| UNIPROT | Q62470 |
| Иммуноген | RPB289Mu01-Recombinant Integrin Alpha 3 (ITGa3) |
Polyclonal Antibody to Integrin Alpha 3 (ITGa3) (PAB289Mu01)
Реактивность подтвержденная:
мышь
Источник (хозяин):
кролик
Валидировано для:
IHC
WB
Характеристики
Техническое описание
| Русское название | PAB289Mu01 Поликлональное антитело к ITGa3 (мышь) <Cloud-Clone,Китай> |
| Каталожный номер | PAB289Mu01 |
| Название антигена | Integrin Alpha 3 (ITGa3) |
| UNIPROT | Q62470 |
| Иммуноген | RPB289Mu01-Recombinant Integrin Alpha 3 (ITGa3) |
| Английские синонимы | CD49c, CD49-C, CD 49c, CD-49c, ITG-A3, GAP-B3, GAPB3, MSK18, VCA-2, VL3A, VLA3a, FRP-2, Galactoprotein B3, Alpha 3 Subunit Of VLA-3 Receptor, CD49 antigen-like family member C |
| Русские синонимы | α3, CD49с |
Реактивность подтвержденная Нужна другая реактивность? |
мышь |
| Реактивность предсказываемая | человек, крыса |
| Источник (хозяин) | кролик |
| Клональность | поликлональное |
| Рекомбинантное | нет |
| Готовое к использованию | нет |
| Концентрация | 500 мкг/мл |
| Конъюгат | По запросу: HRP, biotin, PerCP, PE, Cy3, FITC, Cy7, Cy5.5, PE-Cy5, PE-Cy7, PerCp-Cy5.5, APC, Cy5, PE-Cy3, PE-Cy5.5, APC-Cy7, Biotin-APC, FITC-Biotin, TRITC, APC-Cy5, AF488, AF594, AF405, AF555, AF700, AF647, AF750 |
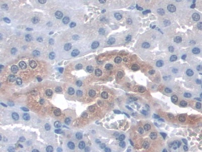
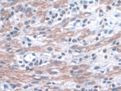
| Валидировано для | IHC WB Иммуногистохимия; Вестерн-блоттинг |
| Рекомендуемые разведения | WB: 0.5-2 мкг/мл; IHC: 5-20 мкг/мл; ICC: 5-20 мкг/мл; Оптимальное разведение определяется конечным потребителем |
| Метод очистки | Антигенспецифическая аффинная хроматография с последующей аффинной хроматографией с белком А |
| Состав буфера | 0.01M PBS, pH7.4, 0.05% Proclin-300, 50% глицерин |
| Условия доставки | термобокс с аккумуляторами холода |
| Условия хранения | Сразу после получения аликвотировать и хранить при -20ºС до 24 месяцев. Для частого использования хранить при +4ºС не более 2 недель. Избегать повторения циклов замерзания/оттаивания |
| Срок хранения | 24 месяца |
| Производитель | Cloud-Clone Corp. |
| Ссылка на страницу товара на сайте производителя | http://www.cloud-clone.com/products/PAB289Mu01.html |
|
Артикул
|
Наименование |
Производитель
|
|---|
|
Артикул
|
Наименование |
Производитель
|
|---|
|
Артикул
|
Наименование |
Производитель
|
|---|
|
Артикул
|
Наименование |
Производитель
|
|---|
Акции и предложения
Популярные продукты:
Anti-CD29/ITGB1 Antibody (AIIB2), FITC (FHC17631)
Источник (хозяин): мышь
Реактивность подтвержденная: человек, мышь
Валидировано для: ELISA, FCM, IF, WB
Реактивность подтвержденная: человек, мышь
Валидировано для: ELISA, FCM, IF, WB
Anti-CD29/ITGB1 Antibody (AIIB2), APC (FHC17632)
Источник (хозяин): мышь
Реактивность подтвержденная: человек, мышь
Валидировано для: ELISA, FCM, IF, WB
Реактивность подтвержденная: человек, мышь
Валидировано для: ELISA, FCM, IF, WB
Anti-CD29/ITGB1 Antibody (AIIB2) (FHC17630)
Источник (хозяин): мышь
Реактивность подтвержденная: человек, мышь
Валидировано для: ELISA, FCM, FuncS, ICC, IF, IHC, IP, WB
Реактивность подтвержденная: человек, мышь
Валидировано для: ELISA, FCM, FuncS, ICC, IF, IHC, IP, WB
Multiplex Assay Kit for Meteorin (METRN) (LMH662Hu)
Организм: человек
Диапазон определения: 0.01-10 нг/мл
Чувствительность: 0.003 нг/мл
Диапазон определения: 0.01-10 нг/мл
Чувствительность: 0.003 нг/мл

