| UNIPROT | B1A3U4 |
| Иммуноген | RPA064Rb01-Recombinant Interleukin 18 (IL18) |
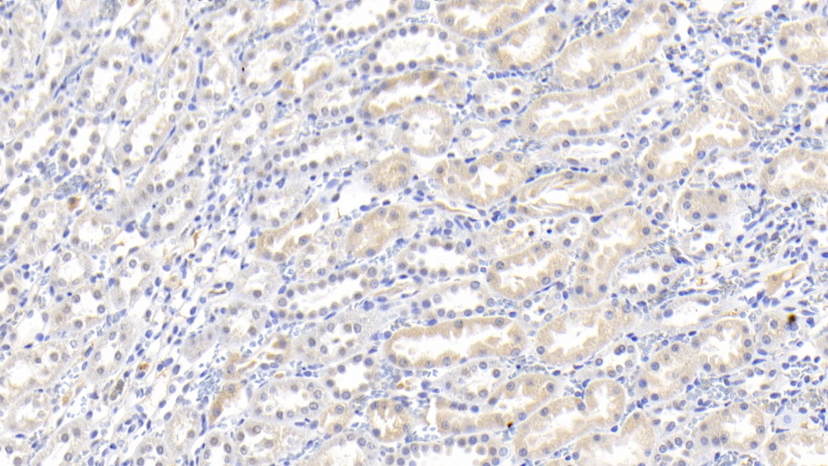
Polyclonal Antibody to Interleukin 18 (IL18) (PAA064Rb51)
Реактивность подтвержденная:
кролик
Источник (хозяин):
морская свинка
Валидировано для:
IHC
Характеристики
Техническое описание
| Русское название | PAA064Rb51 Поликлональное антитело к IL18 (кролик) <Cloud-Clone,Китай> |
| Каталожный номер | PAA064Rb51 |
| Название антигена | Interleukin 18 (IL18) |
| UNIPROT | B1A3U4 |
| Иммуноген | RPA064Rb01-Recombinant Interleukin 18 (IL18) |
| Английские синонимы | IGIF, IL-1g, IL1F4, IL1-F4, Interferon-Gamma-Inducing Factor, Interleukin-1 Family Member 4, Iboctadekin, Interleukin-1 Gamma, IL-18 |
| Русские синонимы | ИЛ18, ИЛ-18 |
Реактивность подтвержденная Нужна другая реактивность? |
кролик |
| Источник (хозяин) | морская свинка |
| Клональность | поликлональное |
| Рекомбинантное | нет |
| Готовое к использованию | нет |
| Концентрация | 500 мкг/мл |
| Конъюгат | По запросу: HRP, biotin, PerCP, PE, Cy3, FITC, Cy7, Cy5.5, PE-Cy5, PE-Cy7, PerCp-Cy5.5, APC, Cy5, PE-Cy3, PE-Cy5.5, APC-Cy7, Biotin-APC, FITC-Biotin, TRITC, APC-Cy5, AF488, AF594, AF405, AF555, AF700, AF647, AF750 |
| Валидировано для | IHC Иммуногистохимия |
| Рекомендуемые разведения | WB: 0.5-2 мкг/мл; 1:250-1000; IHC: 5-20 мкг/мл; 1:25-100; ICC: 5-20 мкг/мл; 1:25-100; Оптимальное разведение определяется конечным потребителем |
| Метод очистки | Антигенспецифическая аффинная хроматография с последующей аффинной хроматографией с белком А |
| Состав буфера | 0.01M PBS, pH7.4, 0.05% Proclin-300, 50% глицерин |
| Условия доставки | термобокс с аккумуляторами холода |
| Условия хранения | Сразу после получения аликвотировать и хранить при -20ºС до 24 месяцев. Для частого использования хранить при +4ºС не более 2 недель. Избегать повторения циклов замерзания/оттаивания |
| Срок хранения | 24 месяца |
| Производитель | Cloud-Clone Corp. |
| Ссылка на страницу товара на сайте производителя | http://www.cloud-clone.com/products/PAA064Rb51.html |
|
Артикул
|
Наименование |
Производитель
|
|---|
|
Артикул
|
Наименование |
Производитель
|
|---|
|
Артикул
|
Наименование |
Производитель
|
|---|
|
Артикул
|
Наименование |
Производитель
|
|---|
|
Артикул
|
Наименование |
Производитель
|
|---|
|
Артикул
|
Наименование |
Производитель
|
|---|
|
Артикул
|
Наименование |
Производитель
|
|---|
|
Артикул
|
Наименование |
Производитель
|
|---|
|
Артикул
|
Наименование |
Производитель
|
|---|
|
Артикул
|
Наименование |
Производитель
|
|---|
|
Артикул
|
Наименование |
Производитель
|
|---|
Акции и предложения
Популярные продукты:
Anti-Cluster Of Differentiation 4 (CD4) Monoclonal Antibody (FAB167Hu02)
Источник (хозяин): мышь
Реактивность подтвержденная: человек
Валидировано для: FCM
Реактивность подтвержденная: человек
Валидировано для: FCM
ELISA Kit DIY Materials for Fibulin 4 (FBLN4) (KSF421Hu01)
Организм: человек
Диапазон определения: 3.12-200 нг/мл
Чувствительность: 1.15 нг/мл
Диапазон определения: 3.12-200 нг/мл
Чувствительность: 1.15 нг/мл
ELISA Kit DIY Materials for Tumor Protein p53 (P53) (KSA928Ra01)
Организм: крыса
Диапазон определения: 78-5000 пг/мл
Чувствительность: 31 пг/мл
Диапазон определения: 78-5000 пг/мл
Чувствительность: 31 пг/мл
Chicken GTPase NRas(NRAS) ELISA kit (E12G0453)
Организм: курица

