| UNIPROT | O76009 |
| Иммуноген | RPP899Hu01-Recombinant Keratin 33A (KRT33A) |
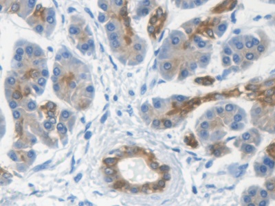
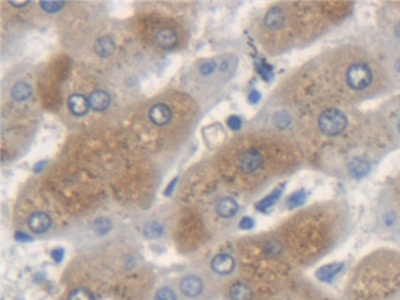
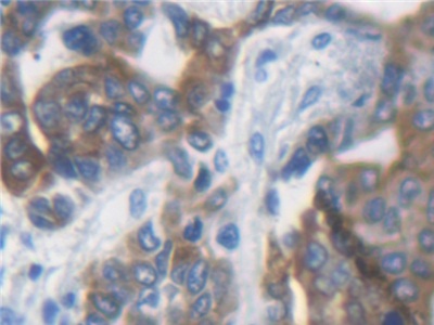
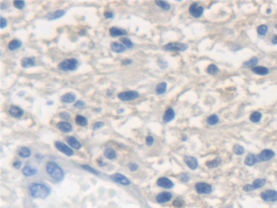
Polyclonal Antibody to Keratin 33A (KRT33A) (PAP899Hu01)
Реактивность подтвержденная:
человек
Источник (хозяин):
кролик
Валидировано для:
IHC
WB
Характеристики
Техническое описание
| Русское название | PAP899Hu01 Поликлональное антитело к KRT33A (человек) <Cloud-Clone,Китай> |
| Каталожный номер | PAP899Hu01 |
| Название антигена | Keratin 33A (KRT33A) |
| UNIPROT | O76009 |
| Иммуноген | RPP899Hu01-Recombinant Keratin 33A (KRT33A) |
| Английские синонимы | KRTHA3A, Ha-3I, Krt1-3, K33A, HHA3-I, HKA3A, Keratin,Hair,Acidic 3A, Hard Keratin Type I 3I, Keratin, type I cuticular Ha3-I |
Реактивность подтвержденная Нужна другая реактивность? |
человек |
| Реактивность предсказываемая | мышь |
| Источник (хозяин) | кролик |
| Клональность | поликлональное |
| Рекомбинантное | нет |
| Готовое к использованию | нет |
| Концентрация | 0.5 мг/мл |
| Конъюгат | По запросу: HRP, biotin, PerCP, PE, Cy3, FITC, Cy7, Cy5.5, PE-Cy5, PE-Cy7, PerCp-Cy5.5, APC, Cy5, PE-Cy3, PE-Cy5.5, APC-Cy7, Biotin-APC, FITC-Biotin, TRITC, APC-Cy5, AF488, AF594, AF405, AF555, AF700, AF647, AF750 |
| Валидировано для | IHC WB Иммуногистохимия; Вестерн-блоттинг |
| Рекомендуемые разведения | WB: 0.01-2 мкг/мл; IHC: 5-20 мкг/мл; IF: 5-20 мкг/мл; Оптимальное разведение определяется конечным потребителем |
| Метод очистки | Антигенспецифическая аффинная хроматография с последующей аффинной хроматографией с белком А |
| Состав буфера | 0.01M PBS, pH7.4, 0.05% Proclin-300, 50% глицерин |
| Условия доставки | термобокс с аккумуляторами холода |
| Условия хранения | Сразу после получения аликвотировать и хранить при -20ºС до 24 месяцев. Для частого использования хранить при +4ºС не более 2 недель. Избегать повторения циклов замерзания/оттаивания |
| Срок хранения | 24 месяца |
| Производитель | Cloud-Clone Corp. |
| Ссылка на страницу товара на сайте производителя | http://www.cloud-clone.com/products/PAP899Hu01.html |
|
Артикул
|
Наименование |
Производитель
|
|---|
|
Артикул
|
Наименование |
Производитель
|
|---|
|
Артикул
|
Наименование |
Производитель
|
|---|
Акции и предложения
Популярные продукты:
Anti-CD8A Antibody (R4E25) (RHK18502)
Источник (хозяин): кролик
Реактивность подтвержденная: человек, мышь, крыса
Валидировано для: ELISA, IF, IHC, WB
Реактивность подтвержденная: человек, мышь, крыса
Валидировано для: ELISA, IF, IHC, WB
Rabbit Claspin(CLSPN) ELISA kit (E04C1815)
Организм: кролик
Monkey Copine 4(CPNE4) ELISA kit (E09C2013)
Организм: обезьяна
Mouse Cerebellin 1 ELISA kit (E03C0910)
Организм: мышь
Rat Folate receptor gamma ELISA kit (E02F0406)
Организм: крыса
Human Folate receptor gamma ELISA kit (E01F0406)
Организм: человек

