| Иммуноген | NPA544Rb01-Native Immunoglobulin G (IgG) |
Polyclonal Antibody to Immunoglobulin G (IgG) (PAA544Rb51)
Реактивность подтвержденная:
кролик
Источник (хозяин):
морская свинка
Валидировано для:
IHC
WB
Характеристики
Техническое описание
| Русское название | PAA544Rb51 Поликлональное антитело к IgG (кролик) <Cloud-Clone,Китай> |
| Каталожный номер | PAA544Rb51 |
| Название антигена | Immunoglobulin G (IgG) |
| Иммуноген | NPA544Rb01-Native Immunoglobulin G (IgG) |
| Английские синонимы | Ig G |
Реактивность подтвержденная Нужна другая реактивность? |
кролик |
| Источник (хозяин) | морская свинка |
| Клональность | поликлональное |
| Рекомбинантное | нет |
| Готовое к использованию | нет |
| Концентрация | 0.32 мг/мл |
| Конъюгат | По запросу: HRP, biotin, PerCP, PE, Cy3, FITC, Cy7, Cy5.5, PE-Cy5, PE-Cy7, PerCp-Cy5.5, APC, Cy5, PE-Cy3, PE-Cy5.5, APC-Cy7, Biotin-APC, FITC-Biotin, TRITC, APC-Cy5, AF488, AF594, AF405, AF555, AF700, AF647, AF750 |
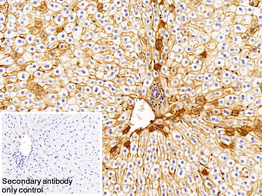
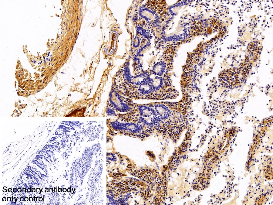
| Валидировано для | IHC WB Иммуногистохимия; Вестерн-блоттинг |
| Рекомендуемые разведения | WB: 0.5-2 мкг/мл; IHC: 5-20 мкг/мл; ICC: 5-20 мкг/мл; Оптимальное разведение определяется конечным потребителем |
| Метод очистки | Антигенспецифическая аффинная хроматография с последующей аффинной хроматографией с белком А |
| Состав буфера | 0.01M PBS, pH7.4, 0.05% Proclin-300, 50% глицерин |
| Условия доставки | термобокс с аккумуляторами холода |
| Условия хранения | Сразу после получения аликвотировать и хранить при -20ºС до 24 месяцев. Для частого использования хранить при +4ºС не более 2 недель. Избегать повторения циклов замерзания/оттаивания |
| Срок хранения | 24 месяца |
| Производитель | Cloud-Clone Corp. |
| Ссылка на страницу товара на сайте производителя | http://www.cloud-clone.com/products/PAA544Rb51.html |
|
Артикул
|
Наименование |
Производитель
|
|---|
|
Артикул
|
Наименование |
Производитель
|
|---|
|
Артикул
|
Наименование |
Производитель
|
|---|
|
Артикул
|
Наименование |
Производитель
|
|---|
|
Артикул
|
Наименование |
Производитель
|
|---|
|
Артикул
|
Наименование |
Производитель
|
|---|
|
Артикул
|
Наименование |
Производитель
|
|---|
|
Артикул
|
Наименование |
Производитель
|
|---|
|
Артикул
|
Наименование |
Производитель
|
|---|
|
Артикул
|
Наименование |
Производитель
|
|---|
|
Артикул
|
Наименование |
Производитель
|
|---|
|
Артикул
|
Наименование |
Производитель
|
|---|
|
Артикул
|
Наименование |
Производитель
|
|---|
Акции и предложения
Популярные продукты:
Mouse Arylsulfatase K(ARSK) ELISA kit (E03A1692)
Организм: мышь
Human Arylsulfatase K(ARSK) ELISA kit (E01A1692)
Организм: человек
Диапазон определения: 5-100 нг/мл
Чувствительность: 1 нг/мл
Диапазон определения: 5-100 нг/мл
Чувствительность: 1 нг/мл
Monkey Succinate receptor 1 ELISA kit (E09S0856)
Организм: обезьяна
Chicken claudin 14,CLDN14 ELISA kit (E12C0969)
Организм: курица
Hamster Adenosine ELISA kit (E18A4158)
Организм: хомяк
Goat Immunoglobulin G ELISA kit (E06I0058)
Организм: коза
Диапазон определения: 2.5-50 мг/мл
Чувствительность: 0.1 мг/мл
Диапазон определения: 2.5-50 мг/мл
Чувствительность: 0.1 мг/мл

