| UNIPROT | P48668 |
| Иммуноген | RPD758Hu01-Recombinant Keratin 6C (KRT6C) |
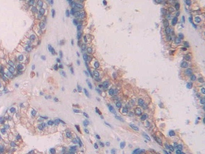
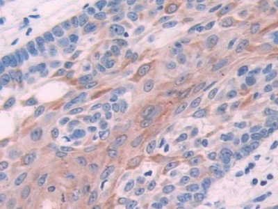
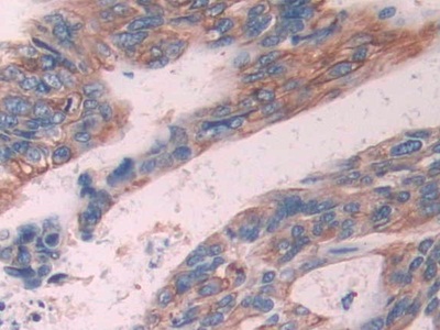
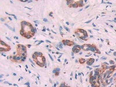
Polyclonal Antibody to Keratin 6C (KRT6C) (PAD758Hu01)
Реактивность подтвержденная:
человек
Источник (хозяин):
кролик
Валидировано для:
IHC
WB
Характеристики
Техническое описание
| Русское название | PAD758Hu01 Поликлональное антитело к KRT6C (человек) <Cloud-Clone,Китай> |
| Каталожный номер | PAD758Hu01 |
| Название антигена | Keratin 6C (KRT6C) |
| UNIPROT | P48668 |
| Иммуноген | RPD758Hu01-Recombinant Keratin 6C (KRT6C) |
| Английские синонимы | KRT6E, Keratin 6E, Keratin, type II cytoskeletal 6C, Cytokeratin-6C, Type-II keratin Kb12 |
Реактивность подтвержденная Нужна другая реактивность? |
человек |
| Источник (хозяин) | кролик |
| Клональность | поликлональное |
| Рекомбинантное | нет |
| Готовое к использованию | нет |
| Концентрация | 500 мкг/мл |
| Конъюгат | По запросу: HRP, biotin, PerCP, PE, Cy3, FITC, Cy7, Cy5.5, PE-Cy5, PE-Cy7, PerCp-Cy5.5, APC, Cy5, PE-Cy3, PE-Cy5.5, APC-Cy7, Biotin-APC, FITC-Biotin, TRITC, APC-Cy5, AF488, AF594, AF405, AF555, AF700, AF647, AF750 |
| Валидировано для | IHC WB Иммуногистохимия; Вестерн-блоттинг |
| Рекомендуемые разведения | WB: 0.5-2 мкг/мл; IHC: 5-20 мкг/мл; ICC: 5-20 мкг/мл; Оптимальное разведение определяется конечным потребителем |
| Метод очистки | Антигенспецифическая аффинная хроматография с последующей аффинной хроматографией с белком А |
| Состав буфера | 0.01M PBS, pH7.4, 0.05% Proclin-300, 50% глицерин |
| Условия доставки | термобокс с аккумуляторами холода |
| Условия хранения | Сразу после получения аликвотировать и хранить при -20ºС до 24 месяцев. Для частого использования хранить при +4ºС не более 2 недель. Избегать повторения циклов замерзания/оттаивания |
| Срок хранения | 24 месяца |
| Производитель | Cloud-Clone Corp. |
| Ссылка на страницу товара на сайте производителя | http://www.cloud-clone.com/products/PAD758Hu01.html |
|
Артикул
|
Наименование |
Производитель
|
|---|
Акции и предложения
Популярные продукты:
Guinea Pig Ras related protein Rab 2A(RAB2A) ELISA kit (E05R0381)
Организм: морская свинка
Sheep B1 bradykinin receptor(BDKRB1) ELISA kit (E14B0781)
Организм: овца
Rabbit A kinase anchor protein 9(AKAP9) ELISA kit (E04A1363)
Организм: кролик
Bovine Slit Homolog 3 ELISA kit (E11S0794)
Организм: корова

