| UNIPROT | Q14005 |
| Иммуноген | RPA062Hu01-Recombinant Interleukin 16 (IL16) |
Polyclonal Antibody to Interleukin 16 (IL16) (PAA062Hu01)
Реактивность подтвержденная:
человек
Источник (хозяин):
кролик
Валидировано для:
IHC
Характеристики
Техническое описание
| Русское название | PAA062Hu01 Поликлональное антитело к IL16 (человек) <Cloud-Clone,Китай> |
| Каталожный номер | PAA062Hu01 |
| Название антигена | Interleukin 16 (IL16) |
| UNIPROT | Q14005 |
| Иммуноген | RPA062Hu01-Recombinant Interleukin 16 (IL16) |
| Английские синонимы | LCF, PrIL-16, Lymphocyte Chemoattractant Factor, Pro-Interleukin 16, IL16, IL-16 |
| Русские синонимы | ИЛ16, ИЛ-16 |
Реактивность подтвержденная Нужна другая реактивность? |
человек |
| Источник (хозяин) | кролик |
| Клональность | поликлональное |
| Рекомбинантное | нет |
| Готовое к использованию | нет |
| Концентрация | 0.5 мг/мл |
| Конъюгат | По запросу: HRP, biotin, PerCP, PE, Cy3, FITC, Cy7, Cy5.5, PE-Cy5, PE-Cy7, PerCp-Cy5.5, APC, Cy5, PE-Cy3, PE-Cy5.5, APC-Cy7, Biotin-APC, FITC-Biotin, TRITC, APC-Cy5, AF488, AF594, AF405, AF555, AF700, AF647, AF750 |
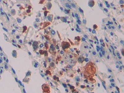
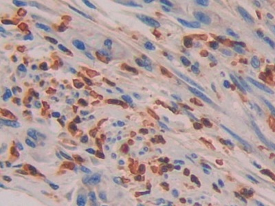
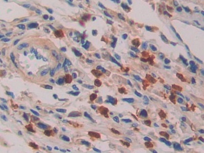
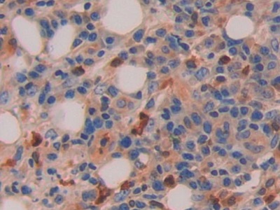
| Валидировано для | IHC Иммуногистохимия |
| Рекомендуемые разведения | WB: 0.5-2 мкг/мл; 1:350-1400; IHC: 5-20 мкг/мл; 1:35-140; ICC: 5-20 мкг/мл; 1:35-140; Оптимальное разведение определяется конечным потребителем |
| Метод очистки | Антигенспецифическая аффинная хроматография с последующей аффинной хроматографией с белком А |
| Состав буфера | 0.01M PBS, pH7.4, 0.05% Proclin-300, 50% глицерин |
| Условия доставки | термобокс с аккумуляторами холода |
| Условия хранения | Сразу после получения аликвотировать и хранить при -20ºС до 24 месяцев. Для частого использования хранить при +4ºС не более 2 недель. Избегать повторения циклов замерзания/оттаивания |
| Срок хранения | 24 месяца |
| Производитель | Cloud-Clone Corp. |
| Ссылка на страницу товара на сайте производителя | http://www.cloud-clone.com/products/PAA062Hu01.html |
|
Артикул
|
Наименование |
Производитель
|
|---|
|
Артикул
|
Наименование |
Производитель
|
|---|
|
Артикул
|
Наименование |
Производитель
|
|---|
|
Артикул
|
Наименование |
Производитель
|
|---|
|
Артикул
|
Наименование |
Производитель
|
|---|
|
Артикул
|
Наименование |
Производитель
|
|---|
|
Артикул
|
Наименование |
Производитель
|
|---|
Акции и предложения
Популярные продукты:
ELISA Kit DIY Materials for Tumor Necrosis Factor Receptor Superfamily, Member 1B (TNFRSF1B) (KSB504Hu01)
Организм: человек
Диапазон определения: 0.156-10 нг/мл
Чувствительность: 0.055 нг/мл
Диапазон определения: 0.156-10 нг/мл
Чувствительность: 0.055 нг/мл
Rat 5-Hydroxytryptophan ELISA kit (E02H1454)
Организм: крыса
Human Acrosin binding protein(ACRBP) ELISA kit (E01A1204)
Организм: человек
Sheep Cytokine like protein 1(CYTL1) ELISA kit (E14C2268)
Организм: овца
Bovine Transcription factor SOX-9(SOX9) ELISA kit (E11T0650)
Организм: корова

