| UNIPROT | Q29053 |
| Иммуноген | RPA059Po01-Recombinant Interleukin 12A (IL12A) |
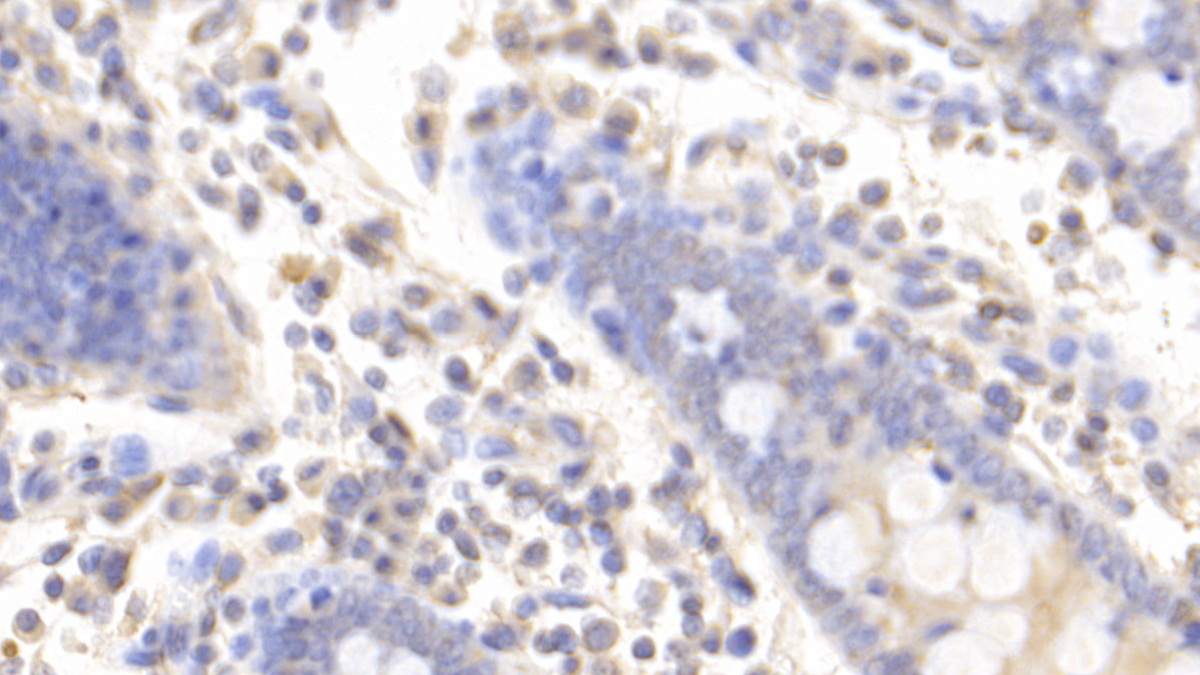
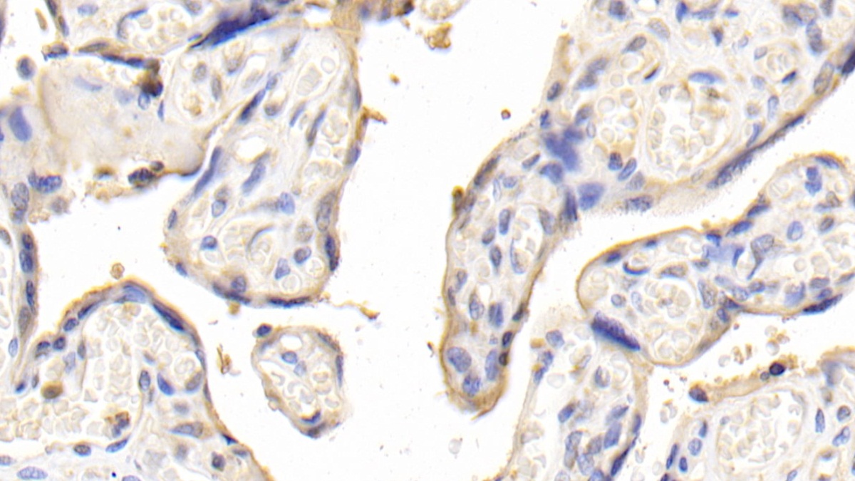
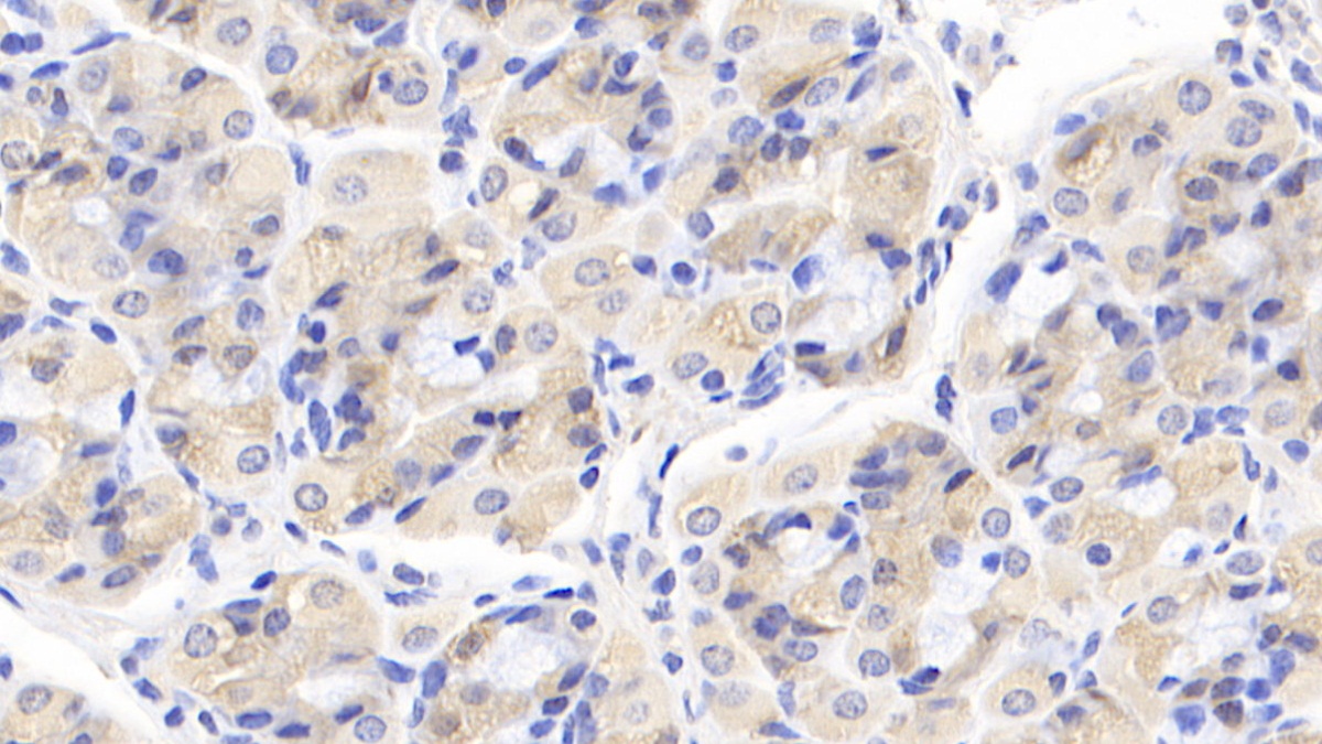
Polyclonal Antibody to Interleukin 12A (IL12A) (PAA059Po01)
Реактивность подтвержденная:
свинья
Источник (хозяин):
кролик
Валидировано для:
IHC
Характеристики
Техническое описание
| Русское название | PAA059Po01 Поликлональное антитело к IL12A (свинья) <Cloud-Clone,Китай> |
| Каталожный номер | PAA059Po01 |
| Название антигена | Interleukin 12A (IL12A) |
| UNIPROT | Q29053 |
| Иммуноген | RPA059Po01-Recombinant Interleukin 12A (IL12A) |
| Английские синонимы | p35, IL12-A, CLMF1, NFSK, NKSF1, Natural Killer Cell Stimulatory Factor 1, Cytotoxic Lymphocyte Maturation Factor 1, NF Cell Stimulatory Factor Chain 1, IL-12A |
| Русские синонимы | ИЛ12-А, ИЛ-12А, ИЛ12А |
Реактивность подтвержденная Нужна другая реактивность? |
свинья |
| Реактивность предсказываемая | человек |
| Источник (хозяин) | кролик |
| Клональность | поликлональное |
| Рекомбинантное | нет |
| Готовое к использованию | нет |
