| UNIPROT | P57087 |
| Иммуноген | RPB783Hu01-Recombinant Junctional Adhesion Molecule 2 (JAM2) |
Polyclonal Antibody to Junctional Adhesion Molecule 2 (JAM2) (PAB783Hu01)
Реактивность подтвержденная:
человек
Источник (хозяин):
кролик
Валидировано для:
IHC
WB
Характеристики
Техническое описание
| Русское название | PAB783Hu01 Поликлональное антитело к JAM2 (человек) <Cloud-Clone,Китай> |
| Каталожный номер | PAB783Hu01 |
| Название антигена | Junctional Adhesion Molecule 2 (JAM2) |
| UNIPROT | P57087 |
| Иммуноген | RPB783Hu01-Recombinant Junctional Adhesion Molecule 2 (JAM2) |
| Английские синонимы | CD322, CD 322, CD-322, JAM-B, JAMB, VE-JAM, VEJAM, Junctional adhesion molecule B, Vascular endothelial junction-associated molecule |
| Русские синонимы | Кластер дифференцировки 322 |
Реактивность подтвержденная Нужна другая реактивность? |
человек |
| Реактивность предсказываемая | мышь, крыса |
| Источник (хозяин) | кролик |
| Клональность | поликлональное |
| Рекомбинантное | нет |
| Готовое к использованию | нет |
| Концентрация | 0.5 мг/мл |
| Конъюгат | По запросу: HRP, biotin, PerCP, PE, Cy3, FITC, Cy7, Cy5.5, PE-Cy5, PE-Cy7, PerCp-Cy5.5, APC, Cy5, PE-Cy3, PE-Cy5.5, APC-Cy7, Biotin-APC, FITC-Biotin, TRITC, APC-Cy5, AF488, AF594, AF405, AF555, AF700, AF647, AF750 |
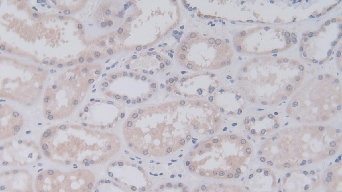
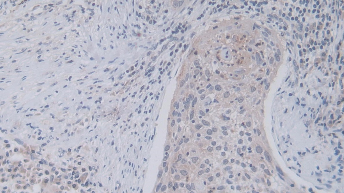
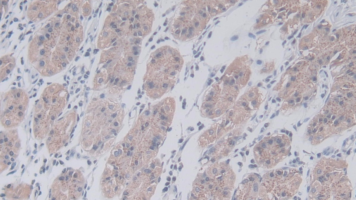
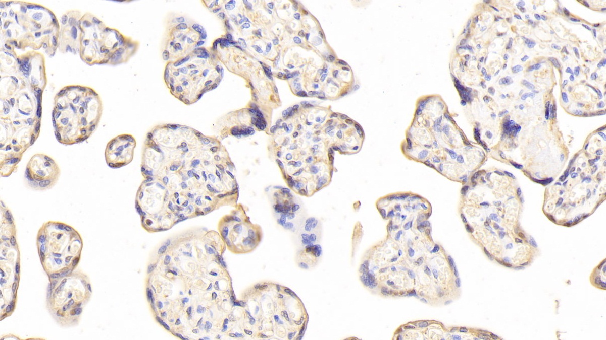
| Валидировано для | IHC WB Иммуногистохимия; Вестерн-блоттинг |
| Рекомендуемые разведения | WB: 0.5-2 мкг/мл; IHC: 5-30 мкг/мл; ICC: 30 мкг/мл; Оптимальное разведение определяется конечным потребителем |
| Метод очистки | Антигенспецифическая аффинная хроматография с последующей аффинной хроматографией с белком А |
| Состав буфера | PBS, pH7.4, 0.02% NaN3, 50% глицерин |
| Условия доставки | термобокс с аккумуляторами холода |
| Условия хранения | Сразу после получения аликвотировать и хранить при -20ºС до 24 месяцев. Для частого использования хранить при +4ºС не более 2 недель. Избегать повторения циклов замерзания/оттаивания |
| Срок хранения | 24 месяца |
| Производитель | Cloud-Clone Corp. |
| Ссылка на страницу товара на сайте производителя | http://www.cloud-clone.com/products/PAB783Hu01.html |
|
Артикул
|
Наименование |
Производитель
|
|---|
|
Артикул
|
Наименование |
Производитель
|
|---|
|
Артикул
|
Наименование |
Производитель
|
|---|
|
Артикул
|
Наименование |
Производитель
|
|---|
|
Артикул
|
Наименование |
Производитель
|
|---|
Акции и предложения
Популярные продукты:
Mouse Anti-6*His Tag (HHHHHH) Antibody (3D5) (RGK07904)
Источник (хозяин): мышь
Реактивность подтвержденная: для всех
Валидировано для: ELISA, WB
Реактивность подтвержденная: для всех
Валидировано для: ELISA, WB
Anti-CD29/ITGB1 Antibody (AIIB2), APC (FHC17632)
Источник (хозяин): мышь
Реактивность подтвержденная: человек, мышь
Валидировано для: ELISA, FCM, IF, WB
Реактивность подтвержденная: человек, мышь
Валидировано для: ELISA, FCM, IF, WB
Anti-CD29/ITGB1 Antibody (AIIB2) (FHC17630)
Источник (хозяин): мышь
Реактивность подтвержденная: человек, мышь
Валидировано для: ELISA, FCM, FuncS, ICC, IF, IHC, IP, WB
Реактивность подтвержденная: человек, мышь
Валидировано для: ELISA, FCM, FuncS, ICC, IF, IHC, IP, WB
Anti-Left/Right Determination Factor 1 (LEFTY1) Polyclonal Antibody (FAC175Hu01)
Источник (хозяин): кролик
Реактивность подтвержденная: человек
Валидировано для: FCM
Реактивность подтвержденная: человек
Валидировано для: FCM

