Ваш браузер устарел и не обеспечивает полноценную и безопасную работу с сайтом. Пожалуйста обновите браузер чтобы улучшить взаимодействие с сайтом.
Мы обновили сайт, попробуйте новые функции в личном кабинете!

+7 (495) 798-02-48

Polyclonal Antibody to Interleukin 22 Receptor (IL22R) (PAE766Hu01)

Реактивность подтвержденная: человек
Источник (хозяин): кролик
Валидировано для:
IHC
WB
5519
5519
Western Blot; Sample: Lane1: Porcine Kidney lysate; Lane2: Porcine Pancreas lysate; Lane3: K562 cell lysate; Lane4: 293T cell lysate Primary Ab: 1.5μg/ml Rabbit Anti-Human IL22R Antibody Second Ab: 0.2μg/mL HRP-Linked Caprine Anti-Rabbit IgG Polyclonal Antibody (Catalog: SAA544Rb19)
20761
20761
Western Blot; Sample: Lane1: K562 cell lysate; Lane2: Rat Spleen lysate; Lane3: Rat Kidney lysate; Lane4: Mouse Spleen lysate; Lane5: Mouse Kidney lysate Primary Ab: 5μg/ml Rabbit Anti-Human IL22R Antibody Second Ab: 0.2μg/mL HRP-Linked Caprine Anti-Rabbit IgG Polyclonal Antibody (Catalog: SAA544Rb19)
22958
22958
DAB staining on IHC-P; Sample: Human Colon Tissue; Primary Ab: 20ug/ml Rabbit Anti-Human IL22R Antibody Second Ab: 2μg/mL HRP-Linked Caprine Anti-Rabbit IgG Polyclonal Antibody (Catalog: SAA544Rb19)
22959
22959
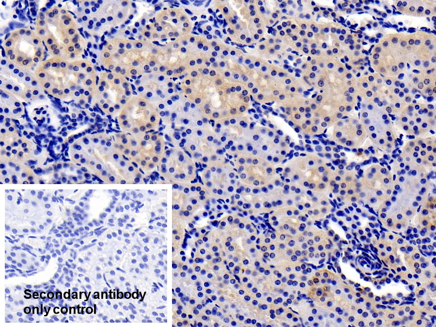
DAB staining on IHC-P; Sample: Human Kidney Tissue; Primary Ab: 20ug/ml Rabbit Anti-Human IL22R Antibody Second Ab: 2μg/mL HRP-Linked Caprine Anti-Rabbit IgG Polyclonal Antibody (Catalog: SAA544Rb19)
22960
22960
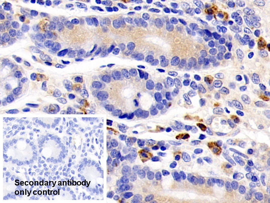
DAB staining on IHC-P; Sample: Human Small intestine Tissue; Primary Ab: 20ug/ml Rabbit Anti-Human IL22R Antibody Second Ab: 2μg/mL HRP-Linked Caprine Anti-Rabbit IgG Polyclonal Antibody (Catalog: SAA544Rb19)
23481
23481
FITC staining on IF; Sample: Human HepG2 cell; Primary Ab: 20μg/ml Rabbit Anti-Human IL22R Antibody Second Ab: 1.5μg/ml FITC-Linked Caprine Anti-Rabbit IgG Polyclonal Antibody (Catalog: SAA544Rb18)
30242
30242
FITC staining on IF; Sample: HepG2 cell Primary Ab: 20μg/ml Rabbit Anti-Human IL22R Antibody Second Ab: 2μg/ml FITC-Linked Caprine Anti-Rabbit IgG Polyclonal Antibody (Catalog: SAA544Rb11)
30300
30300
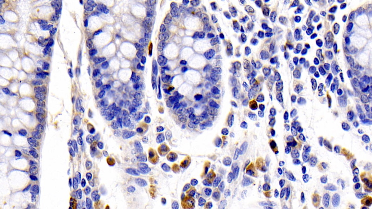
DAB staining on IHC-P; Sample: Human Small intestine Tissue Primary Ab: 20μg/ml Rabbit Anti-Human IL22R Antibody Control: Used PBS instead of primary antibody Second Ab: 2μg/ml HRP-Linked Caprine Anti-Rabbit IgG Polyclonal Antibody (Catalog: SAA544Rb19)
30302
30302
DAB staining on IHC-P; Sample: Human Kidney Tissue Primary Ab: 20μg/ml Rabbit Anti-Human IL22R Antibody Control: Used PBS instead of primary antibody Second Ab: 2μg/ml HRP-Linked Caprine Anti-Rabbit IgG Polyclonal Antibody (Catalog: SAA544Rb19)
30304
30304
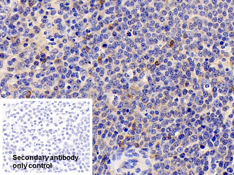
DAB staining on IHC-P; Sample: Human Spleen Tissue Primary Ab: 20μg/ml Rabbit Anti-Human IL22R Antibody Control: Used PBS instead of primary antibody Second Ab: 2μg/ml HRP-Linked Caprine Anti-Rabbit IgG Polyclonal Antibody (Catalog: SAA544Rb19)
51445
51445
Figure. Western Blot; Sample: Recombinant IL22R, Human.
5519
20761
22958
22959
22960
23481
30242
30300
30302
30304
51445
Ближайшая поставка
29.05.26
Характеристики
Техническое описание
Русское название PAE766Hu01 Поликлональное антитело к IL22R (человек) <Cloud-Clone,Китай>
Каталожный номер PAE766Hu01
Название антигена Interleukin 22 Receptor (IL22R)
UNIPROT Q8N6P7
Иммуноген RPE766Hu01-Recombinant Interleukin 22 Receptor (IL22R)
Английские синонимы IL22RA1, CRF2-9, ZcytoR11, Interleukin 22 Receptor,Alpha 1, Cytokine receptor class-II member 9
Реактивность подтвержденная
Нужна другая реактивность?
человек
Реактивность предсказываемая мышь, крыса, свинья
Источник (хозяин) кролик
Клональность поликлональное
Рекомбинантное нет
Готовое к использованию нет
Концентрация 500 мкг/мл
Конъюгат По запросу: HRP, biotin, PerCP, PE, Cy3, FITC, Cy7, Cy5.5, PE-Cy5, PE-Cy7, PerCp-Cy5.5, APC, Cy5, PE-Cy3, PE-Cy5.5, APC-Cy7, Biotin-APC, FITC-Biotin, TRITC, APC-Cy5, AF488, AF594, AF405, AF555, AF700, AF647, AF750
Валидировано для
IHC
WB
Иммуногистохимия; Вестерн-блоттинг
Рекомендуемые разведения WB: 1-5 мкг/мл; ICC (фиксация формалином): 5-20 мкг/мл; IHC (замороженные срезы): 5-20 мкг/мл; IHC (парафиновые срезы): 5-20 мкг/мл; ELISA: 0.05-2 мкг/мл; Оптимальное разведение определяется конечным потребителем
Метод очистки Антигенспецифическая аффинная хроматография с последующей аффинной хроматографией с белком А
Состав буфера 0.01M PBS, pH7.4, 0.05% Proclin-300, 50% глицерин
Условия доставки термобокс с аккумуляторами холода
Условия хранения Сразу после получения аликвотировать и хранить при -20ºС до 24 месяцев. Для частого использования хранить при +4ºС не более 2 недель. Избегать повторения циклов замерзания/оттаивания
Срок хранения 24 месяца
Производитель Cloud-Clone Corp.
Ссылка на страницу товара на сайте производителя http://www.cloud-clone.com/products/PAE766Hu01.html

