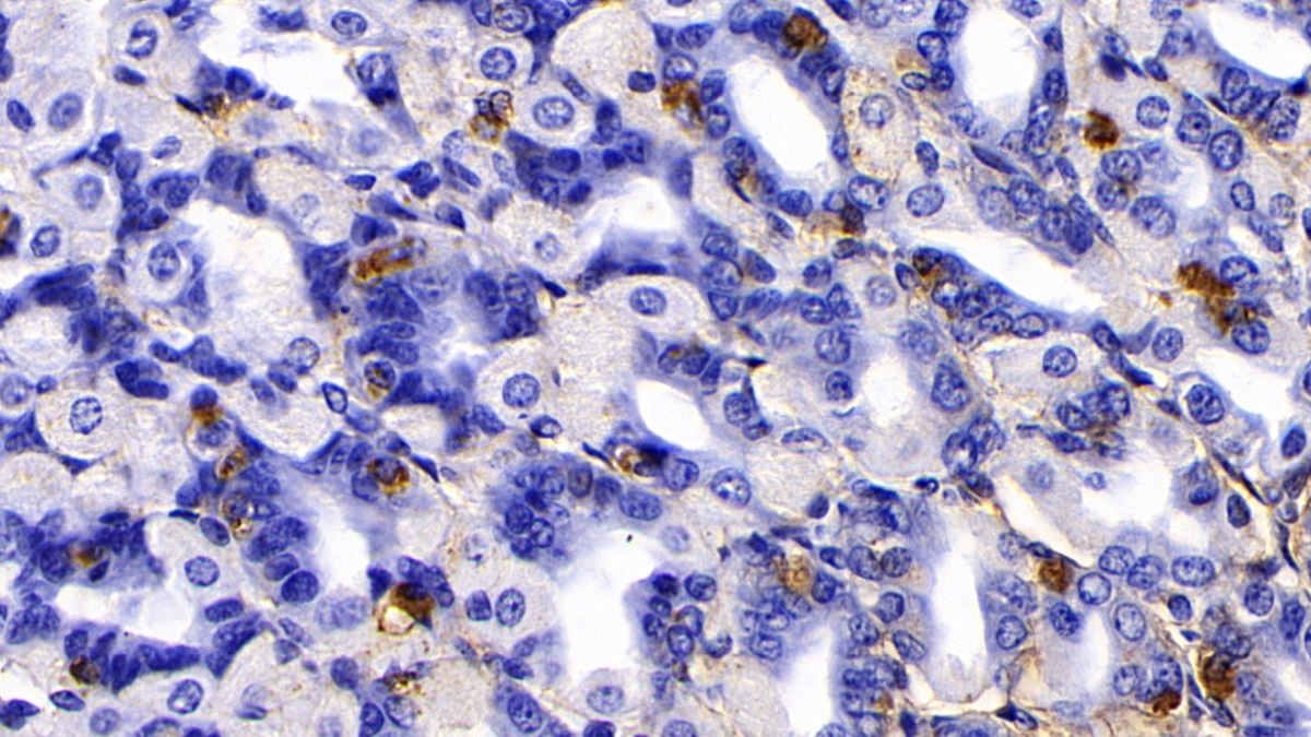
| Валидировано для | IHC WB Иммуногистохимия; Вестерн-блоттинг |
| Рекомендуемые разведения | WB: 0.01-2 мкг/мл; IHC: 5-20 мкг/мл; ICC: 5-20 мкг/мл; Оптимальное разведение определяется конечным потребителем |
| Метод очистки | Антигенспецифическая аффинная хроматография с последующей аффинной хроматографией с белком А |
| Состав буфера | 0.01M PBS, pH7.4, 0.05% Proclin-300, 50% глицерин |
| Условия доставки | термобокс с аккумуляторами холода |
| Условия хранения | Сразу после получения аликвотировать и хранить при -20ºС до 24 месяцев. Для частого использования хранить при +4ºС не более 2 недель. Избегать повторения циклов замерзания/оттаивания |
| Срок хранения | 24 месяца |
| Производитель | Cloud-Clone Corp. |
| Ссылка на страницу товара на сайте производителя | http://www.cloud-clone.com/products/PAA234Hu02.html |
|
Артикул
|
Наименование |
Производитель
|
|---|
|
Артикул
|
Наименование |
Производитель
|
|---|
Акции и предложения
Популярные продукты:
Mouse Cathepsin D ELISA kit (E03C0651)
Организм: мышь
Anti-CD37 Polyclonal Antibody (PHC85101)
Источник (хозяин): кролик
Реактивность подтвержденная: человек, мышь
Валидировано для: ELISA, IHC, WB
Реактивность подтвержденная: человек, мышь
Валидировано для: ELISA, IHC, WB
Recombinant Mouse MASP1 Protein, N-His (YME61101)
Источник (хозяин): E.coli
Организм: мышь
Фрагмент: Val440-Asn704
Теги: N-His
Биоактивность: нет
Организм: мышь
Фрагмент: Val440-Asn704
Теги: N-His
Биоактивность: нет
Polyclonal Antibody to Immunoglobulin G4 (IgG4) (PAA234Hu02)
Источник (хозяин): кролик
Реактивность подтвержденная: человек
Валидировано для: IHC, WB
Реактивность подтвержденная: человек
Валидировано для: IHC, WB
Recombinant Natriuretic Peptide Precursor B (NPPB) (RPA503Mu02)
Источник (хозяин): E.coli
Организм: мышь
Фрагмент: Tyr27-Leu121
Теги: N-концевые His-Tag и GST-Tag
Биоактивность: нет
Организм: мышь
Фрагмент: Tyr27-Leu121
Теги: N-концевые His-Tag и GST-Tag
Биоактивность: нет

