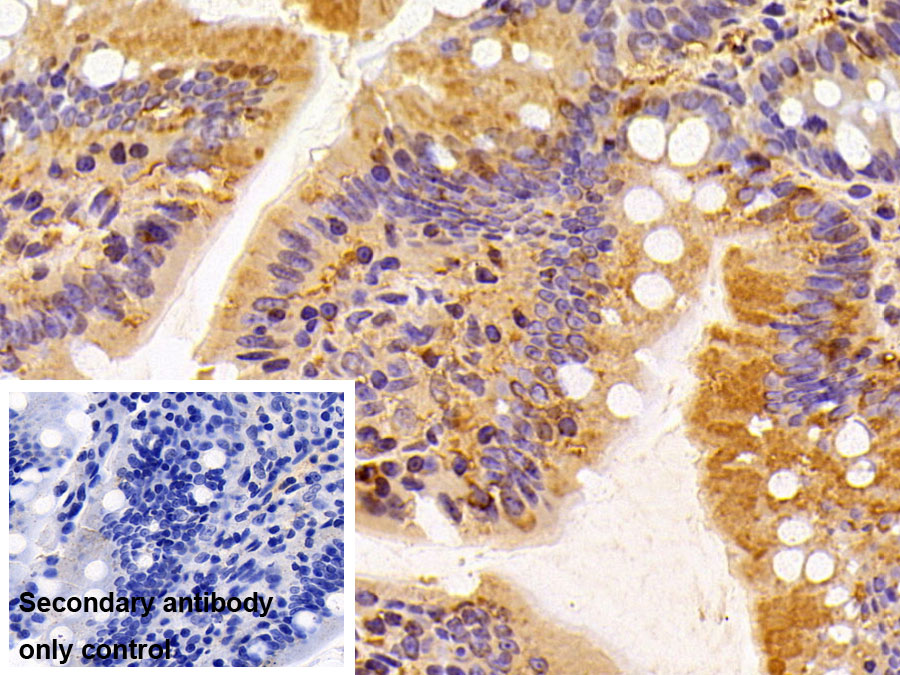
Polyclonal Antibody to Insulin Degrading Enzyme (IDE) (PAB897Mu02)
Реактивность подтвержденная:
мышь
Источник (хозяин):
кролик
Валидировано для:
IHC
WB
Характеристики
Техническое описание
| Русское название | PAB897Mu02 Поликлональное антитело к IDE (мышь) <Cloud-Clone,Китай> |
| Каталожный номер | PAB897Mu02 |
| Название антигена | Insulin Degrading Enzyme (IDE) |
| Иммуноген | RPB897Hu01-Recombinant Insulin Degrading Enzyme (IDE) |
| Английские синонимы | Insulysin, Insulin Protease, Abeta-degrading protease, Insulinase |
Реактивность подтвержденная Нужна другая реактивность? |
мышь |
| Источник (хозяин) | кролик |
| Клональность | поликлональное |
| Рекомбинантное | нет |
| Готовое к использованию | нет |
| Концентрация | 500 мкг/мл |
| Конъюгат | По запросу: HRP, biotin, PerCP, PE, Cy3, FITC, Cy7, Cy5.5, PE-Cy5, PE-Cy7, PerCp-Cy5.5, APC, Cy5, PE-Cy3, PE-Cy5.5, APC-Cy7, Biotin-APC, FITC-Biotin, TRITC, APC-Cy5, AF488, AF594, AF405, AF555, AF700, AF647, AF750 |
| Валидировано для | IHC WB Иммуногистохимия; Вестерн-блоттинг |
| Рекомендуемые разведения | WB: 0.5-2 мкг/мл; IHC: 5-20 мкг/мл; ICC: 5-20 мкг/мл Оптимальное разведение определяется конечным потребителем |
| Метод очистки | Антигенспецифическая аффинная хроматография с последующей аффинной хроматографией с белком А |
| Состав буфера | 0.01M PBS, pH7.4, 0.05% Proclin-300, 50% глицерин |
| Условия доставки | термобокс с аккумуляторами холода |
| Условия хранения | Сразу после получения аликвотировать и хранить при -20ºС до 24 месяцев. Для частого использования хранить при +4ºС не более 2 недель. Избегать повторения циклов замерзания/оттаивания |
| Срок хранения | 24 месяца |
| Производитель | Cloud-Clone Corp. |
| Ссылка на страницу товара на сайте производителя | http://www.cloud-clone.com/products/PAB897Mu02.html |
|
Артикул
|
Наименование |
Производитель
|
|---|
|
Артикул
|
Наименование |
Производитель
|
|---|
|
Артикул
|
Наименование |
Производитель
|
|---|
|
Артикул
|
Наименование |
Производитель
|
|---|
Акции и предложения
Популярные продукты:
Multiplex Assay Kit for Hepcidin (Hepc) (LMB979Bo)
Организм: корова
Диапазон определения: 1.95-2000 пг/мл
Чувствительность: 0.65 пг/мл
Диапазон определения: 1.95-2000 пг/мл
Чувствительность: 0.65 пг/мл
ELISA Kit DIY Materials for Fibroblast Growth Factor 6 (FGF6) (KSA035Hu01)
Организм: человек
Диапазон определения: 7.8-500 пг/мл
Чувствительность: 3.0 пг/мл
Диапазон определения: 7.8-500 пг/мл
Чувствительность: 3.0 пг/мл
Polyclonal Antibody to Bone Marrow Stromal Cell Antigen 2 (BST2) (PAB777Hu06)
Источник (хозяин): кролик
Реактивность подтвержденная: человек
Валидировано для: IHC
Реактивность подтвержденная: человек
Валидировано для: IHC
Polyclonal Antibody to Cluster Of Differentiation 147 (CD147) (PAB540Ra06)
Источник (хозяин): кролик
Реактивность подтвержденная: крыса
Валидировано для: IHC, WB
Реактивность подтвержденная: крыса
Валидировано для: IHC, WB
Chicken Cyclin A ELISA kit (E12C0075)
Организм: курица
Bovine Cyclin A ELISA kit (E11C0075)
Организм: корова

