| UNIPROT | P08887 |
| Иммуноген | EPB815Hu61-Eukaryotic Interleukin 6 Receptor (IL6R) |
Polyclonal Antibody to Interleukin 6 Receptor (IL6R) (PAB815Hu01)
Реактивность подтвержденная:
человек
Источник (хозяин):
кролик
Валидировано для:
IHC
WB
Характеристики
Техническое описание
| Русское название | PAB815Hu01 Поликлональное антитело к IL6R (человек) <Cloud-Clone,Китай> |
| Каталожный номер | PAB815Hu01 |
| Название антигена | Interleukin 6 Receptor (IL6R) |
| UNIPROT | P08887 |
| Иммуноген | EPB815Hu61-Eukaryotic Interleukin 6 Receptor (IL6R) |
| Английские синонимы | CD126, CD 126, CD-126, gp80, IL6R, IL-6R-1, IL-6R-Alpha, IL6RA, IL-6 receptor subunit alpha, Membrane glycoprotein 80 |
| Русские синонимы | Кластер дифференцировки 126 |
Реактивность подтвержденная Нужна другая реактивность? |
человек |
| Реактивность предсказываемая | мышь, крыса, свинья |
| Источник (хозяин) | кролик |
| Клональность | поликлональное |
| Рекомбинантное | нет |
| Готовое к использованию | нет |
| Концентрация | 0.3 мг/мл |
| Конъюгат | По запросу: HRP, biotin, PerCP, PE, Cy3, FITC, Cy7, Cy5.5, PE-Cy5, PE-Cy7, PerCp-Cy5.5, APC, Cy5, PE-Cy3, PE-Cy5.5, APC-Cy7, Biotin-APC, FITC-Biotin, TRITC, APC-Cy5, AF488, AF594, AF405, AF555, AF700, AF647, AF750 |
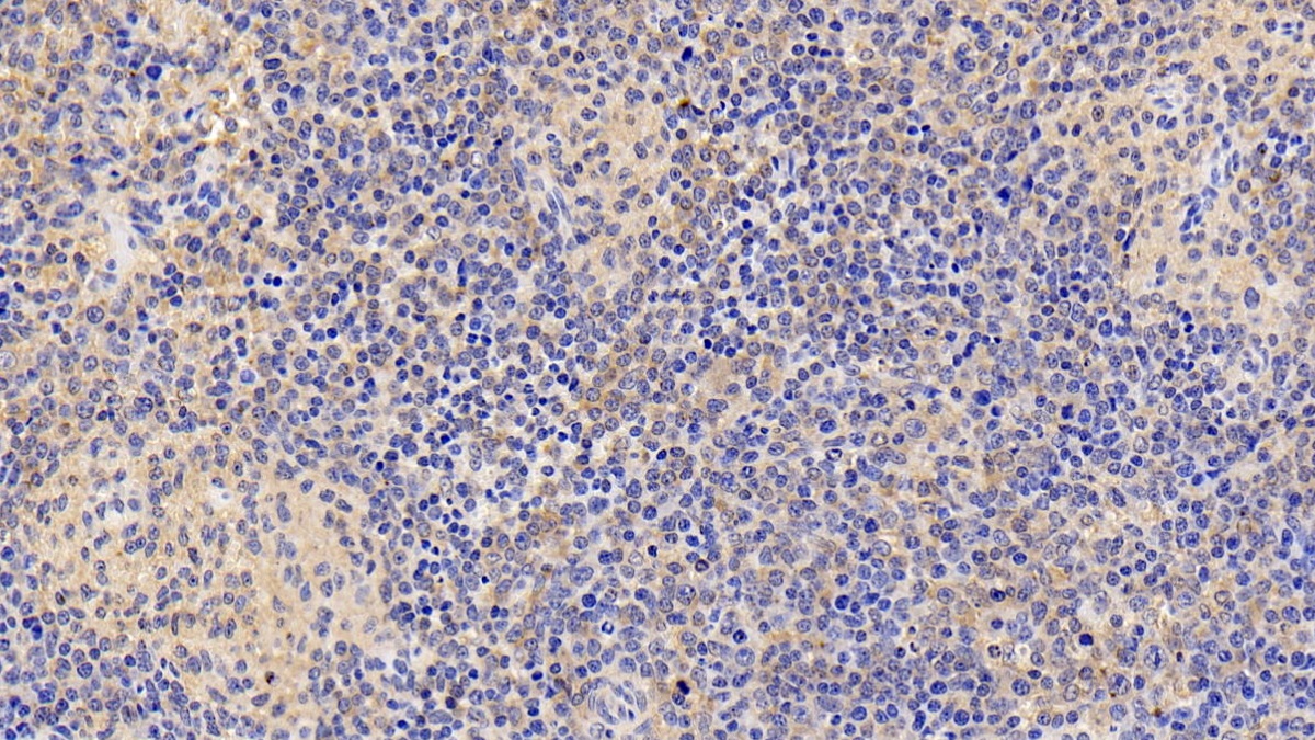
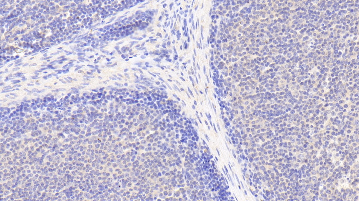
| Валидировано для | IHC WB Иммуногистохимия; Вестерн-блоттинг |
| Рекомендуемые разведения | WB: 0.01-2 мкг/мл; IHC: 5-20 мкг/мл; ICC: 5-20 мкг/мл; Оптимальное разведение определяется конечным потребителем |
| Метод очистки | Антигенспецифическая аффинная хроматография с последующей аффинной хроматографией с белком А |
| Состав буфера | 0.01M PBS, pH7.4, 0.05% Proclin-300, 50% глицерин |
| Условия доставки | термобокс с аккумуляторами холода |
| Условия хранения | Сразу после получения аликвотировать и хранить при -20ºС до 24 месяцев. Для частого использования хранить при +4ºС не более 2 недель. Избегать повторения циклов замерзания/оттаивания |
| Срок хранения | 24 месяца |
| Производитель | Cloud-Clone Corp. |
| Ссылка на страницу товара на сайте производителя | http://www.cloud-clone.com/products/PAB815Hu01.html |
|
Артикул
|
Наименование |
Производитель
|
|---|
|
Артикул
|
Наименование |
Производитель
|
|---|
|
Артикул
|
Наименование |
Производитель
|
|---|
|
Артикул
|
Наименование |
Производитель
|
|---|
|
Артикул
|
Наименование |
Производитель
|
|---|
|
Артикул
|
Наименование |
Производитель
|
|---|
Акции и предложения
Популярные продукты:
Anti-Human Tissue transglutaminase Antibody (Fs0330) (RHD49204)
Источник (хозяин): человек
Реактивность подтвержденная: человек
Валидировано для: ELISA, FuncS
Реактивность подтвержденная: человек
Валидировано для: ELISA, FuncS
Monoclonal Antibody to Cluster Of Differentiation 28 (CD28) (MAA652Hu25)
Источник (хозяин): мышь
Реактивность подтвержденная: человек
Валидировано для: ICC, IF
Реактивность подтвержденная: человек
Валидировано для: ICC, IF
Bovine Coactosin like protein(COTL1) ELISA kit (E11C1959)
Организм: корова
Guinea Pig 26S protease regulatory subunit 6B ELISA kit (E05P0913)
Организм: морская свинка
Chicken Neurolysin, mitochondrial(NLN) ELISA kit (E12N0548)
Организм: курица

