Ваш браузер устарел и не обеспечивает полноценную и безопасную работу с сайтом. Пожалуйста обновите браузер чтобы улучшить взаимодействие с сайтом.
Мы обновили сайт, попробуйте новые функции в личном кабинете!

+7 (495) 798-02-48

Polyclonal Antibody to Interleukin 8 (IL8) (PAA080Ca01)

Реактивность подтвержденная: собака
Источник (хозяин): кролик
Валидировано для:
IHC
WB
19515
19515
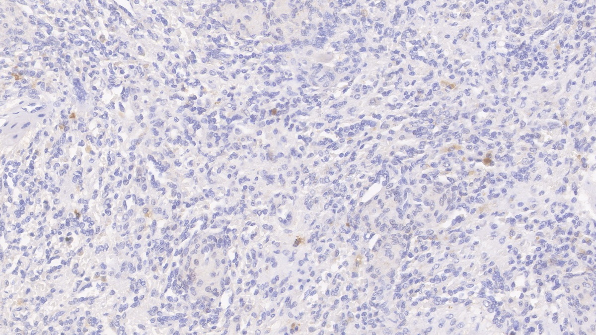
DAB staining on IHC-P; Samples: Canine Spleen Tissue; Primary Ab: 20μg/ml Rabbit Anti-Canine IL8 Antibody Second Ab: 2μg/mL HRP-Linked Caprine Anti-Rabbit IgG Polyclonal Antibody (Catalog: SAA544Rb19)
27393
27393
Western Blot; Sample: Lane1: Canine Stomach lysate; Lane2: Human Leukocyte lysate Primary Ab: 0.6μg/ml Rabbit Anti-Canine IL8 Antibody Second Ab: 0.2μg/mL HRP-Linked Caprine Anti-Rabbit IgG Polyclonal Antibody (Catalog: SAA544Rb19)
36757
36757
Figure. Western Blot; Sample: Recombinant IL8, Dog.
19515
27393
36757
Ближайшая поставка
29.05.26
Характеристики
Техническое описание
Русское название PAA080Ca01 Поликлональное антитело к IL8 (собака) <Cloud-Clone,Китай>
Каталожный номер PAA080Ca01
Название антигена Interleukin 8 (IL8)
UNIPROT NP_001003200.1
Иммуноген RPA080Ca01-Recombinant Interleukin 8 (IL8)
Английские синонимы IL-8, CXCL8, AMCF-I, GCP1, K60, LECT, LUCT, LYNAP, MDNCF, MONAP, NAF, NAP1, SCYB8, TSG1, B-ENAP, Neutrophil-Activating Protein 1, Granulocyte Chemotactic Protein 1
Русские синонимы Хемокин CXCL8, ИЛ8, ИЛ-8
Реактивность подтвержденная
Нужна другая реактивность?
собака
Реактивность предсказываемая человек
Источник (хозяин) кролик
Клональность поликлональное
Рекомбинантное нет
Готовое к использованию нет
Концентрация 0.5 мг/мл
Конъюгат По запросу: HRP, biotin, PerCP, PE, Cy3, FITC, Cy7, Cy5.5, PE-Cy5, PE-Cy7, PerCp-Cy5.5, APC, Cy5, PE-Cy3, PE-Cy5.5, APC-Cy7, Biotin-APC, FITC-Biotin, TRITC, APC-Cy5, AF488, AF594, AF405, AF555, AF700, AF647, AF750
Валидировано для
IHC
WB
Иммуногистохимия; Вестерн-блоттинг
Рекомендуемые разведения WB: 0.01-2 мкг/мл; IHC: 5-20 мкг/мл; Оптимальное разведение определяется конечным потребителем
Метод очистки Антигенспецифическая аффинная хроматография с последующей аффинной хроматографией с белком А
Состав буфера 0.01M PBS, pH7.4, 0.05% Proclin-300, 50% глицерин
Условия доставки термобокс с аккумуляторами холода
Условия хранения Сразу после получения аликвотировать и хранить при -20ºС до 24 месяцев. Для частого использования хранить при +4ºС не более 2 недель. Избегать повторения циклов замерзания/оттаивания
Срок хранения 24 месяца
Производитель Cloud-Clone Corp.
Ссылка на страницу товара на сайте производителя http://www.cloud-clone.com/products/PAA080Ca01.html

Назначение

поликлональное антитело от производителя Cloud-Clone Corp. к Interleukin 8 (IL8) источник — кролик предназначено для детекции целевого антигена в биологических образцах. Продукт характеризуется подтвержденной реактивностью к собака.

Преимущества

  • Высокая специфичность и аффинность
  • Концентрация: 0.5 мг/мл
  • Оптимизированный состав буфера: 0.01M PBS, pH7.4, 0.05% Proclin-300, 50% глицерин
  • Стабильность: 24 месяца

Применение в исследованиях

Антитело валидировано для методов: IHC, WB. Подходит для научных исследований в области иммунологии, клеточной биологии и молекулярной диагностики.

Условия хранения

Срок годности: 24 месяца. Сразу после получения аликвотировать и хранить при -20ºС до 24 месяцев. Для частого использования хранить при +4ºС не более 2 недель. Избегать повторения циклов замерзания/оттаивания. Рекомендуется соблюдать температурный режим при транспортировке и хранении.
Артикул
Наименование
Производитель
Артикул
Наименование
Производитель
Артикул
Наименование
Производитель
Артикул
Наименование
Производитель
Артикул
Наименование
Производитель
Артикул
Наименование
Производитель
Артикул
Наименование
Производитель
Артикул
Наименование
Производитель
Артикул
Наименование
Производитель
Артикул
Наименование
Производитель
Артикул
Наименование
Производитель

С нами успешно сотрудничают:

Московский государственный университет им. Ломоносова
Московский государственный университет им. Ломоносова
Московский государственный университет им. Ломоносова
МФТИ
МФТИ
МФТИ
Центр вирусологии и биотехнологии „Вектор“
Центр вирусологии и биотехнологии „Вектор“
Центр вирусологии и биотехнологии „Вектор“
Институт физиологии имени Павлова
Институт физиологии имени Павлова
Институт физиологии имени Павлова
Сеченовский университет
Сеченовский университет
Сеченовский университет
Исследовательский центр им. Алмазова
Исследовательский центр им. Алмазова
Исследовательский центр им. Алмазова
BIOCAD
BIOCAD
BIOCAD
Университет Сириус
Университет Сириус
Университет Сириус
Р-Фарм
Р-Фарм
Р-Фарм
Сколтех
Сколтех
Сколтех
Курчатовский институт
Курчатовский институт
Курчатовский институт
ИБХ РАН
ИБХ РАН
ИБХ РАН
НИЦ эпидемиологии и микробиологии им. Н.Ф.Гамалеи
НИЦ эпидемиологии и микробиологии им. Н.Ф.Гамалеи
НИЦ эпидемиологии и микробиологии им. Н.Ф.Гамалеи
Томский НИМЦ
Томский НИМЦ
Томский НИМЦ
ФИЦ ВИЖ имени Л.К. Эрнста
ФИЦ ВИЖ имени Л.К. Эрнста
ФИЦ ВИЖ имени Л.К. Эрнста
Фонд "Наука - Детям"
Фонд "Наука - Детям"
Фонд "Наука - Детям"
Институт цитологии и генетики СО РАН
Институт цитологии и генетики СО РАН
Институт цитологии и генетики СО РАН
Генериум
Генериум
Генериум

Новости

0
0
0