| UNIPROT | P01567 |
| Иммуноген | RPG973Hu01-Recombinant Interferon Alpha 7 (IFNa7) |
Polyclonal Antibody to Interferon Alpha 7 (IFNa7) (PAG973Hu01)
Реактивность подтвержденная:
человек
Источник (хозяин):
кролик
Валидировано для:
ICC
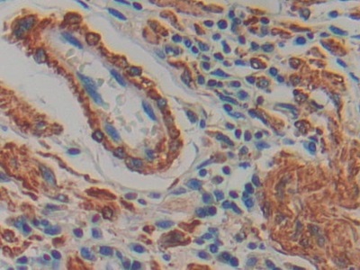
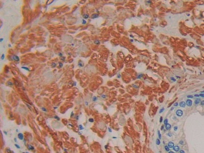
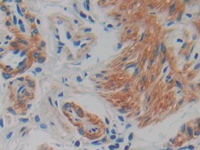
IHC
WB
Характеристики
Техническое описание
| Русское название | PAG973Hu01 Поликлональное антитело к IFNa7 (человек) <Cloud-Clone,Китай> |
| Каталожный номер | PAG973Hu01 |
| Название антигена | Interferon Alpha 7 (IFNa7) |
| UNIPROT | P01567 |
| Иммуноген | RPG973Hu01-Recombinant Interferon Alpha 7 (IFNa7) |
| Английские синонимы | IFNA-J, LeIF J, Interferon alpha-J |
Реактивность подтвержденная Нужна другая реактивность? |
человек |
| Источник (хозяин) | кролик |
| Клональность | поликлональное |
| Рекомбинантное | нет |
| Готовое к использованию | нет |
| Концентрация | 500 мкг/мл |
| Конъюгат | По запросу: HRP, biotin, PerCP, PE, Cy3, FITC, Cy7, Cy5.5, PE-Cy5, PE-Cy7, PerCp-Cy5.5, APC, Cy5, PE-Cy3, PE-Cy5.5, APC-Cy7, Biotin-APC, FITC-Biotin, TRITC, APC-Cy5, AF488, AF594, AF405, AF555, AF700, AF647, AF750 |
| Валидировано для | ICC IHC WB Иммуноцитохимия; Иммуногистохимия; Вестерн-блоттинг |
| Рекомендуемые разведения | WB: 0.2-2 мкг/мл; 1:250-2500; IHC: 5-20 мкг/мл; 1:25-100; ICC: 5-20 мкг/мл; 1:25-100; Оптимальное разведение определяется конечным потребителем |
| Метод очистки | Антигенспецифическая аффинная хроматография с последующей аффинной хроматографией с белком А |
| Состав буфера | 0.01M PBS, pH7.4, 0.05% Proclin-300, 50% глицерин |
| Условия доставки | термобокс с аккумуляторами холода |
| Условия хранения | Сразу после получения аликвотировать и хранить при -20ºС до 24 месяцев. Для частого использования хранить при +4ºС не более 2 недель. Избегать повторения циклов замерзания/оттаивания |
| Срок хранения | 24 месяца |
| Производитель | Cloud-Clone Corp. |
| Ссылка на страницу товара на сайте производителя | http://www.cloud-clone.com/products/PAG973Hu01.html |
|
Артикул
|
Наименование |
Производитель
|
|---|
|
Артикул
|
Наименование |
Производитель
|
|---|
Акции и предложения
Популярные продукты:
Bovine AMP deaminase 3(AMPD3) ELISA kit (E11A1430)
Организм: корова
Sheep Nucleoporin 214kDa ELISA kit (E14N0056)
Организм: овца
Goat Nucleoporin 214kDa ELISA kit (E06N0056)
Организм: коза
Canine Epinephrine/Adrenaline ELISA kit (E08A0007)
Организм: собака