| Концентрация | 500 мкг/мл |
| Конъюгат | По запросу: HRP, biotin, PerCP, PE, Cy3, FITC, Cy7, Cy5.5, PE-Cy5, PE-Cy7, PerCp-Cy5.5, APC, Cy5, PE-Cy3, PE-Cy5.5, APC-Cy7, Biotin-APC, FITC-Biotin, TRITC, APC-Cy5, AF488, AF594, AF405, AF555, AF700, AF647, AF750 |
| Валидировано для | IHC Иммуногистохимия |
| Рекомендуемые разведения | WB: 0.2-2 мкг/мл; 1:250-2500; IHC: 5-20 мкг/мл; 1:25-100; ICC: 5-20 мкг/мл; 1:25-100; Оптимальное разведение определяется конечным потребителем |
| Метод очистки | Антигенспецифическая аффинная хроматография с последующей аффинной хроматографией с белком А |
| Состав буфера | 0.01M PBS, pH7.4, 0.05% Proclin-300, 50% глицерин |
| Условия доставки | термобокс с аккумуляторами холода |
| Условия хранения | Сразу после получения аликвотировать и хранить при -20ºС до 24 месяцев. Для частого использования хранить при +4ºС не более 2 недель. Избегать повторения циклов замерзания/оттаивания |
| Срок хранения | 24 месяца |
| Производитель | Cloud-Clone Corp. |
| Ссылка на страницу товара на сайте производителя | http://www.cloud-clone.com/products/PAA059Po01.html |
