| UNIPROT | Q16719 |
| Иммуноген | RPD762Hu01-Recombinant Kynureninase (KYNU) |
Polyclonal Antibody to Kynureninase (KYNU) (PAD762Hu01)
Реактивность подтвержденная:
человек
Источник (хозяин):
кролик
Валидировано для:
IHC
WB
Характеристики
Техническое описание
| Русское название | PAD762Hu01 Поликлональное антитело к KYNU (человек) <Cloud-Clone,Китай> |
| Каталожный номер | PAD762Hu01 |
| Название антигена | Kynureninase (KYNU) |
| UNIPROT | Q16719 |
| Иммуноген | RPD762Hu01-Recombinant Kynureninase (KYNU) |
| Английские синонимы | L-Kynurenine Hydrolase |
Реактивность подтвержденная Нужна другая реактивность? |
человек |
| Реактивность предсказываемая | свинья |
| Источник (хозяин) | кролик |
| Клональность | поликлональное |
| Рекомбинантное | нет |
| Готовое к использованию | нет |
| Концентрация | 500 мкг/мл |
| Конъюгат | По запросу: HRP, biotin, PerCP, PE, Cy3, FITC, Cy7, Cy5.5, PE-Cy5, PE-Cy7, PerCp-Cy5.5, APC, Cy5, PE-Cy3, PE-Cy5.5, APC-Cy7, Biotin-APC, FITC-Biotin, TRITC, APC-Cy5, AF488, AF594, AF405, AF555, AF700, AF647, AF750 |
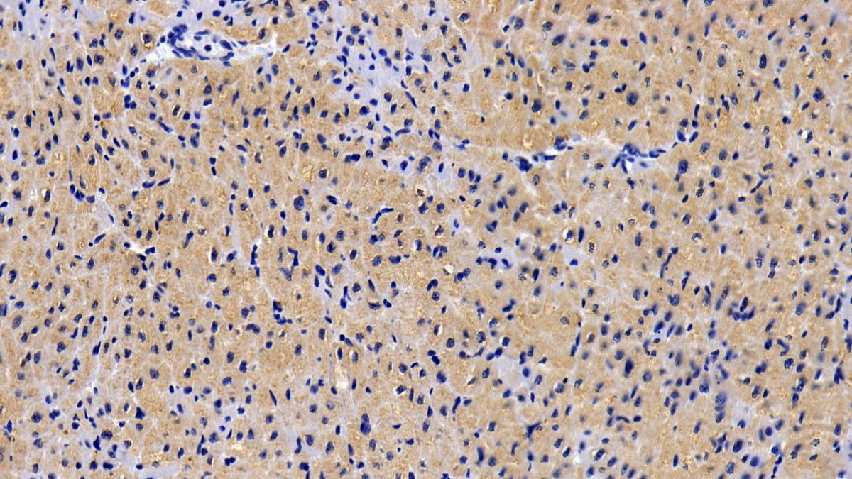
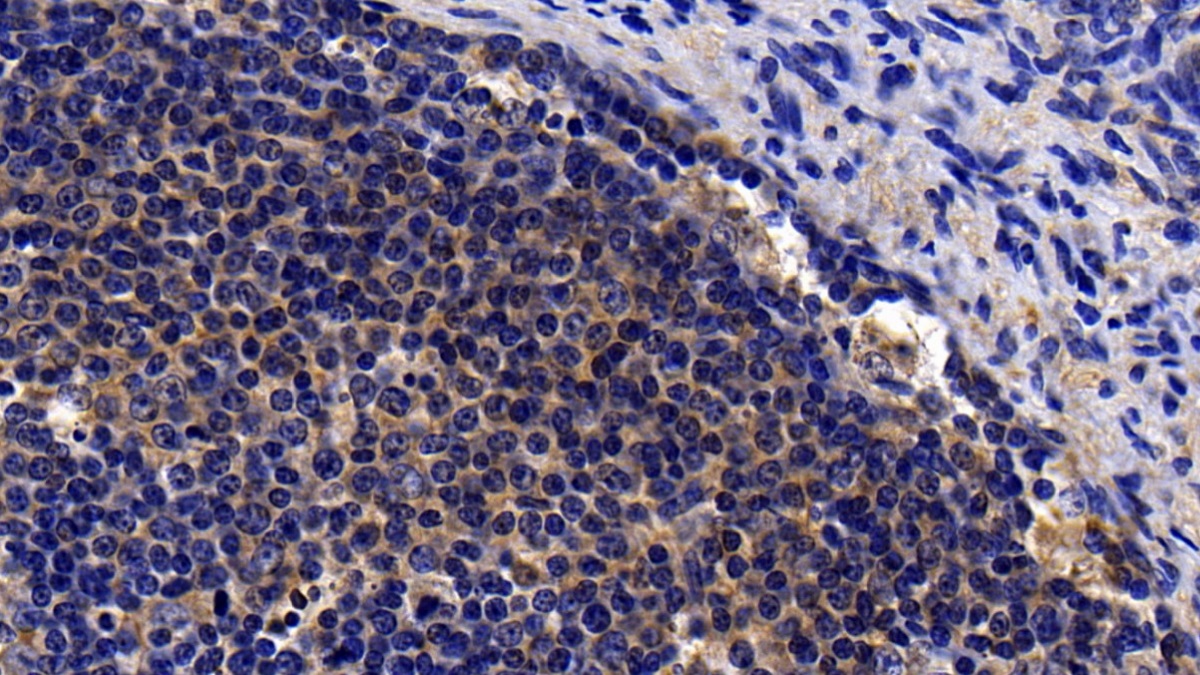
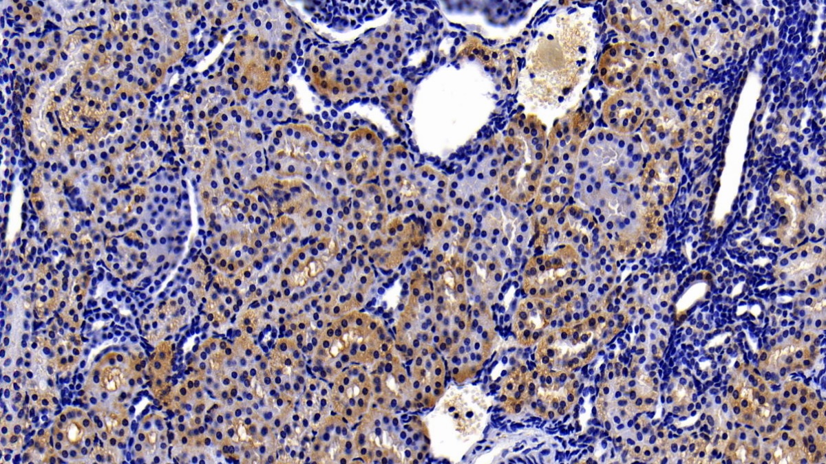
| Валидировано для | IHC WB Иммуногистохимия; Вестерн-блоттинг |
| Рекомендуемые разведения | WB: 0.5-2 мкг/мл; IHC: 5-20 мкг/мл; ICC: 5-20 мкг/мл; Оптимальное разведение определяется конечным потребителем |
| Метод очистки | Антигенспецифическая аффинная хроматография с последующей аффинной хроматографией с белком А |
| Состав буфера | 0.01M PBS, pH7.4, 0.05% Proclin-300, 50% глицерин |
