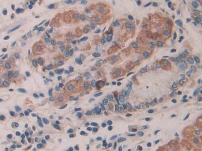
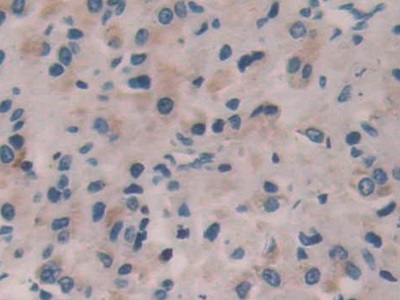
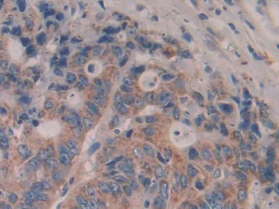
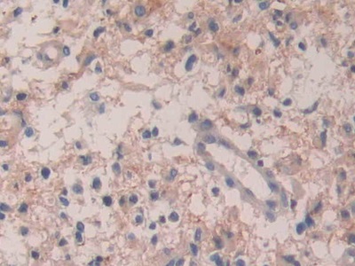
Polyclonal Antibody to Interleukin 35 (IL35) (PAC008Hu01)
Реактивность подтвержденная:
человек
Источник (хозяин):
кролик
Валидировано для:
IHC
Характеристики
Техническое описание
| Русское название | PAC008Hu01 Поликлональное антитело к IL35 (человек) <Cloud-Clone,Китай> |
| Каталожный номер | PAC008Hu01 |
| Название антигена | Interleukin 35 (IL35) |
| Иммуноген | RPC008Hu01-Recombinant Interleukin 35 (IL35) |
| Английские синонимы | IL-35 |
| Русские синонимы | ИЛ35, ИЛ-35 |
Реактивность подтвержденная Нужна другая реактивность? |
человек |
| Источник (хозяин) | кролик |
| Клональность | поликлональное |
| Рекомбинантное | нет |
| Готовое к использованию | нет |
| Концентрация | 0.5 мг/мл |
| Конъюгат | По запросу: HRP, biotin, PerCP, PE, Cy3, FITC, Cy7, Cy5.5, PE-Cy5, PE-Cy7, PerCp-Cy5.5, APC, Cy5, PE-Cy3, PE-Cy5.5, APC-Cy7, Biotin-APC, FITC-Biotin, TRITC, APC-Cy5, AF488, AF594, AF405, AF555, AF700, AF647, AF750 |
| Валидировано для | IHC Иммуногистохимия |
| Рекомендуемые разведения | WB: 0.01-3 мкг/мл; IHC: 5-30 мкг/мл; ICC: 5-30 мкг/мл; Оптимальное разведение определяется конечным потребителем |
| Метод очистки | Антигенспецифическая аффинная хроматография с последующей аффинной хроматографией с белком А |
| Состав буфера | PBS, pH7.4, 0.02% NaN3, 50% глицерин |
| Условия доставки | термобокс с аккумуляторами холода |
| Условия хранения | Сразу после получения аликвотировать и хранить при -20ºС до 24 месяцев. Для частого использования хранить при +4ºС не более 2 недель. Избегать повторения циклов замерзания/оттаивания |
| Срок хранения | 24 месяца |
| Производитель | Cloud-Clone Corp. |
| Ссылка на страницу товара на сайте производителя | http://www.cloud-clone.com/products/PAC008Hu01.html |
|
Артикул
|
Наименование |
Производитель
|
|---|
|
Артикул
|
Наименование |
Производитель
|
|---|
Акции и предложения
Популярные продукты:
Monkey Cadherin 23(CDH23) ELISA kit (E09C1543)
Организм: обезьяна
Rat beta lactoglobulin ELISA kit (E02L0012)
Организм: крыса
Rabbit CXC chemokine ligand 16 ELISA kit (E04C0851)
Организм: кролик
Anti-4G7 scFv Monoclonal Antibody (SAA1997) (RAD10802)
Источник (хозяин): мышь
Реактивность подтвержденная: для всех
Валидировано для: ELISA
Реактивность подтвержденная: для всех
Валидировано для: ELISA
Fluor® 488 Anti-Mouse CD62L Antibody[Mel14] (FCE1533)
Источник (хозяин): крыса
Реактивность подтвержденная: мышь
Валидировано для: FCM
Реактивность подтвержденная: мышь
Валидировано для: FCM
c-Fos Monoclonal Antibody (E-AB-70204)
Источник (хозяин): мышь
Реактивность подтвержденная: человек, мышь, крыса
Валидировано для: IF, IHC, WB
Реактивность подтвержденная: человек, мышь, крыса
Валидировано для: IF, IHC, WB

