| UNIPROT | Q9H293 |
| Иммуноген | RPB694Hu01-Recombinant Interleukin 25 (IL25) |
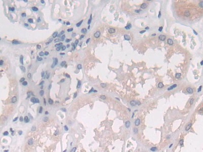
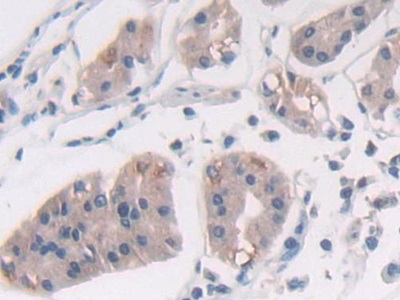
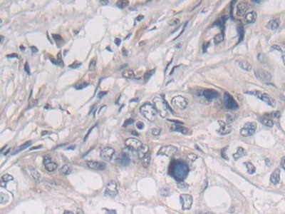
Polyclonal Antibody to Interleukin 25 (IL25) (PAB694Hu01)
Реактивность подтвержденная:
человек
Источник (хозяин):
кролик
Валидировано для:
IHC
Характеристики
Техническое описание
| Русское название | PAB694Hu01 Поликлональное антитело к IL25 (человек) <Cloud-Clone,Китай> |
| Каталожный номер | PAB694Hu01 |
| Название антигена | Interleukin 25 (IL25) |
| UNIPROT | Q9H293 |
| Иммуноген | RPB694Hu01-Recombinant Interleukin 25 (IL25) |
| Английские синонимы | IL17E, IL17-E, Interleukin-17E, IL-25 |
| Русские синонимы | ИЛ25, ИЛ-25 |
Реактивность подтвержденная Нужна другая реактивность? |
человек |
| Источник (хозяин) | кролик |
| Клональность | поликлональное |
| Рекомбинантное | нет |
| Готовое к использованию | нет |
| Концентрация | 0.88 мг/мл |
| Конъюгат | По запросу: HRP, biotin, PerCP, PE, Cy3, FITC, Cy7, Cy5.5, PE-Cy5, PE-Cy7, PerCp-Cy5.5, APC, Cy5, PE-Cy3, PE-Cy5.5, APC-Cy7, Biotin-APC, FITC-Biotin, TRITC, APC-Cy5, AF488, AF594, AF405, AF555, AF700, AF647, AF750 |
| Валидировано для | IHC Иммуногистохимия |
| Рекомендуемые разведения | WB: 0.5-2 мкг/мл; IHC: 5-20 мкг/мл; ICC: 5-20 мкг/мл; Оптимальное разведение определяется конечным потребителем |
| Метод очистки | Антигенспецифическая аффинная хроматография с последующей аффинной хроматографией с белком А |
| Состав буфера | 0.01M PBS, pH7.4, 0.05% Proclin-300, 50% глицерин |
| Условия доставки | термобокс с аккумуляторами холода |
| Условия хранения | Сразу после получения аликвотировать и хранить при -20ºС до 24 месяцев. Для частого использования хранить при +4ºС не более 2 недель. Избегать повторения циклов замерзания/оттаивания |
| Срок хранения | 24 месяца |
| Производитель | Cloud-Clone Corp. |
| Ссылка на страницу товара на сайте производителя | http://www.cloud-clone.com/products/PAB694Hu01.html |
|
Артикул
|
Наименование |
Производитель
|
|---|
|
Артикул
|
Наименование |
Производитель
|
|---|
|
Артикул
|
Наименование |
Производитель
|
|---|
|
Артикул
|
Наименование |
Производитель
|
|---|
|
Артикул
|
Наименование |
Производитель
|
|---|
Акции и предложения
Популярные продукты:
Anti-Human CD337/NKp30 Neutralizing Nanobody (VHH1) (RHA34902)
Источник (хозяин): альпака
Реактивность подтвержденная: человек
Валидировано для: ELISA, NEUT
Реактивность подтвержденная: человек
Валидировано для: ELISA, NEUT
Anti-Human CD18/ITGB2 Nanobody (SAA1307) (RHC13101)
Источник (хозяин): альпака
Реактивность подтвержденная: человек
Валидировано для: ELISA
Реактивность подтвержденная: человек
Валидировано для: ELISA
MPST Polyclonal Antibody (E-AB-90271)
Источник (хозяин): кролик
Реактивность подтвержденная: мышь, крыса
Валидировано для: WB
Реактивность подтвержденная: мышь, крыса
Валидировано для: WB
Anti-Human CD18/ITGB2 Antibody (SAA1383), PE (FHC13132)
Источник (хозяин): мышь
Реактивность подтвержденная: человек
Валидировано для: FCM
Реактивность подтвержденная: человек
Валидировано для: FCM
Anti-Human CD18/ITGB2 Antibody (60.3), PerCP (FHC13144)
Источник (хозяин): мышь
Реактивность подтвержденная: человек
Валидировано для: FCM, WB
Реактивность подтвержденная: человек
Валидировано для: FCM, WB
Anti-Human CD18/ITGB2 Antibody (SAA1383), PerCP (FHC13134)
Источник (хозяин): мышь
Реактивность подтвержденная: человек
Валидировано для: FCM
Реактивность подтвержденная: человек
Валидировано для: FCM

