| UNIPROT | P46282 |
| Иммуноген | RPA058Bo01-Recombinant Interleukin 12B (IL12B) |
Polyclonal Antibody to Interleukin 12B (IL12B) (PAA058Bo01)
Реактивность подтвержденная:
корова
Источник (хозяин):
кролик
Валидировано для:
IHC
Характеристики
Техническое описание
| Русское название | PAA058Bo01 Поликлональное антитело к IL12B (корова) <Cloud-Clone,Китай> |
| Каталожный номер | PAA058Bo01 |
| Название антигена | Interleukin 12B (IL12B) |
| UNIPROT | P46282 |
| Иммуноген | RPA058Bo01-Recombinant Interleukin 12B (IL12B) |
| Английские синонимы | p40, IL12-B, CLMF2, NKSF2, Natural Killer Cell Stimulatory Factor 2, Cytotoxic Lymphocyte Maturation Factor 2, Interleukin 23, P40 Subunit, IL-12B |
| Русские синонимы | ИЛ-12Б, ИЛ12Б, ИЛ12-Б |
Реактивность подтвержденная Нужна другая реактивность? |
корова |
| Источник (хозяин) | кролик |
| Клональность | поликлональное |
| Рекомбинантное | нет |
| Готовое к использованию | нет |
| Концентрация | 500 мкг/мл |
| Конъюгат | По запросу: HRP, biotin, PerCP, PE, Cy3, FITC, Cy7, Cy5.5, PE-Cy5, PE-Cy7, PerCp-Cy5.5, APC, Cy5, PE-Cy3, PE-Cy5.5, APC-Cy7, Biotin-APC, FITC-Biotin, TRITC, APC-Cy5, AF488, AF594, AF405, AF555, AF700, AF647, AF750 |
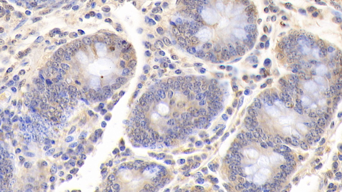
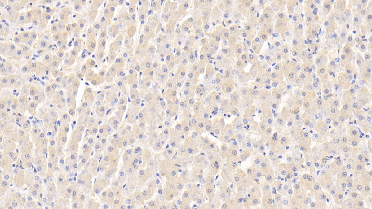
| Валидировано для | IHC Иммуногистохимия |
| Рекомендуемые разведения | WB: 0.2-2 мкг/мл; 1:250-2500; IHC: 5-20 мкг/мл; 1:25-100; ICC: 5-20 мкг/мл; 1:25-100; Оптимальное разведение определяется конечным потребителем |
| Метод очистки | Антигенспецифическая аффинная хроматография с последующей аффинной хроматографией с белком А |
| Состав буфера | 0.01M PBS, pH7.4, 0.05% Proclin-300, 50% глицерин |
| Условия доставки | термобокс с аккумуляторами холода |
| Условия хранения | Сразу после получения аликвотировать и хранить при -20ºС до 24 месяцев. Для частого использования хранить при +4ºС не более 2 недель. Избегать повторения циклов замерзания/оттаивания |
| Срок хранения | 24 месяца |
| Производитель | Cloud-Clone Corp. |
| Ссылка на страницу товара на сайте производителя | http://www.cloud-clone.com/products/PAA058Bo01.html |
|
Артикул
|
Наименование |
Производитель
|
|---|
|
Артикул
|
Наименование |
Производитель
|
|---|
|
Артикул
|
Наименование |
Производитель
|
|---|
|
Артикул
|
Наименование |
Производитель
|
|---|
|
Артикул
|
Наименование |
Производитель
|
|---|
|
Артикул
|
Наименование |
Производитель
|
|---|
|
Артикул
|
Наименование |
Производитель
|
|---|
|
Артикул
|
Наименование |
Производитель
|
|---|
|
Артикул
|
Наименование |
Производитель
|
|---|
|
Артикул
|
Наименование |
Производитель
|
|---|
|
Артикул
|
Наименование |
Производитель
|
|---|
|
Артикул
|
Наименование |
Производитель
|
|---|
|
Артикул
|
Наименование |
Производитель
|
|---|
Акции и предложения
Популярные продукты:
Recombinant Human IL-4 Protein (PDEH100723)
Источник (хозяин): E.coli
Организм: человек
Фрагмент: His25-Ser153
Теги: N-His
Биоактивность: нет
Организм: человек
Фрагмент: His25-Ser153
Теги: N-His
Биоактивность: нет
Anti-Human CD8A Antibody (Fs0325), APC (FHK18542)
Источник (хозяин): мышь
Реактивность подтвержденная: человек
Валидировано для: ELISA, FCM
Реактивность подтвержденная: человек
Валидировано для: ELISA, FCM
Anti-Francisella tularensis LPS/Lipopolysaccharide Antibody (11B7) (RXX02142)
Источник (хозяин): мышь
Реактивность подтвержденная: бактерии
Валидировано для: ELISA, ICC, IF, WB
Реактивность подтвержденная: бактерии
Валидировано для: ELISA, ICC, IF, WB
Anti-FHV-1/FeHV-1 gB/Envelope glycoprotein B Antibody (SAb2374) (RVV21301)
Источник (хозяин): мышь
Реактивность подтвержденная: вирусы
Валидировано для: ELISA
Реактивность подтвержденная: вирусы
Валидировано для: ELISA
Anti-MPXV A29L Mouse IgG ELISA Kit (KAV13405)
Организм: мышь
Диапазон определения: 0.63 - 20 нг/мл
Чувствительность: 0.36 нг/мл
Диапазон определения: 0.63 - 20 нг/мл
Чувствительность: 0.36 нг/мл

