| UNIPROT | P01563 |
| Иммуноген | RPA179Hu01-Recombinant Interferon Alpha 2 (IFNa2) |
Polyclonal Antibody to Interferon Alpha 2 (IFNa2) (PAA179Hu01)
Реактивность подтвержденная:
человек
Источник (хозяин):
кролик
Валидировано для:
IHC
Характеристики
Техническое описание
| Русское название | PAA179Hu01 Поликлональное антитело к IFNa2 (человек) <Cloud-Clone,Китай> |
| Каталожный номер | PAA179Hu01 |
| Название антигена | Interferon Alpha 2 (IFNa2) |
| UNIPROT | P01563 |
| Иммуноген | RPA179Hu01-Recombinant Interferon Alpha 2 (IFNa2) |
| Английские синонимы | IFNA2A, IFNA2B, IFNA2C, LeIF A, Alpha-2a Interferon, Interferon Alpha 2b, Interferon Alpha A |
Реактивность подтвержденная Нужна другая реактивность? |
человек |
| Реактивность предсказываемая | крыса |
| Источник (хозяин) | кролик |
| Клональность | поликлональное |
| Рекомбинантное | нет |
| Готовое к использованию | нет |
| Концентрация | 0.5 мг/мл |
| Конъюгат | По запросу: HRP, biotin, PerCP, PE, Cy3, FITC, Cy7, Cy5.5, PE-Cy5, PE-Cy7, PerCp-Cy5.5, APC, Cy5, PE-Cy3, PE-Cy5.5, APC-Cy7, Biotin-APC, FITC-Biotin, TRITC, APC-Cy5, AF488, AF594, AF405, AF555, AF700, AF647, AF750 |
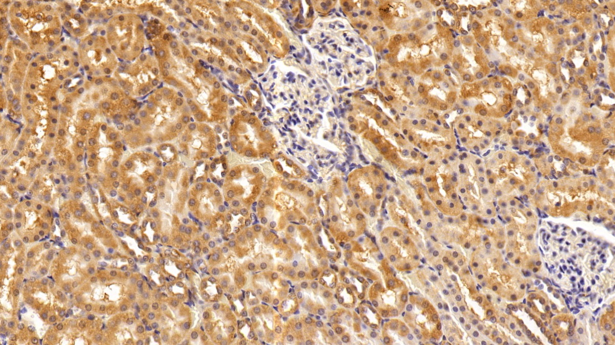
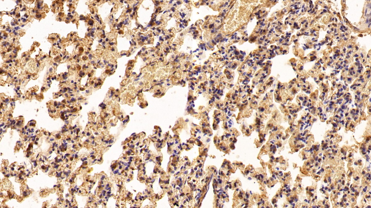
| Валидировано для | IHC Иммуногистохимия |
| Рекомендуемые разведения | WB: 0.5-2 мкг/мл; IHC: 5-20 мкг/мл; ICC: 5-20 мкг/мл; Оптимальное разведение определяется конечным потребителем |
| Метод очистки | Антигенспецифическая аффинная хроматография с последующей аффинной хроматографией с белком А |
| Состав буфера | PBS, pH7.4, 0.02% NaN3, 50% глицерин |
| Условия доставки | термобокс с аккумуляторами холода |
| Условия хранения | Сразу после получения аликвотировать и хранить при -20ºС до 24 месяцев. Для частого использования хранить при +4ºС не более 2 недель. Избегать повторения циклов замерзания/оттаивания |
| Срок хранения | 24 месяца |
| Производитель | Cloud-Clone Corp. |
| Ссылка на страницу товара на сайте производителя | http://www.cloud-clone.com/products/PAA179Hu01.html |
|
Артикул
|
Наименование |
Производитель
|
|---|
|
Артикул
|
Наименование |
Производитель
|
|---|
Акции и предложения
Популярные продукты:
Anti-Crk Like Protein (CRKL) Polyclonal Antibody (FAG766Hu01)
Источник (хозяин): кролик
Реактивность подтвержденная: человек
Валидировано для: FCM
Реактивность подтвержденная: человек
Валидировано для: FCM
Mouse Anti Filaggrin Antibody ELISA kit (E03A0428)
Организм: мышь
Rabbit Methylcytosine Dioxygenase TET1 ELISA Kit (E04T0868)
Организм: кролик
Mouse Argininosuccinate lyase(ASL) ELISA kit (E03A1722)
Организм: мышь
Monkey BR serine/threonine protein kinase 2(BRSK2) ELISA kit (E09B0850)
Организм: обезьяна
Human Vesicle Associated Membrane Protein 3 ELISA kit (E01V0413)
Организм: человек
Чувствительность: 10 нг/мл
Чувствительность: 10 нг/мл

