| UNIPROT | Q8K4C5 |
| Иммуноген | RPD347Mu01-Recombinant Interleukin 17C (IL17C) |
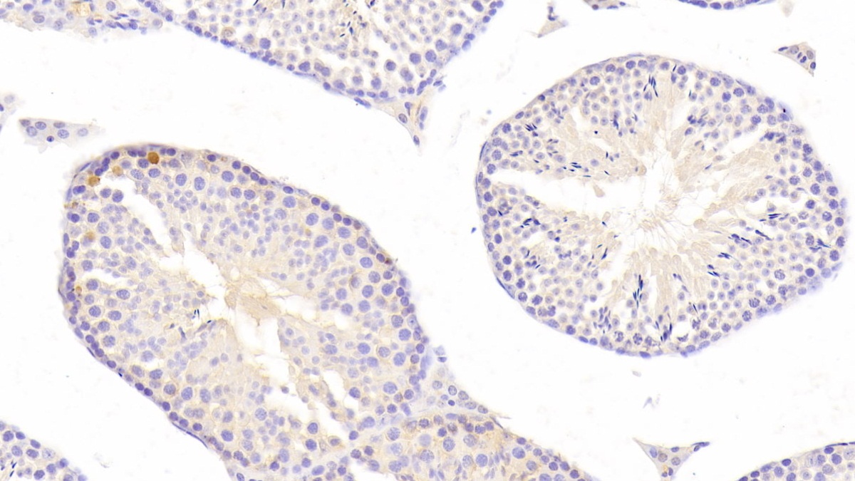
Polyclonal Antibody to Interleukin 17C (IL17C) (PAD347Mu01)
Реактивность подтвержденная:
мышь
Источник (хозяин):
кролик
Валидировано для:
IHC
Характеристики
Техническое описание
| Русское название | PAD347Mu01 Поликлональное антитело к IL17C (мышь) <Cloud-Clone,Китай> |
| Каталожный номер | PAD347Mu01 |
| Название антигена | Interleukin 17C (IL17C) |
| UNIPROT | Q8K4C5 |
| Иммуноген | RPD347Mu01-Recombinant Interleukin 17C (IL17C) |
| Английские синонимы | Cytokine CX2, IL-17C, IL17-C |
| Русские синонимы | ИЛ17, ИЛ-17 |
Реактивность подтвержденная Нужна другая реактивность? |
мышь |
| Источник (хозяин) | кролик |
| Клональность | поликлональное |
| Рекомбинантное | нет |
| Готовое к использованию | нет |
| Концентрация | 500 мкг/мл |
| Конъюгат | По запросу: HRP, biotin, PerCP, PE, Cy3, FITC, Cy7, Cy5.5, PE-Cy5, PE-Cy7, PerCp-Cy5.5, APC, Cy5, PE-Cy3, PE-Cy5.5, APC-Cy7, Biotin-APC, FITC-Biotin, TRITC, APC-Cy5, AF488, AF594, AF405, AF555, AF700, AF647, AF750 |
| Валидировано для | IHC Иммуногистохимия |
| Рекомендуемые разведения | WB: 0.2-2 мкг/мл; 1:250-2500; IHC: 5-20 мкг/мл; 1:25-100; ICC: 5-20 мкг/мл; 1:25-100; Оптимальное разведение определяется конечным потребителем |
| Метод очистки | Антигенспецифическая аффинная хроматография с последующей аффинной хроматографией с белком А |
| Состав буфера | 0.01M PBS, pH7.4, 0.05% Proclin-300, 50% глицерин |
| Условия доставки | термобокс с аккумуляторами холода |
| Условия хранения | Сразу после получения аликвотировать и хранить при -20ºС до 24 месяцев. Для частого использования хранить при +4ºС не более 2 недель. Избегать повторения циклов замерзания/оттаивания |
| Срок хранения | 24 месяца |
| Производитель | Cloud-Clone Corp. |
| Ссылка на страницу товара на сайте производителя | http://www.cloud-clone.com/products/PAD347Mu01.html |
|
Артикул
|
Наименование |
Производитель
|
|---|
|
Артикул
|
Наименование |
Производитель
|
|---|
|
Артикул
|
Наименование |
Производитель
|
|---|
|
Артикул
|
Наименование |
Производитель
|
|---|
|
Артикул
|
Наименование |
Производитель
|
|---|
Акции и предложения
Популярные продукты:
Recombinant Chikungunya Virus (CHIKV) (RPX256Ge01)
Источник (хозяин): E.coli
Организм: для всех
Фрагмент: Tyr810-Ile1222
Теги: N-концевой His-Tag
Биоактивность: нет
Организм: для всех
Фрагмент: Tyr810-Ile1222
Теги: N-концевой His-Tag
Биоактивность: нет
Chicken PRA1 family protein 3(ARL6IP5) ELISA kit (E12P0795)
Организм: курица
Canine Interleukin-1 receptor 8 ELISA kit (E08I0814)
Организм: собака
Porcine β sarcoglycan(SGCB) ELISA kit (E07B0966)
Организм: свинья