| Условия доставки | термобокс с аккумуляторами холода |
| Условия хранения | Сразу после получения аликвотировать и хранить при -20ºС до 24 месяцев. Для частого использования хранить при +4ºС не более 2 недель. Избегать повторения циклов замерзания/оттаивания |
| Срок хранения | 24 месяца |
| Производитель | Cloud-Clone Corp. |
| Ссылка на страницу товара на сайте производителя | http://www.cloud-clone.com/products/PAD762Hu01.html |
|
Артикул
|
Наименование |
Производитель
|
|---|
|
Артикул
|
Наименование |
Производитель
|
|---|
Акции и предложения
Популярные продукты:
Anti-SDMA/Symmetric Dimethylarginine Antibody (SAb2293) (RGP16303)
Источник (хозяин): кролик
Реактивность подтвержденная: для всех
Валидировано для: ELISA
Реактивность подтвержденная: для всех
Валидировано для: ELISA
Goat Heat Shock Protein 70 HSP-70 ELISA Kit (E06H0301)
Организм: коза
Recombinant Mouse CDC2 Kinase/CDK1 Protein (His & GST Tag) (PKSM040292)
Источник (хозяин): клетки насекомых
Организм: мышь
Фрагмент: Met1-Met297
Теги: N-His-GST
Биоактивность: нет
Организм: мышь
Фрагмент: Met1-Met297
Теги: N-His-GST
Биоактивность: нет
KRIBIOLISA Interferon beta-1a (ABVONEX) ELISA (KOD1014)
Организм: человек
Диапазон определения: 0 - 2000 нг/мл
Чувствительность: 15 нг/мл
Диапазон определения: 0 - 2000 нг/мл
Чувствительность: 15 нг/мл
Polyclonal Antibody to Slit Homolog 2 (Slit2) (PAA672Hu03)
Источник (хозяин): кролик
Реактивность подтвержденная: человек
Валидировано для: IHC
Реактивность подтвержденная: человек
Валидировано для: IHC