|
Артикул
|
Наименование |
Производитель
|
|---|
|
Артикул
|
Наименование |
Производитель
|
|---|
|
Артикул
|
Наименование |
Производитель
|
|---|
|
Артикул
|
Наименование |
Производитель
|
|---|
|
Артикул
|
Наименование |
Производитель
|
|---|
|
Артикул
|
Наименование |
Производитель
|
|---|
|
Артикул
|
Наименование |
Производитель
|
|---|
|
Артикул
|
Наименование |
Производитель
|
|---|
|
Артикул
|
Наименование |
Производитель
|
|---|
|
Артикул
|
Наименование |
Производитель
|
|---|
Акции и предложения
Популярные продукты:
Bovine Nuclear factor Kb p65 ELISA kit (E11N0021)
Организм: корова
MUSK Polyclonal Antibody (E-AB-10909)
Источник (хозяин): кролик
Реактивность подтвержденная: человек, мышь, крыса
Валидировано для: IHC
Реактивность подтвержденная: человек, мышь, крыса
Валидировано для: IHC
CERK Polyclonal Antibody (E-AB-10955)
Источник (хозяин): кролик
Реактивность подтвержденная: человек, мышь
Валидировано для: IHC
Реактивность подтвержденная: человек, мышь
Валидировано для: IHC
Canine Amidophosphoribosyltransferase(PPAT) ELISA kit (E08A1945)
Организм: собака

