| UNIPROT | Q96PD4 |
| Иммуноген | RPB955Hu01-Recombinant Interleukin 17F (IL17F) |
Polyclonal Antibody to Interleukin 17F (IL17F) (PAB955Hu01)
Реактивность подтвержденная:
человек
Источник (хозяин):
кролик
Валидировано для:
IHC
Характеристики
Техническое описание
| Русское название | PAB955Hu01 Поликлональное антитело к IL17F (человек) <Cloud-Clone,Китай> |
| Каталожный номер | PAB955Hu01 |
| Название антигена | Interleukin 17F (IL17F) |
| UNIPROT | Q96PD4 |
| Иммуноген | RPB955Hu01-Recombinant Interleukin 17F (IL17F) |
| Английские синонимы | ML-1, IL17-F, IL-17F |
| Русские синонимы | ИЛ17, ИЛ-17 |
Реактивность подтвержденная Нужна другая реактивность? |
человек |
| Реактивность предсказываемая | свинья |
| Источник (хозяин) | кролик |
| Клональность | поликлональное |
| Рекомбинантное | нет |
| Готовое к использованию | нет |
| Концентрация | 0.5 мг/мл |
| Конъюгат | По запросу: HRP, biotin, PerCP, PE, Cy3, FITC, Cy7, Cy5.5, PE-Cy5, PE-Cy7, PerCp-Cy5.5, APC, Cy5, PE-Cy3, PE-Cy5.5, APC-Cy7, Biotin-APC, FITC-Biotin, TRITC, APC-Cy5, AF488, AF594, AF405, AF555, AF700, AF647, AF750 |
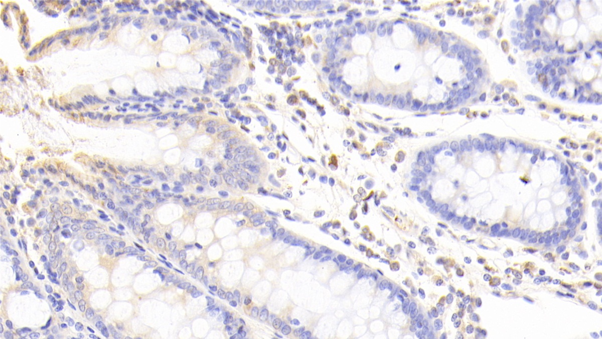
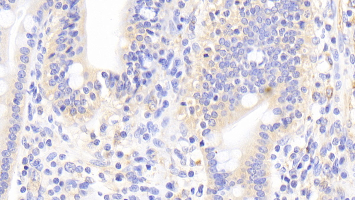
| Валидировано для | IHC Иммуногистохимия |
| Рекомендуемые разведения | WB: 0.2-2 мкг/мл; 1:250-2500; IHC: 5-20 мкг/мл; 1:25-100; ICC: 5-20 мкг/мл; 1:25-100; Оптимальное разведение определяется конечным потребителем |
| Метод очистки | Антигенспецифическая аффинная хроматография с последующей аффинной хроматографией с белком А |
| Состав буфера | 0.01M PBS, pH7.4, 0.05% Proclin-300, 50% глицерин |
| Условия доставки | термобокс с аккумуляторами холода |
| Условия хранения | Сразу после получения аликвотировать и хранить при -20ºС до 24 месяцев. Для частого использования хранить при +4ºС не более 2 недель. Избегать повторения циклов замерзания/оттаивания |
| Срок хранения | 24 месяца |
| Производитель | Cloud-Clone Corp. |
| Ссылка на страницу товара на сайте производителя | http://www.cloud-clone.com/products/PAB955Hu01.html |
|
Артикул
|
Наименование |
Производитель
|
|---|
|
Артикул
|
Наименование |
Производитель
|
|---|
|
Артикул
|
Наименование |
Производитель
|
|---|
Акции и предложения
Популярные продукты:
Rat Aldo-keto reductase family 1 member D1 ELISA kit (E02K0212)
Организм: крыса
Canine Stathmin 1 ELISA kit (E08S0217)
Организм: собака
Goat Stathmin 1 ELISA kit (E06S0217)
Организм: коза
Rabbit Motilin ELISA kit (E04M0347)
Организм: кролик
Anti-Ganglioside GM1 mIgM Antibody (WO1) (RGK28707)
Источник (хозяин): мышь
Реактивность подтвержденная: мышь
Валидировано для: ELISA
Реактивность подтвержденная: мышь
Валидировано для: ELISA
ELISA Kit for Solute Carrier Family 7, Member 11 (SLC7A11) (SEE410Hu)
Организм: человек
Диапазон определения: 0.156-10 нг/мл
Чувствительность: 0.057 нг/мл
Диапазон определения: 0.156-10 нг/мл
Чувствительность: 0.057 нг/мл

