| UNIPROT | P29459 |
| Иммуноген | RPA059Hu01-Recombinant Interleukin 12A (IL12A) |
Polyclonal Antibody to Interleukin 12A (IL12A) (PAA059Hu01)
Реактивность подтвержденная:
человек
Источник (хозяин):
кролик
Валидировано для:
IHC
Характеристики
Техническое описание
| Русское название | PAA059Hu01 Поликлональное антитело к IL12A (человек) <Cloud-Clone,Китай> |
| Каталожный номер | PAA059Hu01 |
| Название антигена | Interleukin 12A (IL12A) |
| UNIPROT | P29459 |
| Иммуноген | RPA059Hu01-Recombinant Interleukin 12A (IL12A) |
| Английские синонимы | p35, IL12-A, CLMF1, NFSK, NKSF1, Natural Killer Cell Stimulatory Factor 1, Cytotoxic Lymphocyte Maturation Factor 1, NF Cell Stimulatory Factor Chain 1, IL-12A |
| Русские синонимы | ИЛ12-А, ИЛ-12А, ИЛ12А |
Реактивность подтвержденная Нужна другая реактивность? |
человек |
| Источник (хозяин) | кролик |
| Клональность | поликлональное |
| Рекомбинантное | нет |
| Готовое к использованию | нет |
| Концентрация | 0.5 мг/мл |
| Конъюгат | По запросу: HRP, biotin, PerCP, PE, Cy3, FITC, Cy7, Cy5.5, PE-Cy5, PE-Cy7, PerCp-Cy5.5, APC, Cy5, PE-Cy3, PE-Cy5.5, APC-Cy7, Biotin-APC, FITC-Biotin, TRITC, APC-Cy5, AF488, AF594, AF405, AF555, AF700, AF647, AF750 |
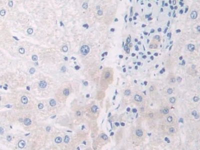
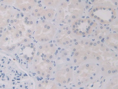
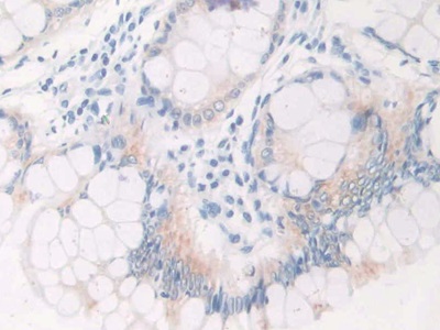
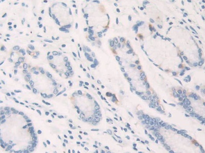
| Валидировано для | IHC Иммуногистохимия |
| Рекомендуемые разведения | WB: 0.5-3 мкг/мл; IHC: 5-30 мкг/мл; ICC: 5-30 мкг/мл; Оптимальное разведение определяется конечным потребителем |
| Метод очистки | Антигенспецифическая аффинная хроматография с последующей аффинной хроматографией с белком А |
| Состав буфера | PBS, pH7.4, 0.02% NaN3, 50% глицерин |
| Условия доставки | термобокс с аккумуляторами холода |
| Условия хранения | Сразу после получения аликвотировать и хранить при -20ºС до 24 месяцев. Для частого использования хранить при +4ºС не более 2 недель. Избегать повторения циклов замерзания/оттаивания |
| Срок хранения | 24 месяца |
| Производитель | Cloud-Clone Corp. |
| Ссылка на страницу товара на сайте производителя | http://www.cloud-clone.com/products/PAA059Hu01.html |
|
Артикул
|
Наименование |
Производитель
|
|---|
|
Артикул
|
Наименование |
Производитель
|
|---|
|
Артикул
|
Наименование |
Производитель
|
|---|
|
Артикул
|
Наименование |
Производитель
|
|---|
|
Артикул
|
Наименование |
Производитель
|
|---|
|
Артикул
|
Наименование |
Производитель
|
|---|
|
Артикул
|
Наименование |
Производитель
|
|---|
|
Артикул
|
Наименование |
Производитель
|
|---|
|
Артикул
|
Наименование |
Производитель
|
|---|
|
Артикул
|
Наименование |
Производитель
|
|---|
Акции и предложения
Популярные продукты:
Anti-Chorionic Gonadotropin Alpha Polypeptide (CGa) Monoclonal Antibody (FAB612Hu06)
Источник (хозяин): мышь
Реактивность подтвержденная: человек
Валидировано для: FCM
Реактивность подтвержденная: человек
Валидировано для: FCM
Porcine Dynein light chain 4, axonemal(DNAL4) ELISA kit (E07D0289)
Организм: свинья
Canine Protein TBRG4(TBRG4) ELISA kit (E08P0896)
Организм: собака
Mouse Tubulin, gamma 1 ELISA kit (E03T0948)
Организм: мышь
Recombinant Mouse CRP/C-Reactive protein (His tag) (PDMM100036)
Источник (хозяин): HEK293
Организм: мышь
Фрагмент: Met 1-Ser 225
Теги: C-His
Биоактивность: нет
Организм: мышь
Фрагмент: Met 1-Ser 225
Теги: C-His
Биоактивность: нет

