| UNIPROT | Q4FZU2 |
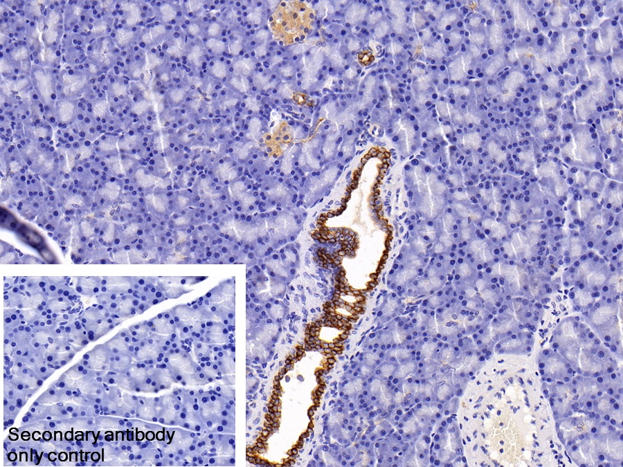
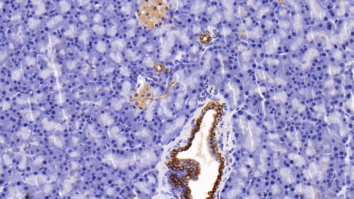
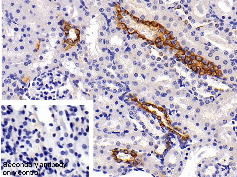
| Иммуноген | RPD234Ra01-Recombinant Keratin 6A (KRT6A) |
Polyclonal Antibody to Keratin 6A (KRT6A) (PAD234Ra01)
Реактивность подтвержденная:
крыса
Источник (хозяин):
кролик
Валидировано для:
IHC
WB
Характеристики
Техническое описание
| Русское название | PAD234Ra01 Поликлональное антитело к KRT6A (крыса) <Cloud-Clone,Китай> |
| Каталожный номер | PAD234Ra01 |
| Название антигена | Keratin 6A (KRT6A) |
| UNIPROT | Q4FZU2 |
| Иммуноген | RPD234Ra01-Recombinant Keratin 6A (KRT6A) |
| Английские синонимы | K6A, KRT6C, KRT6D, CK6C, K6C, CK6D, K6D, Keratin 6C, Keratin 6D, Keratin, type II cytoskeletal 6A, Type-II keratin Kb6 |
Реактивность подтвержденная Нужна другая реактивность? |
крыса |
| Реактивность предсказываемая | человек, мышь |
| Источник (хозяин) | кролик |
| Клональность | поликлональное |
| Рекомбинантное | нет |
| Готовое к использованию | нет |
| Концентрация | 500 мкг/мл |
| Конъюгат | По запросу: HRP, biotin, PerCP, PE, Cy3, FITC, Cy7, Cy5.5, PE-Cy5, PE-Cy7, PerCp-Cy5.5, APC, Cy5, PE-Cy3, PE-Cy5.5, APC-Cy7, Biotin-APC, FITC-Biotin, TRITC, APC-Cy5, AF488, AF594, AF405, AF555, AF700, AF647, AF750 |
| Валидировано для | IHC WB Иммуногистохимия; Вестерн-блоттинг |
| Рекомендуемые разведения | WB: 0.5-2 мкг/мл; IHC: 5-20 мкг/мл; ICC: 5-20 мкг/мл; Оптимальное разведение определяется конечным потребителем |
| Метод очистки | Антигенспецифическая аффинная хроматография с последующей аффинной хроматографией с белком А |
| Состав буфера | 0.01M PBS, pH7.4, 0.05% Proclin-300, 50% глицерин |
| Условия доставки | термобокс с аккумуляторами холода |
| Условия хранения | Сразу после получения аликвотировать и хранить при -20ºС до 24 месяцев. Для частого использования хранить при +4ºС не более 2 недель. Избегать повторения циклов замерзания/оттаивания |
| Срок хранения | 24 месяца |
| Производитель | Cloud-Clone Corp. |
| Ссылка на страницу товара на сайте производителя | http://www.cloud-clone.com/products/PAD234Ra01.html |
|
Артикул
|
Наименование |
Производитель
|
|---|
|
Артикул
|
Наименование |
Производитель
|
|---|
|
Артикул
|
Наименование |
Производитель
|
|---|
|
Артикул
|
Наименование |
Производитель
|
|---|
Акции и предложения
Популярные продукты:
ELISA Kit DIY Materials for Sirtuin 5 (SIRT5) (KSE915Hu01)
Организм: человек
Диапазон определения: 0.156-10 нг/мл
Чувствительность: 0.055 нг/мл
Диапазон определения: 0.156-10 нг/мл
Чувствительность: 0.055 нг/мл
Mouse Cystinosin(CTNS) ELISA kit (E03C2155)
Организм: мышь
Hamster Carbamazepine ELISA kit (E18C2722)
Организм: хомяк
Goat Stanniocalcin 2 ELISA kit (E06S0860)
Организм: коза
Porcine Alkaline ceramidase 2(ACER2) ELISA kit (E07A1189)
Организм: свинья
Bovine S100 Calcium Binding Protein A4 ELISA kit (E11S0438)
Организм: корова