Назначение

поликлональное антитело от производителя Cloud-Clone Corp. к Interleukin 22 Receptor (IL22R) источник — кролик предназначено для детекции целевого антигена в биологических образцах. Продукт характеризуется подтвержденной реактивностью к человек.

Преимущества

  • Высокая специфичность и аффинность
  • Концентрация: 500 мкг/мл
  • Оптимизированный состав буфера: 0.01M PBS, pH7.4, 0.05% Proclin-300, 50% глицерин
  • Стабильность: 24 месяца

Применение в исследованиях

Антитело валидировано для методов: IHC, WB. Подходит для научных исследований в области иммунологии, клеточной биологии и молекулярной диагностики.

Условия хранения

Срок годности: 24 месяца. Сразу после получения аликвотировать и хранить при -20ºС до 24 месяцев. Для частого использования хранить при +4ºС не более 2 недель. Избегать повторения циклов замерзания/оттаивания. Рекомендуется соблюдать температурный режим при транспортировке и хранении.
Артикул
Наименование
Производитель
Артикул
Наименование
Производитель

С нами успешно сотрудничают:

Московский государственный университет им. Ломоносова
Московский государственный университет им. Ломоносова
Московский государственный университет им. Ломоносова
МФТИ
МФТИ
МФТИ
Центр вирусологии и биотехнологии „Вектор“
Центр вирусологии и биотехнологии „Вектор“
Центр вирусологии и биотехнологии „Вектор“
Институт физиологии имени Павлова
Институт физиологии имени Павлова
Институт физиологии имени Павлова
Сеченовский университет
Сеченовский университет
Сеченовский университет
Исследовательский центр им. Алмазова
Исследовательский центр им. Алмазова
Исследовательский центр им. Алмазова
BIOCAD
BIOCAD
BIOCAD
Университет Сириус
Университет Сириус
Университет Сириус
Р-Фарм
Р-Фарм
Р-Фарм
Сколтех
Сколтех
Сколтех
Курчатовский институт
Курчатовский институт
Курчатовский институт
ИБХ РАН
ИБХ РАН
ИБХ РАН
НИЦ эпидемиологии и микробиологии им. Н.Ф.Гамалеи
НИЦ эпидемиологии и микробиологии им. Н.Ф.Гамалеи
НИЦ эпидемиологии и микробиологии им. Н.Ф.Гамалеи
Томский НИМЦ
Томский НИМЦ
Томский НИМЦ
ФИЦ ВИЖ имени Л.К. Эрнста
ФИЦ ВИЖ имени Л.К. Эрнста
ФИЦ ВИЖ имени Л.К. Эрнста
Фонд "Наука - Детям"
Фонд "Наука - Детям"
Фонд "Наука - Детям"
Институт цитологии и генетики СО РАН
Институт цитологии и генетики СО РАН
Институт цитологии и генетики СО РАН
Генериум
Генериум
Генериум

Новости

0
0
0