| UNIPROT | O60259 |
| Иммуноген | RPA690Hu01-Recombinant Kallikrein 8 (KLK8) |
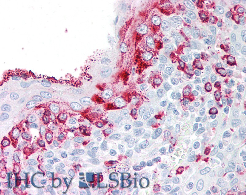
Polyclonal Antibody to Kallikrein 8 (KLK8) (PAA690Hu01)
Реактивность подтвержденная:
человек
Источник (хозяин):
кролик
Валидировано для:
IHC
WB
Характеристики
Техническое описание
| Русское название | PAA690Hu01 Поликлональное антитело к KLK8 (человек) <Cloud-Clone,Китай> |
| Каталожный номер | PAA690Hu01 |
| Название антигена | Kallikrein 8 (KLK8) |
| UNIPROT | O60259 |
| Иммуноген | RPA690Hu01-Recombinant Kallikrein 8 (KLK8) |
| Английские синонимы | NP, HNP, NRPN, PRSS19, TADG14, BSP1, Neuropsin, Ovasin, Brain Serine Protease 1, Tumor Associated Differentially Expressed Gene 14, Serine protease 19 |
Реактивность подтвержденная Нужна другая реактивность? |
человек |
| Реактивность предсказываемая | мышь |
| Источник (хозяин) | кролик |
| Клональность | поликлональное |
| Рекомбинантное | нет |
| Готовое к использованию | нет |
| Концентрация | 0.5 мг/мл |
| Конъюгат | По запросу: HRP, biotin, PerCP, PE, Cy3, FITC, Cy7, Cy5.5, PE-Cy5, PE-Cy7, PerCp-Cy5.5, APC, Cy5, PE-Cy3, PE-Cy5.5, APC-Cy7, Biotin-APC, FITC-Biotin, TRITC, APC-Cy5, AF488, AF594, AF405, AF555, AF700, AF647, AF750 |
| Валидировано для | IHC WB Иммуногистохимия; Вестерн-блоттинг |
| Рекомендуемые разведения | WB: 0.01-2 мкг/мл; IHC: 5-20 мкг/мл; ICC: 5-20 мкг/мл; Оптимальное разведение определяется конечным потребителем |
| Метод очистки | Антигенспецифическая аффинная хроматография с последующей аффинной хроматографией с белком А |
| Состав буфера | PBS, pH7.4, 0.02% NaN3, 50% глицерин |
| Условия доставки | термобокс с аккумуляторами холода |
| Условия хранения | Сразу после получения аликвотировать и хранить при -20ºС до 24 месяцев. Для частого использования хранить при +4ºС не более 2 недель. Избегать повторения циклов замерзания/оттаивания |
| Срок хранения | 24 месяца |
| Производитель | Cloud-Clone Corp. |
| Ссылка на страницу товара на сайте производителя | http://www.cloud-clone.com/products/PAA690Hu01.html |
|
Артикул
|
Наименование |
Производитель
|
|---|
|
Артикул
|
Наименование |
Производитель
|
|---|
|
Артикул
|
Наименование |
Производитель
|
|---|
Акции и предложения
Популярные продукты:
ELISA Kit DIY Materials for Thiosulfate Sulfurtransferase (TST) (KSC817Mu01)
Организм: мышь
Диапазон определения: 0.156-10 нг/мл
Чувствительность: 0.059 нг/мл
Диапазон определения: 0.156-10 нг/мл
Чувствительность: 0.059 нг/мл
ELISA Kit DIY Materials for Selenoprotein P1, Plasma (SEPP1) (KSB809Hu01)
Организм: человек
Диапазон определения: 0.78-50 нг/мл
Чувствительность: 0.31 нг/мл
Диапазон определения: 0.78-50 нг/мл
Чувствительность: 0.31 нг/мл
ELISA Kit DIY Materials for Lemur Tyrosine Kinase 3 (LMTK3) (KSE375Hu01)
Организм: человек
Диапазон определения: 0.156-10 нг/мл
Чувствительность: 0.054 нг/мл
Диапазон определения: 0.156-10 нг/мл
Чувствительность: 0.054 нг/мл
ELISA Kit DIY Materials for Enhancer Of Zeste Homolog 1 (EZH1) (KSK072Hu01)
Организм: человек
Диапазон определения: 0.312-20 нг/мл
Чувствительность: 0.112 нг/мл
Диапазон определения: 0.312-20 нг/мл
Чувствительность: 0.112 нг/мл
ELISA Kit DIY Materials for Fragile X Mental Retardation 1 (FMR1) (KSJ095Hu01)
Организм: человек
Диапазон определения: 0.312-20 нг/мл
Чувствительность: 0.117 нг/мл
Диапазон определения: 0.312-20 нг/мл
Чувствительность: 0.117 нг/мл
ELISA Kit DIY Materials for Proteasome Subunit Alpha Type 1 (PSMa1) (KSD329Hu01)
Организм: человек
Диапазон определения: 0.156-10 нг/мл
Чувствительность: 0.055 нг/мл
Диапазон определения: 0.156-10 нг/мл
Чувствительность: 0.055 нг/мл

