| UNIPROT | Q99N32 |
| Иммуноген | RPH756Mu02-Recombinant Klotho Beta (KLb) |
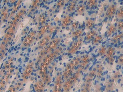
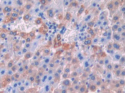
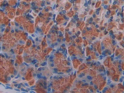
Polyclonal Antibody to Klotho Beta (KLb) (PAH756Mu02)
Реактивность подтвержденная:
мышь
Источник (хозяин):
кролик
Валидировано для:
IHC
Характеристики
Техническое описание
| Русское название | PAH756Mu02 Поликлональное антитело к KLb (мышь) <Cloud-Clone,Китай> |
| Каталожный номер | PAH756Mu02 |
| Название антигена | Klotho Beta (KLb) |
| UNIPROT | Q99N32 |
| Иммуноген | RPH756Mu02-Recombinant Klotho Beta (KLb) |
| Английские синонимы | Klotho beta-like protein |
Реактивность подтвержденная Нужна другая реактивность? |
мышь |
| Реактивность предсказываемая | крыса |
| Источник (хозяин) | кролик |
| Клональность | поликлональное |
| Рекомбинантное | нет |
| Готовое к использованию | нет |
| Концентрация | 0.5 мг/мл |
| Конъюгат | По запросу: HRP, biotin, PerCP, PE, Cy3, FITC, Cy7, Cy5.5, PE-Cy5, PE-Cy7, PerCp-Cy5.5, APC, Cy5, PE-Cy3, PE-Cy5.5, APC-Cy7, Biotin-APC, FITC-Biotin, TRITC, APC-Cy5, AF488, AF594, AF405, AF555, AF700, AF647, AF750 |
| Валидировано для | IHC Иммуногистохимия |
| Рекомендуемые разведения | WB: 0.5-2 мкг/мл; IHC: 5-20 мкг/мл; ICC: 5-20 мкг/мл; Оптимальное разведение определяется конечным потребителем |
| Метод очистки | Антигенспецифическая аффинная хроматография с последующей аффинной хроматографией с белком А |
| Состав буфера | PBS, pH7.4, 0.02% NaN3, 50% глицерин |
| Условия доставки | термобокс с аккумуляторами холода |
| Условия хранения | Сразу после получения аликвотировать и хранить при -20ºС до 24 месяцев. Для частого использования хранить при +4ºС не более 2 недель. Избегать повторения циклов замерзания/оттаивания |
| Срок хранения | 24 месяца |
| Производитель | Cloud-Clone Corp. |
| Ссылка на страницу товара на сайте производителя | http://www.cloud-clone.com/products/PAH756Mu02.html |
|
Артикул
|
Наименование |
Производитель
|
|---|
|
Артикул
|
Наименование |
Производитель
|
|---|
|
Артикул
|
Наименование |
Производитель
|
|---|
Акции и предложения
Популярные продукты:
Recombinant Mouse IL-5 Protein(Fc Tag) (PDMM100077)
Источник (хозяин): клетки млекопитающих
Организм: мышь
Фрагмент: Met1-Gly133
Теги: C-Fc
Биоактивность: нет
Организм: мышь
Фрагмент: Met1-Gly133
Теги: C-Fc
Биоактивность: нет
Polyclonal Antibody to Dystonin (DST) (PAC447Hu01)
Источник (хозяин): кролик
Реактивность подтвержденная: человек
Валидировано для: IHC
Реактивность подтвержденная: человек
Валидировано для: IHC
Polyclonal Antibody to Klotho Beta (KLb) (PAH756Mu03)
Источник (хозяин): кролик
Реактивность подтвержденная: мышь
Валидировано для: ICC, IHC, WB
Реактивность подтвержденная: мышь
Валидировано для: ICC, IHC, WB
Polyclonal Antibody to Klotho Beta (KLb) (PAH756Mu02)
Источник (хозяин): кролик
Реактивность подтвержденная: мышь
Валидировано для: IHC
Реактивность подтвержденная: мышь
Валидировано для: IHC
ELISA Kit for Klotho Beta (KLb) (SEH756Hu)
Организм: человек
Диапазон определения: 78-5000 пг/мл
Чувствительность: 31 пг/мл
Диапазон определения: 78-5000 пг/мл
Чувствительность: 31 пг/мл
Rabbit Anti-NeuN Antibody (SAA2241) (RHA00601)
Источник (хозяин): кролик
Реактивность подтвержденная: человек, мышь, крыса
Валидировано для: FCM, ICC, IF, IHC, WB
Реактивность подтвержденная: человек, мышь, крыса
Валидировано для: FCM, ICC, IF, IHC, WB

