| UNIPROT | O54890 |
| Иммуноген | RPB262Mu01-Recombinant Integrin Beta 3 (ITGb3) |
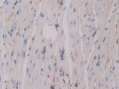
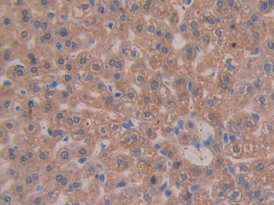
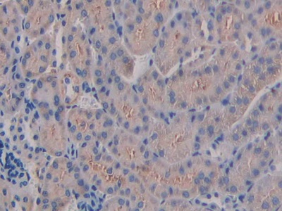
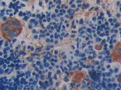
Polyclonal Antibody to Integrin Beta 3 (ITGb3) (PAB262Mu01)
Реактивность подтвержденная:
мышь
Источник (хозяин):
кролик
Валидировано для:
IHC
WB
Характеристики
Техническое описание
| Русское название | PAB262Mu01 Поликлональное антитело к ITGb3 (мышь) <Cloud-Clone,Китай> |
| Каталожный номер | PAB262Mu01 |
| Название антигена | Integrin Beta 3 (ITGb3) |
| UNIPROT | O54890 |
| Иммуноген | RPB262Mu01-Recombinant Integrin Beta 3 (ITGb3) |
| Английские синонимы | CD61, CD 61, CD-61, ITG-B3, GP3A, GP3-A, GpIIIa, Platelet Membrane Glycoprotein IIIa |
| Русские синонимы | Кластер дифференцировки 61 |
Реактивность подтвержденная Нужна другая реактивность? |
мышь |
| Реактивность предсказываемая | человек, крыса |
| Источник (хозяин) | кролик |
| Клональность | поликлональное |
| Рекомбинантное | нет |
| Готовое к использованию | нет |
| Концентрация | 0.5 мг/мл |
| Конъюгат | По запросу: HRP, biotin, PerCP, PE, Cy3, FITC, Cy7, Cy5.5, PE-Cy5, PE-Cy7, PerCp-Cy5.5, APC, Cy5, PE-Cy3, PE-Cy5.5, APC-Cy7, Biotin-APC, FITC-Biotin, TRITC, APC-Cy5, AF488, AF594, AF405, AF555, AF700, AF647, AF750 |
| Валидировано для | IHC WB Иммуногистохимия; Вестерн-блоттинг |
| Рекомендуемые разведения | WB: 0.01-2 мкг/мл; IHC: 5-20 мкг/мл; ICC: 5-20 мкг/мл; Оптимальное разведение определяется конечным потребителем |
| Метод очистки | Антигенспецифическая аффинная хроматография с последующей аффинной хроматографией с белком А |
| Состав буфера | PBS, pH7.4, 0.02% NaN3, 50% глицерин |
| Условия доставки | термобокс с аккумуляторами холода |
| Условия хранения | Сразу после получения аликвотировать и хранить при -20ºС до 24 месяцев. Для частого использования хранить при +4ºС не более 2 недель. Избегать повторения циклов замерзания/оттаивания |
| Срок хранения | 24 месяца |
| Производитель | Cloud-Clone Corp. |
| Ссылка на страницу товара на сайте производителя | http://www.cloud-clone.com/products/PAB262Mu01.html |
|
Артикул
|
Наименование |
Производитель
|
|---|
|
Артикул
|
Наименование |
Производитель
|
|---|
|
Артикул
|
Наименование |
Производитель
|
|---|
|
Артикул
|
Наименование |
Производитель
|
|---|
Акции и предложения
Популярные продукты:
Anti-Coagulation Factor IX (F9) Monoclonal Antibody (FAA840Hu02)
Источник (хозяин): мышь
Реактивность подтвержденная: человек
Валидировано для: FCM
Реактивность подтвержденная: человек
Валидировано для: FCM
Rat Insulin-Degrading Enzyme (IDE) ELISA Kit (E02I0332)
Организм: крыса
Anti-CD61/ITGB3 Polyclonal Antibody (PHC13001)
Источник (хозяин): кролик
Реактивность подтвержденная: человек, мышь, крыса
Валидировано для: ELISA, IHC, WB
Реактивность подтвержденная: человек, мышь, крыса
Валидировано для: ELISA, IHC, WB
Anti-Human PGF/PlGF Antibody (SAA0478) (RHE70201)
Источник (хозяин): мышь
Реактивность подтвержденная: человек
Валидировано для: ELISA, WB
Реактивность подтвержденная: человек
Валидировано для: ELISA, WB
Recombinant Human PGF/PlGF/PLGF Protein, N-His (YHE70202)
Источник (хозяин): E.coli
Организм: человек
Фрагмент: Leu19-Arg149
Теги: N-His
Биоактивность: нет
Организм: человек
Фрагмент: Leu19-Arg149
Теги: N-His
Биоактивность: нет
Recombinant Human PGF/PlGF Protein, N-His (YHE70201)
Источник (хозяин): E.coli
Организм: человек
Фрагмент: Leu19-Arg131
Теги: N-His
Биоактивность: нет
Организм: человек
Фрагмент: Leu19-Arg131
Теги: N-His
Биоактивность: нет

