| UNIPROT | P04351 |
| Иммуноген | RPA073Mu01-Recombinant Interleukin 2 (IL2) |
Polyclonal Antibody to Interleukin 2 (IL2) (PAA073Mu01)
Реактивность подтвержденная:
мышь
Источник (хозяин):
кролик
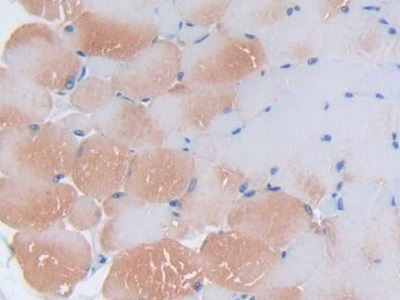
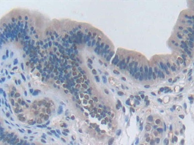
Валидировано для:
IHC
Характеристики
Техническое описание
| Русское название | PAA073Mu01 Поликлональное антитело к IL2 (мышь) <Cloud-Clone,Китай> |
| Каталожный номер | PAA073Mu01 |
| Название антигена | Interleukin 2 (IL2) |
| UNIPROT | P04351 |
| Иммуноген | RPA073Mu01-Recombinant Interleukin 2 (IL2) |
| Английские синонимы | TCGF, Lymphokine, T-Cell Growth Factor, IL-2 |
| Русские синонимы | ИЛ2, ИЛ-2 |
Реактивность подтвержденная Нужна другая реактивность? |
мышь |
| Источник (хозяин) | кролик |
| Клональность | поликлональное |
| Рекомбинантное | нет |
| Готовое к использованию | нет |
| Концентрация | 0.5 мг/мл |
| Конъюгат | По запросу: HRP, biotin, PerCP, PE, Cy3, FITC, Cy7, Cy5.5, PE-Cy5, PE-Cy7, PerCp-Cy5.5, APC, Cy5, PE-Cy3, PE-Cy5.5, APC-Cy7, Biotin-APC, FITC-Biotin, TRITC, APC-Cy5, AF488, AF594, AF405, AF555, AF700, AF647, AF750 |
| Валидировано для | IHC Иммуногистохимия |
| Рекомендуемые разведения | WB: 0.01-2 мкг/мл; IHC: 5-20 мкг/мл; ICC: 5-20 мкг/мл; Оптимальное разведение определяется конечным потребителем |
| Метод очистки | Антигенспецифическая аффинная хроматография с последующей аффинной хроматографией с белком А |
| Состав буфера | PBS, pH7.4, 0.02% NaN3, 50% глицерин |
| Условия доставки | термобокс с аккумуляторами холода |
| Условия хранения | Сразу после получения аликвотировать и хранить при -20ºС до 24 месяцев. Для частого использования хранить при +4ºС не более 2 недель. Избегать повторения циклов замерзания/оттаивания |
| Срок хранения | 24 месяца |
| Производитель | Cloud-Clone Corp. |
| Ссылка на страницу товара на сайте производителя | http://www.cloud-clone.com/products/PAA073Mu01.html |
|
Артикул
|
Наименование |
Производитель
|
|---|
|
Артикул
|
Наименование |
Производитель
|
|---|
|
Артикул
|
Наименование |
Производитель
|
|---|
|
Артикул
|
Наименование |
Производитель
|
|---|
|
Артикул
|
Наименование |
Производитель
|
|---|
|
Артикул
|
Наименование |
Производитель
|
|---|
|
Артикул
|
Наименование |
Производитель
|
|---|
|
Артикул
|
Наименование |
Производитель
|
|---|
|
Артикул
|
Наименование |
Производитель
|
|---|
|
Артикул
|
Наименование |
Производитель
|
|---|
|
Артикул
|
Наименование |
Производитель
|
|---|
|
Артикул
|
Наименование |
Производитель
|
|---|
|
Артикул
|
Наименование |
Производитель
|
|---|
|
Артикул
|
Наименование |
Производитель
|
|---|
Акции и предложения
Популярные продукты:
Anti-Human IA-2/PTPRN Antibody (96/3#) (RHH38902)
Источник (хозяин): мышь
Реактивность подтвержденная: человек
Валидировано для: IHC, IP, WB
Реактивность подтвержденная: человек
Валидировано для: IHC, IP, WB
Recombinant Human Lactoferrin (HYC004M01)
Источник (хозяин): рисовое зерно
Организм: человек
Теги: без тегов
Биоактивность: да
Организм: человек
Теги: без тегов
Биоактивность: да
Human Bisphosphoglycee mutase(BPGM) ELISA kit (E01B0828)
Организм: человек
Canine Cytochrome c oxidase subunit II ELISA kit (E08C0016)
Организм: собака
Monkey Corneodesmosin ELISA kit (E09C0406)
Организм: обезьяна

