| UNIPROT | Q92876 |
| Иммуноген | RPA691Hu01-Recombinant Kallikrein 6 (KLK6) |
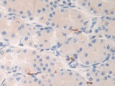
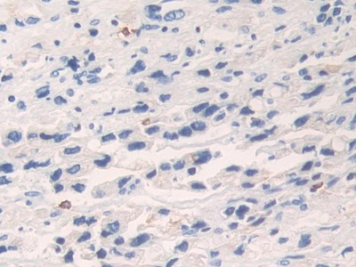
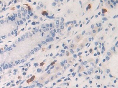
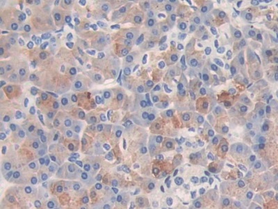
Polyclonal Antibody to Kallikrein 6 (KLK6) (PAA691Hu01)
Реактивность подтвержденная:
человек
Источник (хозяин):
кролик
Валидировано для:
IHC
Характеристики
Техническое описание
| Русское название | PAA691Hu01 Поликлональное антитело к KLK6 (человек) <Cloud-Clone,Китай> |
| Каталожный номер | PAA691Hu01 |
| Название антигена | Kallikrein 6 (KLK6) |
| UNIPROT | Q92876 |
| Иммуноген | RPA691Hu01-Recombinant Kallikrein 6 (KLK6) |
| Английские синонимы | ZYME, Bssp, Klk7, Neurosin,Zyme, PRSS18, PRSS9, SP59, HK6, Protease M, Serine protease 18 |
Реактивность подтвержденная Нужна другая реактивность? |
человек |
| Источник (хозяин) | кролик |
| Клональность | поликлональное |
| Рекомбинантное | нет |
| Готовое к использованию | нет |
| Концентрация | 0.4 мг/мл |
| Конъюгат | По запросу: HRP, biotin, PerCP, PE, Cy3, FITC, Cy7, Cy5.5, PE-Cy5, PE-Cy7, PerCp-Cy5.5, APC, Cy5, PE-Cy3, PE-Cy5.5, APC-Cy7, Biotin-APC, FITC-Biotin, TRITC, APC-Cy5, AF488, AF594, AF405, AF555, AF700, AF647, AF750 |
| Валидировано для | IHC Иммуногистохимия |
| Рекомендуемые разведения | WB: 0.01-2 мкг/мл; IHC: 5-20 мкг/мл; ICC: 5-20 мкг/мл; Оптимальное разведение определяется конечным потребителем |
| Метод очистки | Антигенспецифическая аффинная хроматография с последующей аффинной хроматографией с белком А |
| Состав буфера | PBS, pH7.4, 0.02% NaN3, 50% глицерин |
| Условия доставки | термобокс с аккумуляторами холода |
| Условия хранения | Сразу после получения аликвотировать и хранить при -20ºС до 24 месяцев. Для частого использования хранить при +4ºС не более 2 недель. Избегать повторения циклов замерзания/оттаивания |
| Срок хранения | 24 месяца |
| Производитель | Cloud-Clone Corp. |
| Ссылка на страницу товара на сайте производителя | http://www.cloud-clone.com/products/PAA691Hu01.html |
|
Артикул
|
Наименование |
Производитель
|
|---|
|
Артикул
|
Наименование |
Производитель
|
|---|
|
Артикул
|
Наименование |
Производитель
|
|---|
Акции и предложения
Популярные продукты:
Polyclonal Antibody to Kallikrein 6 (KLK6) (PAA691Hu01)
Источник (хозяин): кролик
Реактивность подтвержденная: человек
Валидировано для: IHC
Реактивность подтвержденная: человек
Валидировано для: IHC
PE Anti-Mouse CD183/CXCR3 Antibody[CXCR3-173] (E-AB-F1114UD)
Источник (хозяин): хомяк
Реактивность подтвержденная: мышь
Валидировано для: FCM
Реактивность подтвержденная: мышь
Валидировано для: FCM
ELISA Kit for Vitamin B1 (VB1) (RD053C-Ge)
Организм: для всех
Диапазон определения: 3.70-300 нг/мл
Чувствительность: 1.63 нг/мл
Диапазон определения: 3.70-300 нг/мл
Чувствительность: 1.63 нг/мл
OR5D3 Mouse Monoclonal Antibody (BF9376)
Источник (хозяин): мышь
Реактивность подтвержденная: человек, мышь
Валидировано для: WB
Реактивность подтвержденная: человек, мышь
Валидировано для: WB
POMK Mouse Monoclonal Antibody (BF8781)
Источник (хозяин): мышь
Реактивность подтвержденная: человек
Валидировано для: WB
Реактивность подтвержденная: человек
Валидировано для: WB
SAA3P Mouse Monoclonal Antibody (BF8650)
Источник (хозяин): мышь
Реактивность подтвержденная: человек, мышь
Валидировано для: WB
Реактивность подтвержденная: человек, мышь
Валидировано для: WB

