| UNIPROT | Q62469 |
| Иммуноген | RPB228Mu01-Recombinant Integrin Alpha 2 (ITGa2) |
Polyclonal Antibody to Integrin Alpha 2 (ITGa2) (PAB228Mu01)
Реактивность подтвержденная:
мышь
Источник (хозяин):
кролик
Валидировано для:
IHC
WB
Характеристики
Техническое описание
| Русское название | PAB228Mu01 Поликлональное антитело к ITGa2 (мышь) <Cloud-Clone,Китай> |
| Каталожный номер | PAB228Mu01 |
| Название антигена | Integrin Alpha 2 (ITGa2) |
| UNIPROT | Q62469 |
| Иммуноген | RPB228Mu01-Recombinant Integrin Alpha 2 (ITGa2) |
| Английские синонимы | CD49b, CD 49b, CD-49b, BR, GPIa, VLA-2, VLAA2, Platelet membrane glycoprotein Ia, Alpha 2 Subunit Of VLA-2 Receptor, Very Late Activation Proteins 2 Receptor, Collagen receptor, VLA-2 alpha |
| Русские синонимы | α2, CD49b |
Реактивность подтвержденная Нужна другая реактивность? |
мышь |
| Реактивность предсказываемая | крыса |
| Источник (хозяин) | кролик |
| Клональность | поликлональное |
| Рекомбинантное | нет |
| Готовое к использованию | нет |
| Концентрация | 0.5 мг/мл |
| Конъюгат | По запросу: HRP, biotin, PerCP, PE, Cy3, FITC, Cy7, Cy5.5, PE-Cy5, PE-Cy7, PerCp-Cy5.5, APC, Cy5, PE-Cy3, PE-Cy5.5, APC-Cy7, Biotin-APC, FITC-Biotin, TRITC, APC-Cy5, AF488, AF594, AF405, AF555, AF700, AF647, AF750 |
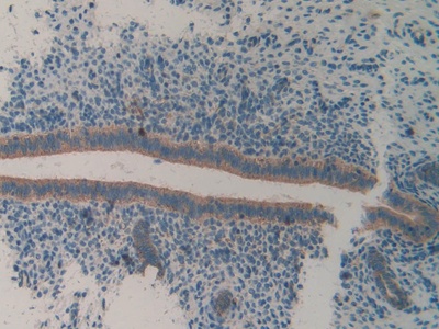
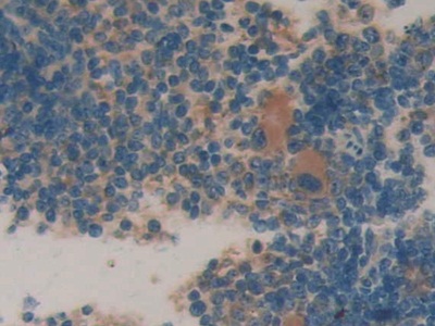
| Валидировано для | IHC WB Иммуногистохимия; Вестерн-блоттинг |
| Рекомендуемые разведения | WB: 0.5-2 мкг/мл; IHC: 5-20 мкг/мл; ICC: 5-20 мкг/мл; Оптимальное разведение определяется конечным потребителем |
| Метод очистки | Антигенспецифическая аффинная хроматография с последующей аффинной хроматографией с белком А |
| Состав буфера | PBS, pH7.4, 0.02% NaN3, 50% глицерин |
| Условия доставки | термобокс с аккумуляторами холода |
| Условия хранения | Сразу после получения аликвотировать и хранить при -20ºС до 24 месяцев. Для частого использования хранить при +4ºС не более 2 недель. Избегать повторения циклов замерзания/оттаивания |
| Срок хранения | 24 месяца |
| Производитель | Cloud-Clone Corp. |
| Ссылка на страницу товара на сайте производителя | http://www.cloud-clone.com/products/PAB228Mu01.html |
|
Артикул
|
Наименование |
Производитель
|
|---|
|
Артикул
|
Наименование |
Производитель
|
|---|
|
Артикул
|
Наименование |
Производитель
|
|---|
|
Артикул
|
Наименование |
Производитель
|
|---|
|
Артикул
|
Наименование |
Производитель
|
|---|
|
Артикул
|
Наименование |
Производитель
|
|---|
|
Артикул
|
Наименование |
Производитель
|
|---|
Акции и предложения
Популярные продукты:
Polyclonal Antibody to Insulin (INS) (PAA448Rb51)
Источник (хозяин): морская свинка
Реактивность подтвержденная: кролик
Валидировано для: ICC, IHC, WB
Реактивность подтвержденная: кролик
Валидировано для: ICC, IHC, WB
ELISA Kit DIY Materials for Interleukin 7 (IL7) (KSA662Ra01)
Организм: крыса
Диапазон определения: 15.6-1000 пг/мл
Чувствительность: 5.5 пг/мл
Диапазон определения: 15.6-1000 пг/мл
Чувствительность: 5.5 пг/мл
Monoclonal Antibody to Inhibitory Subunit Of NF Kappa B Epsilon (IkBe) (MAE700Hu26)
Источник (хозяин): мышь
Реактивность подтвержденная: человек
Валидировано для: WB
Реактивность подтвержденная: человек
Валидировано для: WB
ELISA Kit for Transcription Factor P65 (NFKB3) (SEA616Ra)
Организм: крыса
Диапазон определения: 0.156-10 нг/мл
Чувствительность: 171.4 пг/мл
Диапазон определения: 0.156-10 нг/мл
Чувствительность: 171.4 пг/мл

