| UNIPROT | B8JK39 |
| Иммуноген | RPC095Mu01-Recombinant Integrin Alpha 9 (ITGa9) |
Polyclonal Antibody to Integrin Alpha 9 (ITGa9) (PAC095Mu01)
Реактивность подтвержденная:
мышь
Источник (хозяин):
кролик
Валидировано для:
IHC
WB
Характеристики
Техническое описание
| Русское название | PAC095Mu01 Поликлональное антитело к ITGa9 (мышь) <Cloud-Clone,Китай> |
| Каталожный номер | PAC095Mu01 |
| Название антигена | Integrin Alpha 9 (ITGa9) |
| UNIPROT | B8JK39 |
| Иммуноген | RPC095Mu01-Recombinant Integrin Alpha 9 (ITGa9) |
| Английские синонимы | ITG-A9, Alpha-RLC, ITGA4L, RLC |
| Русские синонимы | α9 |
Реактивность подтвержденная Нужна другая реактивность? |
мышь |
| Реактивность предсказываемая | крыса |
| Источник (хозяин) | кролик |
| Клональность | поликлональное |
| Рекомбинантное | нет |
| Готовое к использованию | нет |
| Концентрация | 500 мкг/мл |
| Конъюгат | По запросу: HRP, biotin, PerCP, PE, Cy3, FITC, Cy7, Cy5.5, PE-Cy5, PE-Cy7, PerCp-Cy5.5, APC, Cy5, PE-Cy3, PE-Cy5.5, APC-Cy7, Biotin-APC, FITC-Biotin, TRITC, APC-Cy5, AF488, AF594, AF405, AF555, AF700, AF647, AF750 |
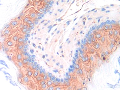
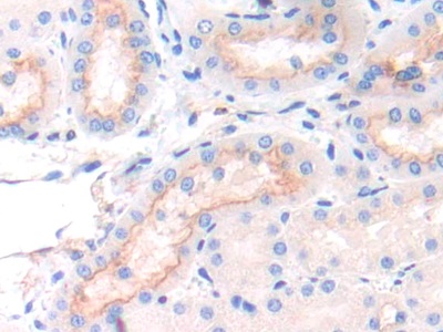
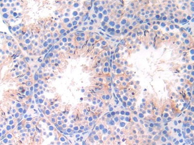
| Валидировано для | IHC WB Иммуногистохимия; Вестерн-блоттинг |
| Рекомендуемые разведения | WB: 0.2-2 мкг/мл; 1:250-2500; IHC: 5-20 мкг/мл; 1:25-100; ICC: 5-20 мкг/мл; 1:25-100; Оптимальное разведение определяется конечным потребителем |
| Метод очистки | Антигенспецифическая аффинная хроматография с последующей аффинной хроматографией с белком А |
| Состав буфера | 0.01M PBS, pH7.4, 0.05% Proclin-300, 50% глицерин |
| Условия доставки | термобокс с аккумуляторами холода |
| Условия хранения | Сразу после получения аликвотировать и хранить при -20ºС до 24 месяцев. Для частого использования хранить при +4ºС не более 2 недель. Избегать повторения циклов замерзания/оттаивания |
| Срок хранения | 24 месяца |
| Производитель | Cloud-Clone Corp. |
| Ссылка на страницу товара на сайте производителя | http://www.cloud-clone.com/products/PAC095Mu01.html |
|
Артикул
|
Наименование |
Производитель
|
|---|
|
Артикул
|
Наименование |
Производитель
|
|---|
|
Артикул
|
Наименование |
Производитель
|
|---|
Акции и предложения
Популярные продукты:
Rabbit Sulfite oxidase, mitochondrial(SUOX) ELISA kit (E04S0425)
Организм: кролик
Bovine Adenosine receptor A2a(ADORA2A) ELISA kit (E11A1280)
Организм: корова
Canine Endothelin 3(EDN3) ELISA kit (E08E0367)
Организм: собака
Porcine Actinin Alpha 3 ELISA kit (E07A0383)
Организм: свинья
Anti-Human CD321/F11R/JAM-A Antibody (SAA1942) (RHJ90501)
Источник (хозяин): мышь
Реактивность подтвержденная: человек
Валидировано для: ELISA
Реактивность подтвержденная: человек
Валидировано для: ELISA
Anti-Human ITGA9 Antibody (SAA1586) (RHG65101)
Источник (хозяин): мышь
Реактивность подтвержденная: человек
Валидировано для: ELISA
Реактивность подтвержденная: человек
Валидировано для: ELISA

