| UNIPROT | Q9WVE9 |
| Иммуноген | RPC548Ra01-Recombinant Intersectin 1 (ITSN1) |
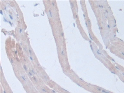
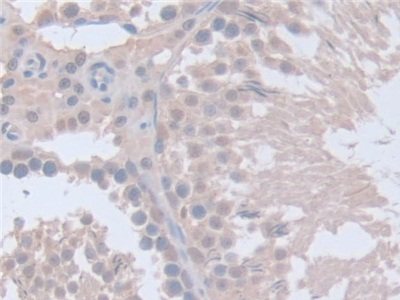
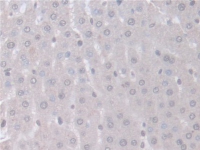
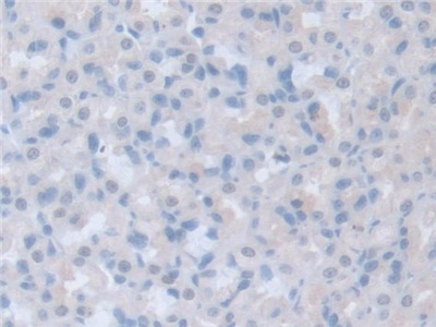
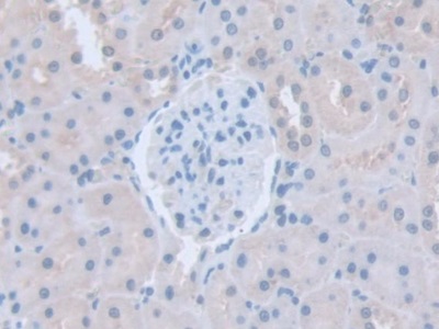
Polyclonal Antibody to Intersectin 1 (ITSN1) (PAC548Ra01)
Реактивность подтвержденная:
крыса
Источник (хозяин):
кролик
Валидировано для:
IHC
WB
Характеристики
Техническое описание
| Русское название | PAC548Ra01 Поликлональное антитело к ITSN1 (крыса) <Cloud-Clone,Китай> |
| Каталожный номер | PAC548Ra01 |
| Название антигена | Intersectin 1 (ITSN1) |
| UNIPROT | Q9WVE9 |
| Иммуноген | RPC548Ra01-Recombinant Intersectin 1 (ITSN1) |
| Английские синонимы | ITSN, SH3D1A, SH3P17, SH3 Domain Protein, Src Homology 3 Domain-Containing Protein, Intersectin 1 Short Form Variant 3 |
Реактивность подтвержденная Нужна другая реактивность? |
крыса |
| Реактивность предсказываемая | мышь |
| Источник (хозяин) | кролик |
| Клональность | поликлональное |
| Рекомбинантное | нет |
| Готовое к использованию | нет |
| Концентрация | 0.5 мг/мл |
| Конъюгат | По запросу: HRP, biotin, PerCP, PE, Cy3, FITC, Cy7, Cy5.5, PE-Cy5, PE-Cy7, PerCp-Cy5.5, APC, Cy5, PE-Cy3, PE-Cy5.5, APC-Cy7, Biotin-APC, FITC-Biotin, TRITC, APC-Cy5, AF488, AF594, AF405, AF555, AF700, AF647, AF750 |
| Валидировано для | IHC WB Иммуногистохимия; Вестерн-блоттинг |
| Рекомендуемые разведения | WB: 0.01-2 мкг/мл; IHC: 5-20 мкг/мл; ICC: 5-20 мкг/мл; Оптимальное разведение определяется конечным потребителем |
| Метод очистки | Антигенспецифическая аффинная хроматография с последующей аффинной хроматографией с белком А |
| Состав буфера | PBS, pH7.4, 0.02% NaN3, 50% глицерин |
| Условия доставки | термобокс с аккумуляторами холода |
| Условия хранения | Сразу после получения аликвотировать и хранить при -20ºС до 24 месяцев. Для частого использования хранить при +4ºС не более 2 недель. Избегать повторения циклов замерзания/оттаивания |
| Срок хранения | 24 месяца |
| Производитель | Cloud-Clone Corp. |
| Ссылка на страницу товара на сайте производителя | http://www.cloud-clone.com/products/PAC548Ra01.html |
|
Артикул
|
Наименование |
Производитель
|
|---|
|
Артикул
|
Наименование |
Производитель
|
|---|
Акции и предложения
Популярные продукты:
Chicken Dihydrofolate reductase(DHFR) ELISA kit (E12D0284)
Организм: курица
Porcine Alpha (1,6) fucosyltransferase (FUT8) ELISA kit (E07A1042)
Организм: свинья
Rabbit Laminin Alpha 4 ELISA kit (E04L1216)
Организм: кролик
Monkey Golgi Protein 73 ELISA kit (E09G0001)
Организм: обезьяна
Human Kallikrein 10 ELISA kit (E01K0070)
Организм: человек
Диапазон определения: 50-1000 пг/мл
Чувствительность: 1 пг/мл
Диапазон определения: 50-1000 пг/мл
Чувствительность: 1 пг/мл
SIX5 Polyclonal Antibody (E-AB-66636)
Источник (хозяин): кролик
Реактивность подтвержденная: мышь, крыса
Валидировано для: WB
Реактивность подтвержденная: мышь, крыса
Валидировано для: WB

